Bluesky Facebook Reddit Email

Molecular master switch for pancreatic cancer identified, potential predictor of treatment outcome

02.12.13 | University of Pennsylvania School of Medicine

SAMSUNG T9 Portable SSD 2TB

SAMSUNG T9 Portable SSD 2TB transfers large imagery and model outputs quickly between field laptops, lab workstations, and secure archives.


PHILADELPHIA – A recently described master regulator protein may explain the development of aberrant cell growth in the pancreas spurred by inflammation

A team from the Perelman School of Medicine at the University of Pennsylvania profiled gene expression of mouse pancreatic ductal and duct-like cells from different states - embryonic development, acute pancreatitis and K-ras mutation-driven carcinogenesis - to find the molecular regulation of these processes.

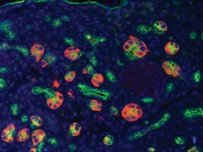
Broadly speaking, two cellular compartments are important in a normal pancreas, endocrine cells, which produce hormones including insulin, and exocrine cells – acinar and ductal -- which make and secrete digestive enzymes.

A cover article from the lab of Anil Rustgi, MD, Chief, Division of Gastroenterology, published early online in Genes and Development , details the molecular changes of exocrine cells during inflammation, so-called acinar-ductal metaplasia (ADM), a prelude to pancreatic ductal adenocarcinoma.

They used cell lineage tracing to follow what happens to the regulator protein called Prrx1 as cells change characteristics. Another protein, Sox9, which is downstream of Prrx1 in the cell signal pathway, is also important in understanding how pancreatic cancer forms, as the group has established the first link of Prrx1 to Sox9. The findings suggest that Prrx1 and Sox9 influence the emergence of an intermediate cell type that can give rise to cancer.

Inflammation is Key Culprit

Inflammation of the pancreas, or pancreatitis, is a leading reason for hospital admission, according to the National Institute of Diabetes and Digestive and Kidney Diseases (NIDDK), and chronic pancreatitis is a risk factor for cancer of the pancreas. Each year, about 210,000 people in the United States are admitted to the hospital with acute pancreatitis.

Acute pancreatitis is caused by alcohol abuse, gallstones, and autoimmune disorders. When things go wrong, inflammatory pancreatitis happens, and the change from an acute state to a chronic state can lead to cancer.

When a patient recovers from pancreatitis, the change in cell fate reverts to the original cell type. But, if the pancreatitis is chronic, changed cells stay changed.

"We hope that studies like this one that identify key molecules and pathways that govern the cancerous fate of cells can be used as diagnostic predictors of treatment outcome and severity for cancer," says Rustgi.

Co-authors include first author Maximilian Reichert, Shigetsugu Takano, Johannes von Burstin, Kaori Ihida-Stansbury, Christopher Hahn, Steffen Heeg, Andrew D. Rhim, and Ben Z. Stanger, all from Penn

The work was supported by the National Institute of Diabetes and Digestive and Kidney Diseases (DK060694, P30-DK050306, DK088945, DK007066, CA117969, DK083355, DK083111), the National Pancreas Foundation , the Honjo International Scholarship Foundation , the Deutsche Krebshilfe, the American Society Grant (RP-10-033-01-CCE).

Penn Medicine is one of the world's leading academic medical centers, dedicated to the related missions of medical education, biomedical research, and excellence in patient care. Penn Medicine consists of the Raymond and Ruth Perelman School of Medicine at the University of Pennsylvania (founded in 1765 as the nation's first medical school) and the University of Pennsylvania Health System, which together form a $4.3 billion enterprise.

The Perelman School of Medicine is currently ranked #2 in U.S. News & World Report's survey of research-oriented medical schools. The School is consistently among the nation's top recipients of funding from the National Institutes of Health, with $479.3 million awarded in the 2011 fiscal year.

The University of Pennsylvania Health System's patient care facilities include: The Hospital of the University of Pennsylvania -- recognized as one of the nation's top "Honor Roll" hospitals by U.S. News & World Report; Penn Presbyterian Medical Center; and Pennsylvania Hospital — the nation's first hospital, founded in 1751. Penn Medicine also includes additional patient care facilities and services throughout the Philadelphia region.

Penn Medicine is committed to improving lives and health through a variety of community-based programs and activities. In fiscal year 2011, Penn Medicine provided $854 million to benefit our community.

Genes & Development

Keywords

Article Information

Contact Information

Karen Kreeger
University of Pennsylvania School of Medicine
karen.kreeger@uphs.upenn.edu

How to Cite This Article

APA:
University of Pennsylvania School of Medicine. (2013, February 12). Molecular master switch for pancreatic cancer identified, potential predictor of treatment outcome. Brightsurf News. https://www.brightsurf.com/news/8XGQRR01/molecular-master-switch-for-pancreatic-cancer-identified-potential-predictor-of-treatment-outcome.html
MLA:
"Molecular master switch for pancreatic cancer identified, potential predictor of treatment outcome." Brightsurf News, Feb. 12 2013, https://www.brightsurf.com/news/8XGQRR01/molecular-master-switch-for-pancreatic-cancer-identified-potential-predictor-of-treatment-outcome.html.