Bluesky Facebook Reddit Email

When less is essential to keep the brain going

03.07.17 | Tata Institute of Fundamental Research

Anker Laptop Power Bank 25,000mAh (Triple 100W USB-C)

Anker Laptop Power Bank 25,000mAh (Triple 100W USB-C) keeps Macs, tablets, and meters powered during extended observing runs and remote surveys.


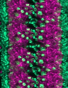
Like the junctions in an electronic circuit between two semiconductors in an integrated computer chip, synapses in the brain constitute the logic of information flow. Simply put, neurons form functional synapses every time we learn something, and make us forget when they disappear. Loss of synaptic functions in the human brain is at the root of many progressive neurodegenerative disorders such as Alzheimer's Disease. Although research has identified several factors that can potentially cause such disorders, the critical trigger is still elusive.

In a recent report, published in Cell Reports , Swagata Dey and Krishanu Ray at the Tata Institute of Fundamental Research, Mumbai, India, in collaboration with Gary Banker at the Jungers Center for Neurosciences Research, Oregon Health Sciences University, USA, have found that supply of a small GTP-hydrolysis enzyme called Rab4, at the synapses, could make a significant difference in the formation and organization of synapses. Interestingly, they show that a reduced supply of the enzyme could increase the assembly of the synapse in the neuronal network, as well as corresponding brain functions of the fruit fly.

Neurons extend one of their projections into long axons which form synapses at the end. Sometimes, for example, in the case of the sciatic nerve, the distances could be as long as a meter. As all the proteins needed at the synapse are made near the nucleus that is far away from the synapse, neuronal cells employ a highly sophisticated transport system to maintain the supply of these proteins. Dey et al., (2017)1 now show that two different molecular locomotives of the Kinesin class of proteins collaborate to ensure the appropriate supply of the membrane recycling regulator, Rab4, to the synapse.

In a separate study, also to be published in the March issue of the official journal of the Federation of American Societies for Experimental Biology (FASEB), Anuttama Kulkarni and Krishanu Ray show that a different pair of Kinesin motors collaborate to deliver required quantities of acetylcholinesterase to the synapse2. Over function of acetylcholinesterase is implicated in accentuating the symptoms of Alzheimer's Disease. Incidentally, the loss of acetylcholinesterase activity suppresses neurite growth and synapse formation. Therefore, a neuron must maintain a calibrated balance of supplies towards synapses in order to maintain them.

Together, these results have opened another exciting possibility of using the fruit fly larvae to decipher underlying mechanisms of progressive neurodegenerative disorders such as Alzheimer's Disease.

###

References:

1. Dey S, Banker G, Ray K*. (2017) Axonal transport of Rab4-associated vesicles by heterotrimeric kinesin-2 down regulates synapse assembly in Drosophila . Cell Reports 18, DOI 10.1016/j.celrep.2017.02.034

2. Kulkarni A, Khan Y and Ray K*. (2017) Heterotrimeric kinesin-2, together with kinesin-1, steers vesicular acetylcholinesterase movements toward the synapse. FASEB J , 31(3):965-974.

Cell Reports

10.1016/j.celrep.2017.02.034

Keywords

Article Information

Contact Information

Krishanu Ray
Tata Institute of Fundamental Research
krishanu@tifr.res.in

How to Cite This Article

APA:
Tata Institute of Fundamental Research. (2017, March 7). When less is essential to keep the brain going. Brightsurf News. https://www.brightsurf.com/news/8XGED2Y1/when-less-is-essential-to-keep-the-brain-going.html
MLA:
"When less is essential to keep the brain going." Brightsurf News, Mar. 7 2017, https://www.brightsurf.com/news/8XGED2Y1/when-less-is-essential-to-keep-the-brain-going.html.