Bluesky Facebook Reddit Email

Helmholtz scientists identify the causes of cortisone-induced side effects

01.25.19 | Helmholtz Munich (Helmholtz Zentrum München Deutsches Forschungszentrum für Gesundheit und Umwelt (GmbH))

SAMSUNG T9 Portable SSD 2TB

SAMSUNG T9 Portable SSD 2TB transfers large imagery and model outputs quickly between field laptops, lab workstations, and secure archives.


Patients undergoing long-term treatment with steroids may suffer from metabolic side effects. Researchers at the Helmholtz Zentrum München and the Ludwig Maximilians University of Munich (LMU), partners in the German Center for Diabetes Research (DZD), have now pinpointed a mechanism that leads to so-called steroid diabetes. Their findings have been published in Nature Communications .

"Glucocorticoids such as cortisone have been used to treat inflammatory diseases such as asthma or rheumatism for many decades, and they are the most commonly prescribed anti-inflammatory drugs," explains Prof. Henriette Uhlenhaut, Group Leader at the Institute for Diabetes and Obesity (IDO) at the Helmholtz Zentrum München and the Gene Center of the LMU. "They are also frequently used in autoimmune diseases, organ transplantations and cancer. It is estimated that between one and three percent of the Western population are currently receiving these drugs - which corresponds to more than one million Germans alone."

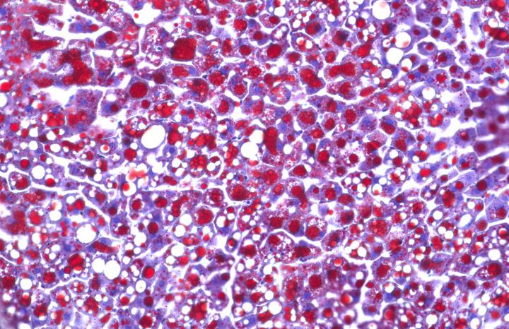
However, although glucocorticoids are prescribed for a wide range of conditions, their use is limited by the various side effects - including unwanted metabolic effects* - that can occur during treatment. Once the glucocorticoids bind to their receptor inside the cell, the receptor starts switching numerous genes on and off. "These include various metabolic genes, which can consequently cause so-called steroid diabetes," Henriette Uhlenhaut explains.

In the current study, her team - together with colleagues from the Max Delbrück Center for Molecular Medicine in Berlin, the Salk Institute in San Diego and the University of Freiburg - set out to identify the exact sequence of events that occurs once the steroids bind their receptor.

"What struck us most was the E47 transcription factor, which - along with the glucocorticoid receptor - is responsible for the changes in gene expression, particularly in liver cells," explains Charlotte Hemmer, a doctoral candidate at the IDO and first author of the current study. "We were able to identify the underlying pathway by conducting genome-wide analyses and genetic studies."

In order to corroborate their findings, the scientists then proceeded to examine a preclinical model lacking the E47 gene. "The loss of E47 actually protected against the negative impact of glucocorticoids, while an intact E47 gene led to metabolic changes such as high blood sugar, elevated blood fat levels or a fatty liver as a response to steroid treatment," Charlotte Hemmer adds.

Since the components of the newly discovered mechanism are also conserved in humans, Henriette Uhlenhaut and her team, along with their clinical cooperation partners, would now like to find out whether their results can be translated to human studies. "If this is the case, it could open up new opportunities for therapeutic intervention and the use of safer immuno-suppressants in order to combat the side effects of steroid therapy."

###

Further Information

* Glucocorticoids are a type of steroid hormones produced by the adrenal cortex. The name is derived from their role in glucose metabolism, where they promote the production of glucose to provide energy in response to stress or fasting.

** Transcription factors are proteins that determine whether certain genes are transcribed or not. As a rule, they influence (positively or negatively) the way in which the RNA polymerase binds to the DNA sequence that is coded for the specific gene.

Background: The current project was funded by the German Research Foundation (DFG). In 2014, Henriette Uhlenhaut also received a Starting Grant from the European Research Council (ERC) for her work on the processes regulated by the glucocorticoid receptor.

Original Publication: Hemmer, MC et al. (2019): E47 modulates hepatic glucocorticoid action. Nature Communications , DOI: 10.1038/s41467-018-08196-5

The Helmholtz Zentrum München, the German Research Center for Environmental Health, pursues the goal of developing personalized medical approaches for the prevention and therapy of major common diseases such as diabetes, allergies and lung diseases. To achieve this, it investigates the interaction of genetics, environmental factors and lifestyle. The Helmholtz Zentrum München is headquartered in Neuherberg in the north of Munich and has about 2,300 staff members. It is a member of the Helmholtz Association, a community of 18 scientific-technical and medical-biological research centers with a total of about 37,000 staff members. http://www.helmholtz-muenchen.de/en

As one of Europe's leading research universities, LMU Munich is committed to the highest international standards of excellence in research and teaching. Building on its 500-year-tradition of scholarship, LMU covers a broad spectrum of disciplines, ranging from the humanities and cultural studies through law, economics and social studies to medicine and the sciences. 15 percent of LMU's 50,000 students come from abroad, originating from 130 countries worldwide. The know-how and creativity of LMU's academics form the foundation of the University's outstanding research record. This is also reflected in LMU's designation of as a "university of excellence" in the context of the Excellence Initiative, a nationwide competition to promote top-level university research. http://www.en.lmu.de

The German Center for Diabetes Research (DZD) is a national association that brings together experts in the field of diabetes research and combines basic research, translational research, epidemiology and clinical applications. The aim is to develop novel strategies for personalized prevention and treatment of diabetes. Members are Helmholtz Zentrum München - German Research Center for Environmental Health, the German Diabetes Center in Düsseldorf, the German Institute of Human Nutrition in Potsdam-Rehbrücke, the Paul Langerhans Institute Dresden of the Helmholtz Zentrum München at the University Medical Center Carl Gustav Carus of the TU Dresden and the Institute for Diabetes Research and Metabolic Diseases of the Helmholtz Zentrum München at the Eberhard-Karls-University of Tuebingen together with associated partners at the Universities in Heidelberg, Cologne, Leipzig, Lübeck and Munich. http://www.dzd-ev.de/en/index.html

Contact for the media: Department of Communication, Helmholtz Zentrum München - German Research Center for Environmental Health, Ingolstädter Landstr. 1, 85764 Neuherberg - Tel. +49 89 3187 2238 - E-mail: presse@helmholtz-muenchen.de

Scientific contact: Prof. Dr. Henriette Uhlenhaut, Helmholtz Zentrum München - German Research Center for Environmental Health, Institute of Diabetes and Cancer, Ingolstädter Landstr. 1, 85764 Neuherberg - Tel. +49 89 3187 2052 - E-mail: henriette.uhlenhaut@helmholtz-muenchen.de

Nature Communications

10.1038/s41467-018-08196-5

Keywords

Article Information

Contact Information

Source

How to Cite This Article

APA:
Helmholtz Munich (Helmholtz Zentrum München Deutsches Forschungszentrum für Gesundheit und Umwelt (GmbH)). (2019, January 25). Helmholtz scientists identify the causes of cortisone-induced side effects. Brightsurf News. https://www.brightsurf.com/news/8OJYNXQ1/helmholtz-scientists-identify-the-causes-of-cortisone-induced-side-effects.html
MLA:
"Helmholtz scientists identify the causes of cortisone-induced side effects." Brightsurf News, Jan. 25 2019, https://www.brightsurf.com/news/8OJYNXQ1/helmholtz-scientists-identify-the-causes-of-cortisone-induced-side-effects.html.