Bluesky Facebook Reddit Email

Fighting for oral dominance: Good fungi keep bad ones in check in healthy mouths

03.13.14 | PLOS

Celestron NexStar 8SE Computerized Telescope

Celestron NexStar 8SE Computerized Telescope combines portable Schmidt-Cassegrain optics with GoTo pointing for outreach nights and field campaigns.


Human mouths contain a balanced mix of microbes which, when disrupted, can lead to oral diseases. A study published on March 13th in PLOS Pathogens compares the bacteria and fungi present in the mouths of healthy individuals with those from patients infected with HIV, and illustrates why oral candidiasis (aka "thrush") is a common complication of HIV infection.

Using high-throughput gene sequencing, Mahmoud Ghannoum, from Case Western Reserve University in Cleveland, USA, and colleagues catalogued the core oral bacteriome (the bacteria commonly present) and the core oral mycobiome (the fungi commonly present). They found little difference in the bacteria between healthy individuals and those infected with HIV (whose immune systems are compromised). In contrast, they saw clear and consistent differences in the oral fungi between both groups.

A family of fungi called Candida was predominant in both groups, but present at higher levels in HIV-infected individuals. A second one, called Pichia , was present at fairly high levels in the mouths of healthy individuals but only at lower levels in people who were infected with HIV. This led the researchers to speculate that there was an antagonism between the two. And indeed, when they grew Pichia alone in a liquid medium and then filtered the fungus out, the " Pichia spent medium" (or PSM) was able to suppress the growth of Candida as well as several other disease-causing fungi.

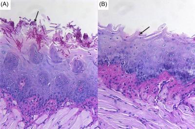
Oral candidiasis is a common opportunistic infection in patients with HIV/AIDS, and even in the era of effective antiretroviral therapy, it compromises the quality of life of many patients. Making use of a mouse model of oral candidiasis, the researchers were able to show that mice treated with PSM had much less severe symptoms compared with untreated ones. Therefore, at least in this animal model, Pichia 's antagonism of Candida can suppress oral candidiasis.

The authors say, "Our findings have wide implications regarding the discovery of novel antifungal agents and will open the way to new therapeutic approaches for the management of fungal infections". They continue , "Detailed investigations are warranted to purify and characterize the specific Pichia factor(s) that can inhibit Candida and other disease-causing fungi."

CONTACTS:

Mahmoud Ghannoum e-mail: Mahmoud.ghannoum@case.edu phone: +1.216.844.8580

Funding: This study was supported by funds from the NIDCR to MAG [RO1DE17846 and the Oral HIV AIDS Research Alliance (OHARA), grant number BRS-ACURES-11-000049-110229], NIAID/NEI to PKM (NEI/R21EY021303 and NIAID/R21AI074077), pilot funding from the Infectious Diseases Drug Development Center (IDDDC, Case) to PKM, and the CWRU/UH Center for AIDS Research (CFAR, NIH grant number P30 AI036219). The funders had no role in study design, data collection and analysis, decision to publish, or preparation of the manuscript.

Citation: Mukherjee PK, Chandra J, Retuerto M, Sikaroodi M, Brown RE, et al. (2014) Oral Mycobiome Analysis of HIV-Infected Patients: Identification of Pichia as an Antagonist of Opportunistic Fungi. PLoS Pathog 10(3): e1003996. doi:10.1371/journal.ppat.1003996

COI: The authors have declared that no competing interests exist.

Link to the article: (link goes live upon article publication) http://dx.plos.org/10.1371/journal.ppat.1003996

Image link: http://www.plos.org/wp-content/uploads/2013/05/PLOS_Pathogens_Ghannoum_Mar13_IMG.tif

Image caption: Treatment of mice with PSM reduces the extent of tissue invasion by Candida (see arrows) in the tongue. (A) untreated, (B) PSM treated.

Image credit: Mahmoud Ghannoum

Additional Authors:

Pranab K. Mukherjee, Case Western Reserve University, Ohio Jyotsna Chandra, Case Western Reserve University, Ohio Mauricio Retuerto, Case Western Reserve University, Ohio Masoumeh Sikaroodi, George Mason University, Virginia Robert E. Brown, George Mason University, Virginia Richard Jurevic, George Mason University, Virginia Robert A. Salata, Case Western Reserve University, Ohio Michael M. Lederman, Case Western Reserve University, Ohio Patrick M. Gillevet, George Mason University, Virginia Mahmoud A. Ghannoum, Case Western Reserve University, Ohio

PLOS Pathogens

Keywords

Article Information

Contact Information

How to Cite This Article

APA:
PLOS. (2014, March 13). Fighting for oral dominance: Good fungi keep bad ones in check in healthy mouths. Brightsurf News. https://www.brightsurf.com/news/8JXO9YRL/fighting-for-oral-dominance-good-fungi-keep-bad-ones-in-check-in-healthy-mouths.html
MLA:
"Fighting for oral dominance: Good fungi keep bad ones in check in healthy mouths." Brightsurf News, Mar. 13 2014, https://www.brightsurf.com/news/8JXO9YRL/fighting-for-oral-dominance-good-fungi-keep-bad-ones-in-check-in-healthy-mouths.html.