Bluesky Facebook Reddit Email

Unraveling the immunopathogenesis of Johne's disease

04.02.18 | Hokkaido University

Kestrel 3000 Pocket Weather Meter

Kestrel 3000 Pocket Weather Meter measures wind, temperature, and humidity in real time for site assessments, aviation checks, and safety briefings.


A research team has unraveled the immunopathogenesis of Johne's disease, a chronic bovine disease that has caused endemics in Japan and many other countries, placing financial burdens on cattle farmers.

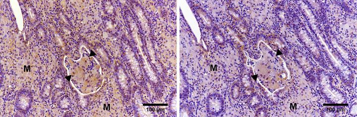
Researchers of Hokkaido University, the National Agriculture and Food Research Organization (NARO), and Tohoku University demonstrated that a physiologically active substance called prostaglandin E2 (PGE2) impairs the immune response by upregulating the expression of an immunoinhibitory molecule, programmed death-ligand 1 (PD-L1), in cattle affected with Johne's disease. The discovery is expected to help develop a method to control Johne's disease, which is most frequently reported among legally designated infectious bovine diseases in Japan.

Johne's disease is a type of chronic enteritis caused by Mycobacterium avium subsp. paratuberculosis , leading to diarrhea and weight loss in cattle, and occasionally death. This disease has led to endemics in Japan and 816 clinical cases were reported in 2017. Cattle diagnosed with the disease must be culled to prevent its spread. Cattle farmers are also required to give regular check-ups to all other cattle at the same farm for a certain period, disinfect their cattle barns and are not allowed to move animals out of the farm freely. There has been no effective method to prevent the spread of the disease, including vaccination.

The researchers investigated the immunosuppressive effects of PGE2, which is known to appear in increased amounts in cattle with Johne's disease. Their experiments showed PGE2 has immunosuppressive effects on T-cell, a type of lymphocyte that plays an important role in the immune system. PGE2 also induced the upregulation of PD-L1, a immunosuppressive molecule, in immune cells isolated from cows. The researchers also found PGE2 and PD-L1 were co-expressed in intestinal lesions of the infected cattle.

In addition, they found that the inhibition of cyclooxygenase-2 (COX-2), which is involved in the synthesis of PGE2, boosted immune response to the mycobacteria causing Johne's disease. When COX-2 inhibitor is combined with anti-PD-L1 blocking antibodies, it further enhances the immune response to the mycobacteria.

"Our data suggests that immunosuppressive effects of PGE2 are strongly connected to the progression of Johne's disease," says Associate Professor Satoru Konnai of the research team at Hokkaido University. "We plan to conduct clinical trials to verify how the COX-2 inhibitor and anti-PD-L1 antibodies boost immune responses in cattle with Johne's disease, in addition to examining the roles of PGE2 in cattle afflicted with other diseases."

###

Infection and Immunity

10.1128/IAI.00910-17

Keywords

Article Information

Contact Information

Naoki Namba
Hokkaido University

Source

How to Cite This Article

APA:
Hokkaido University. (2018, April 2). Unraveling the immunopathogenesis of Johne's disease. Brightsurf News. https://www.brightsurf.com/news/8YW2XE61/unraveling-the-immunopathogenesis-of-johnes-disease.html
MLA:
"Unraveling the immunopathogenesis of Johne's disease." Brightsurf News, Apr. 2 2018, https://www.brightsurf.com/news/8YW2XE61/unraveling-the-immunopathogenesis-of-johnes-disease.html.