Bluesky Facebook Reddit Email

First step: From human cells to tissue-engineered esophagus

10.16.14 | Children's Hospital Los Angeles

SAMSUNG T9 Portable SSD 2TB

SAMSUNG T9 Portable SSD 2TB transfers large imagery and model outputs quickly between field laptops, lab workstations, and secure archives.


In a first step toward future human therapies, researchers at The Saban Research Institute of Children's Hospital Los Angeles have shown that esophageal tissue can be grown in vivo from both human and mouse cells. The study has been published online in the journal Tissue Engineering, Part A .

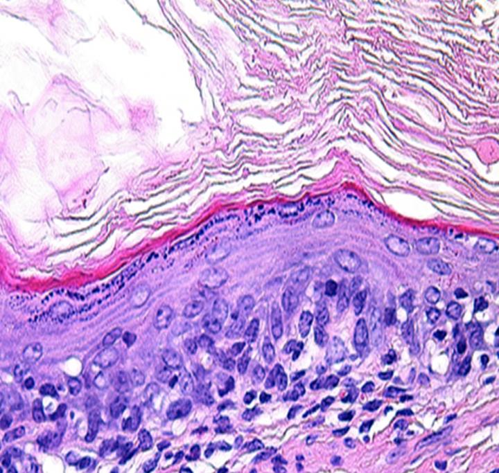
The tissue-engineered esophagus formed on a relatively simple biodegradable scaffold after the researchers transplanted mouse and human organ-specific stem/progenitor cells into a murine model, according to principal investigator Tracy C. Grikscheit, MD, of the Developmental Biology and Regenerative Medicine program of The Saban Research Institute and pediatric surgeon at Children's Hospital Los Angeles.

Progenitor cells have the ability to differentiate into specific types of cell, and can migrate to the tissue where they are needed. Their potential to differentiate depends on their type of "parent" stem cell and also on their niche. The tissue-engineering technique discovered by the CHLA researchers required only a simple polymer to deliver the cells, and multiple cellular groupings show the ability to generate a replacement organ with all cell layers and functions.

"We found that multiple combinations of cell populations allowed subsequent formation of engineered tissue. Different progenitor cells can find the right 'partner' cell in order to grow into specific esophageal cell types – such as epithelium, muscle or nerve cells – and without the need for exogenous growth factors. This means that successful tissue engineering of the esophagus is simpler than we previously thought," said Grikscheit.

She added that the study shows promise for one day applying the process in children who have been born with missing portions of the organ, which carries food, liquids and saliva from the mouth to the stomach. The process might also be used in patients who have had esophageal cancer – the fastest growing type of cancer in the U.S. – or otherwise damaged tissue, for example from accidentally swallowing caustic substances.

"We have demonstrated that a simple and versatile, biodegradable polymer is sufficient for the growth of tissue-engineered esophagus from human cells," added Grikscheit. "This not only serves as a potential source of tissue, but also a source of knowledge, as there are no other robust models available for studying esophageal stem cell dynamics. Understanding how these cells might behave in response to injury and how various donor cell types relate could expand the pool of potential donor cells for engineered tissue."

Additional contributors include first author Ryan G. Spurrier, MD, Allison L. Speer, MD, Xiaogang Hou, PhD and Wael N. El-Nachef, MD, of The Saban Research Institute of Children's Hospital Los Angeles. The study was supported by grants from the California Institute for Regenerative Medicine.

About Children's Hospital Los Angeles

Children's Hospital Los Angeles has been named the best children's hospital on the West Coast and among the top five in the nation for clinical excellence with its selection to the prestigious U.S. News & World Report Honor Roll. Children's Hospital is home to The Saban Research Institute, one of the largest and most productive pediatric research facilities in the United States. Children's Hospital is also one of America's premier teaching hospitals through its affiliation since 1932 with the Keck School of Medicine of the University of Southern California.

For more information, visit CHLA.org and follow us on ResearCHLAblog.org .

Media Contact:

Debra Kain
dkain@chla.usc.edu
(323) 361-1812 or (323) 361-7628

Tissue Engineering

Keywords

Article Information

Contact Information

Debra Kain
Children's Hospital Los Angeles
dkain@chla.usc.edu

How to Cite This Article

APA:
Children's Hospital Los Angeles. (2014, October 16). First step: From human cells to tissue-engineered esophagus. Brightsurf News. https://www.brightsurf.com/news/8XGYKEE1/first-step-from-human-cells-to-tissue-engineered-esophagus.html
MLA:
"First step: From human cells to tissue-engineered esophagus." Brightsurf News, Oct. 16 2014, https://www.brightsurf.com/news/8XGYKEE1/first-step-from-human-cells-to-tissue-engineered-esophagus.html.