Bluesky Facebook Reddit Email

Wuhan CT scans reliable for coronavirus (COVID-19) diagnosis, limited for differentiation

03.05.20 | American Roentgen Ray Society

Fluke 87V Industrial Digital Multimeter

Fluke 87V Industrial Digital Multimeter is a trusted meter for precise measurements during instrument integration, repairs, and field diagnostics.


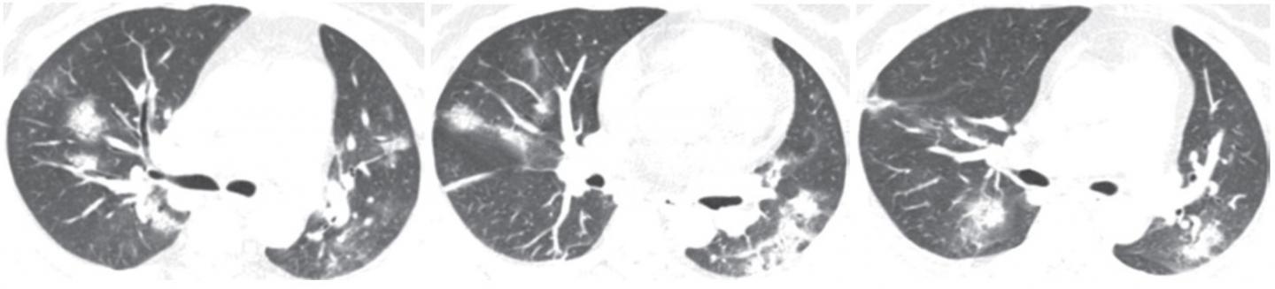
Leesburg, VA, March 5, 2020--An article by radiologists from Wuhan, China--published open-access and ahead-of-print in the American Journal of Roentgenology (AJR)--concluded that chest CT had a low rate of misdiagnosis of COVID-19 (3.9%, 2/51) and could help standardize imaging features and rules of transformation for rapid diagnosis; however, CT remains limited for the identification of specific viruses and distinguishing between viruses.

Yan Li and Liming Xia at Tongji Hospital in Hubai Province studied the first 51 patients diagnosed with COVID-19 infection confirmed by nucleic acid testing (23 women and 28 men; age range, 26-83 years) and two patients with adenovirus (one woman and one man; ages, 58 and 66 years). In their retrospective cohort of 53 patients, as of February 9, a total of 99 chest CT examinations had been performed.

Comparing image reports of the initial CT study with laboratory test results to identify patterns suggestive of viral infection, according to Li and Xia, "COVID-19 was misdiagnosed as a common infection at the initial CT study in two patients with underlying disease and COVID-19."

Meanwhile, viral pneumonia was correctly diagnosed at the initial CT study in the remaining 49 patients with COVID-19 and two patients with adenovirus.

As Li and Xia explained: "CT of one of the two patients with confirmed adenovirus infection showed ill-defined patchy ground-glass opacities (GGOs), segmental and subpleural consolidations in both lungs, and pleural effusion. CT of the other patient showed subpleural GGOs and consolidation with vascular enlargement, interlobular septal thickening, and air bronchogram sign."

The CT findings seen in Li and Xia's two adenovirus cases were similar to those observed in their COVID-19 cases.

The two authors also found CT features of COVID-19 that differ from both severe acute respiratory syndrome coronavirus (SARS-CoV) and Middle East respiratory syndrome coronavirus (MERS-CoV): a reversed halo sign in two patients (3.9%) and pulmonary nodules with a halo sign in nine patients (17.6%).

"These findings are not mentioned, to our knowledge, in the studies in the literature," the authors noted.

"It is valuable for radiologists to recognize that the CT findings of COVID-19 overlap with the CT findings of diseases caused by viruses from a different family, such as adenovirus, and have differences as well as similarities with viruses within the same family, such as SARS-CoV and MERS-CoV," added Li and Xia.

###

Founded in 1900, the American Roentgen Ray Society (ARRS) is the first and oldest radiological society in North America, dedicated to the advancement of medicine through the profession of radiology and its allied sciences. An international forum for progress in medical imaging since the discovery of the x-ray, ARRS maintains its mission of improving health through a community committed to advancing knowledge and skills with an annual scientific meeting, monthly publication of the peer-reviewed American Journal of Roentgenology (AJR), quarterly issues of InPractice magazine, AJR Live Webinars and Podcasts, topical symposia, print and online educational materials, as well as awarding scholarships via The Roentgen Fund®.

American Journal of Roentgenology

10.2214/AJR.20.22954

Keywords

Article Information

Contact Information

Logan Young
lyoung@arrs.org

Source

How to Cite This Article

APA:
American Roentgen Ray Society. (2020, March 5). Wuhan CT scans reliable for coronavirus (COVID-19) diagnosis, limited for differentiation. Brightsurf News. https://www.brightsurf.com/news/L3ROV5Y8/wuhan-ct-scans-reliable-for-coronavirus-covid-19-diagnosis-limited-for-differentiation.html
MLA:
"Wuhan CT scans reliable for coronavirus (COVID-19) diagnosis, limited for differentiation." Brightsurf News, Mar. 5 2020, https://www.brightsurf.com/news/L3ROV5Y8/wuhan-ct-scans-reliable-for-coronavirus-covid-19-diagnosis-limited-for-differentiation.html.