Bluesky Facebook Reddit Email

Influence of location-dependent protuberance damage on cell viability

12.24.08 | Science China Press

Sky & Telescope Pocket Sky Atlas, 2nd Edition

Sky & Telescope Pocket Sky Atlas, 2nd Edition is a durable star atlas for planning sessions, identifying targets, and teaching celestial navigation.


The influence of femtosecond laser-induced damages on viability of olfactory ensheathing cells is investigated. Several cytokinetic phenomena including intracellular calcium wave, cellular morphologic change, recovery and death are discussed. Through systemic investigation, cellular activity can be controlled easily. The study is fulfilled by Hai-feng Yang et al., and reported in the Chinese Science Bulletin .

The investigations on femtosecond laser surgery have been increased steadily since König demonstrated in 1999 the dissection of isolated human chromosomes in Cell Mol Biol (1999, 45(2):195-201).

"Our research aims to investigate the influence of location-dependent protuberance damage on cell viability" noted Hai-feng Yang, a doctor student of Jiangsu University. "This is the first paper to carefully investigate cytokinetic phenomena using femtosecond laser, including intracellular calcium wave, cellular morphologic change, recovery and death."

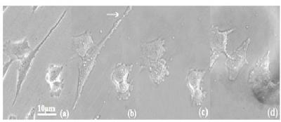
The study involved two experiments. In the first experiment, Yang and his colleagues established an experimental system for femtosecond laser surgery (Figure 1) and investigated the cellular viability after the surgery of cell protuberances (Figure 2). When the protuberance with smaller diameter was damaged in different locations, the cell could recover its activity. But when the protuberance with larger diameter was cut, the cell died.

The second experiment showed that calcium wave could be observed after the protuberances of two adjacent cells were damaged (Figure 3). Meanwhile, Yang and his colleagues proposed four reasons for the formation of femtosecond laser-induced calcium wave.

The main conclusion is that cellular activity can be controlled easily. The cell damage and recovery mechanisms are proposed. This investigation implies that femtosecond laser surgery is an important tool in many domains, such as the establishment of cell damage model, gene transfection and the study of cytokinetics.

Investigators of this research are from Photonics Fabrication Science Center and School of Medical Science and Laboratory Medicine, Jiangsu University, China. This research is helped by advisor Ming Zhou, colleagues Jian-ke Di, En-lan Zhao et al.

The work is supported by the National 863 Program of China (Grant No. 2006AA04Z307), the National Funds for Authors of National Excellent Doctoral Dissertations of China (Grant No. 2006039), the National Natural Science Foundation of China (Grant No. 50775104), the Natural Science Foundation of Jiangsu Province (Grant No. BK2006507) and Jiangsu Provincial Research Innovation Program for College Graduates (Grant No. CX07B_086z)

Reference: König K, Riemann I, Fischer P, et al. Intracellular nanosurgery with near infrared femtosecond laser pulses. Cell Mol Biol , 1999, 45(2): 195-201

Chinese Science Bulletin

Keywords

Article Information

Contact Information

Ming Zhou
Science China Press
zm_laser@126.com

How to Cite This Article

APA:
Science China Press. (2008, December 24). Influence of location-dependent protuberance damage on cell viability. Brightsurf News. https://www.brightsurf.com/news/8XGMMDM1/influence-of-location-dependent-protuberance-damage-on-cell-viability.html
MLA:
"Influence of location-dependent protuberance damage on cell viability." Brightsurf News, Dec. 24 2008, https://www.brightsurf.com/news/8XGMMDM1/influence-of-location-dependent-protuberance-damage-on-cell-viability.html.