Bluesky Facebook Reddit Email

How to make a lung

08.17.09 | University of Pennsylvania School of Medicine

Nikon Monarch 5 8x42 Binoculars

Nikon Monarch 5 8x42 Binoculars deliver bright, sharp views for wildlife surveys, eclipse chases, and quick star-field scans at dark sites.


PHILADELPHIA – A tissue-repair-and-regeneration pathway in the human body, including wound healing, is essential for the early lung to develop properly. Genetically engineered mice fail to develop lungs when two molecules in this pathway, Wnt2 and Wnt2b, are knocked out. The findings are described this week in Developmental Cell .

"We wanted to know the answer to a seemingly simple question: What is required to generate the lung in mammals?" asked senior author Edward Morrisey, PhD, Associate Professor of Medicine and Cell and Developmental Biology at the University of Pennsylvania School of Medicine.

"Wnt molecules are important for lung growth and we think that some of the molecules in the Wnt pathway are needed to specify lung progenitor cells and if not enough cells are 'told' to make a lung, an animal develops a faulty, smaller organ or even no lung," says Morrisey, who is also the Scientific Director of the Penn Institute for Regenerative Medicine.

Several molecular signals are important for proper lung development but not much is known about the early signals that turn on the genes needed to specify the lung at the right place and time in the embryo. Clinically, understanding how a lung develops is important in treating or preventing a host of lung and pulmonary diseases in children. "Premature babies in particular often develop respiratory problems which can lead to health issues not only during infancy but also later in life" says Morrisey.

He also points out that pulmonary and cardiac development is intricately connected: "One thing that is coming out of these studies is that the lung and heart form together which is an important point to remember as pathways affecting one organ system can affect the other." In fact, one of the Wnt knockout mice the team developed also has profound cardiovascular defects, he notes.

In the developing embryo, the lung, pancreas, liver, thyroid, and stomach all come from the foregut region, which starts out looking like a long tube. "These organs bud from this undifferentiated tube and go on to develop into specific tissue types," explains Morrisey. "The lung is one of the last to bud off the foregut during development."

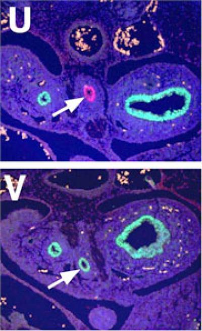
The team focused on the Wnt pathway to see where and when Wnt molecules were expressed along the foregut tube, even before the lung starts to become a recognizable organ. "The lung is a relative late arriver," says Morrisey. "The liver, pancreas, and other organs begin developing days earlier." They found that the Wnt proteins Wnt2 and Wnt2b are expressed in the cells surrounding the foregut, right where the lung will eventually form. When they are knocked out, the animals completely lacked lungs.

Morrisey surmised that Wnt2 and Wnt2b were required to specify the early progenitors for the lung in the foregut. "We found that the Nkx2.1 gene, which is expressed in both lung and thyroid progenitor cells in the foregut, were absent only in the region where the lung was supposed to form and not in the thyroid progenitor cells."

They confirmed this fine tuning of lung development by knocking out an additional gene in the Wnt pathway called beta-catenin in the early foregut, and these mice also did not develop lungs, but all the other foregut-associated organs developed properly. "This says that these two Wnt molecules are essential for specifying the lung but not other foregut-derived organs" explains Morrisey.

The Morrisey lab also showed that activation of the Wnt pathway resulted in formation of lung progenitors in both the esophagus and stomach where they are normally excluded. "The ability of Wnt to program esophagus and stomach endoderm to a lung fate points to the critical role this pathway plays in lung development and suggests the possible use of Wnt in generating lung epithelium from non-lung sources."

First author Ashley Goss is a graduate student in the Morrisey lab and co-author Terry P. Yamaguchi, National Cancer Institute, made one of the knockout mice. This work was funded by the National Heart, Lung, and Blood Institute, the American Heart Association and the National Cancer Institute.

PENN Medicine is a $3.6 billion enterprise dedicated to the related missions of medical education, biomedical research, and excellence in patient care. PENN Medicine consists of the University of Pennsylvania School of Medicine (founded in 1765 as the nation's first medical school) and the University of Pennsylvania Health System.

Penn's School of Medicine is currently ranked #3 in the nation in U.S.News & World Report's survey of top research-oriented medical schools; and, according to the National Institutes of Health, received over $366 million in NIH grants (excluding contracts) in the 2008 fiscal year. Supporting 1,700 fulltime faculty and 700 students, the School of Medicine is recognized worldwide for its superior education and training of the next generation of physician-scientists and leaders of academic medicine.

The University of Pennsylvania Health System (UPHS) includes its flagship hospital, the Hospital of the University of Pennsylvania, rated one of the nation's top ten "Honor Roll" hospitals by U.S.News & World Report; Pennsylvania Hospital, the nation's first hospital; and Penn Presbyterian Medical Center, named one of the nation's "100 Top Hospitals" for cardiovascular care by Thomson Reuters. In addition UPHS includes a primary-care provider network; a faculty practice plan; home care, hospice, and nursing home; three multispecialty satellite facilities; as well as the Penn Medicine at Rittenhouse campus, which offers comprehensive inpatient rehabilitation facilities and outpatient services in multiple specialties.

Developmental Cell

Keywords

Article Information

Contact Information

Karen Kreeger
University of Pennsylvania School of Medicine
karen.kreeger@uphs.upenn.edu

Source

How to Cite This Article

APA:
University of Pennsylvania School of Medicine. (2009, August 17). How to make a lung. Brightsurf News. https://www.brightsurf.com/news/8XGKVYY1/how-to-make-a-lung.html
MLA:
"How to make a lung." Brightsurf News, Aug. 17 2009, https://www.brightsurf.com/news/8XGKVYY1/how-to-make-a-lung.html.