Bluesky Facebook Reddit Email

Are American Zika strains more virulent than Pacific and Asian strains?

06.06.19 | PLOS

SAMSUNG T9 Portable SSD 2TB

SAMSUNG T9 Portable SSD 2TB transfers large imagery and model outputs quickly between field laptops, lab workstations, and secure archives.


Over recent years, Zika virus (ZIKV) has spread eastward from Africa and Asia, leading to an epidemic in the Americas. Now, researchers comparing American, Pacific and Southeast Asian subtypes of the virus in PLOS Neglected Tropical Diseases have concluded that the American-subtype strain has the highest ability to grow both in vitro and in vivo.

ZIKV is a Flaviviridae family virus carried by infected Aedes mosquitos. It was first isolated in Uganda in the mid-twentieth century but has since spread to Micronesia, Oceania, and most recently South America, Central America, North America and the Caribbean. The strains in each area, however, are distinct; genetic analyses have shown three subtypes--American, Pacific and Southeast Asian. Previous research has suggested that these subtypes differ in their infectious profiles.

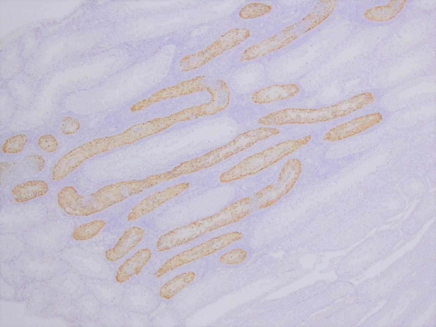
In the new work, Shigeru Tajima, of the Japanese National Institute of Infectious Disease, and colleagues compared the PRVABC59 American subtype, the ZIKV/Hu/Chiba/S36/2016 (ChibaS36) Pacific subtype and the ZIKV/Hu/NIID123/2016 (NIID123) Southeast Asian subtype. They examined the growth rates both in vitro and in mice, and observed the viral loads and levels of testis damage in the infected mice.

The PRVABC59 and ChibaS36 strains had significantly higher growth ability than NIID123 in multiple types of isolated cells, with the American strain having the highest growth potential. Moreover, two weeks post-infection, the amount of infectious particles and viral RNA in the genital tracts of male mice was lowest in those animals infected with the NIID123 strain. At 6 weeks post-infection, there was more testis damage in the mice infected with the American PRVABC59 stain.

"These results raise the possibility that ZIKV have acquired elevated proliferative capacity and pathogenicity during the process of the virus spreading from Southeast Asia to the Americas through the Pacific Islands," the researchers say.

###

In your coverage please use this URL to provide access to the freely available paper: http://journals.plos.org/plosntds/article?id=10.1371/journal.pntd.0007387

Citation: Kawai Y, Nakayama E, Takahashi K, Taniguchi S, Shibasaki Ki, et al. (2019) Increased growth ability and pathogenicity of American- and Pacific-subtype Zika virus (ZIKV) strains compared with a Southeast Asian-subtype ZIKV strain. PLOS Neglected Tropical Diseases 13(6): e0007387. https://doi.org/10.1371/journal.pntd.0007387

Funding: This research was supported by the Research Program on Emerging and Re-emerging Infectious Diseases of the Japan Agency for Medical Research and Development (AMED) under Grant Number JP18fk0108035 and JP18fk0108067. Eri Nakayama was supported in part by the Daiichi Sankyo Foundation of Life Science. The funders had no role in study design, data collection and analysis, decision to publish, or preparation of the manuscript.

Competing Interests: The authors declare that we have no conflicts of interest.

PLOS Neglected Tropical Diseases

10.1371/journal.pntd.0007387

Keywords

Article Information

Contact Information

Shigeru Tajima
stajima@nih.go.jp

Source

How to Cite This Article

APA:
PLOS. (2019, June 6). Are American Zika strains more virulent than Pacific and Asian strains?. Brightsurf News. https://www.brightsurf.com/news/8XGW5201/are-american-zika-strains-more-virulent-than-pacific-and-asian-strains.html
MLA:
"Are American Zika strains more virulent than Pacific and Asian strains?." Brightsurf News, Jun. 6 2019, https://www.brightsurf.com/news/8XGW5201/are-american-zika-strains-more-virulent-than-pacific-and-asian-strains.html.