Bluesky Facebook Reddit Email

CNIC researchers minimize damage during a heart attack with a drug costing less than €2.00

10.01.13 | Centro Nacional de Investigaciones Cardiovasculares Carlos III (F.S.P.)

Garmin GPSMAP 67i with inReach

Garmin GPSMAP 67i with inReach provides rugged GNSS navigation, satellite messaging, and SOS for backcountry geology and climate field teams.


The study, involving emergency ambulance services and teams at seven hospitals across Spain, shows categorically that this simple, low-cost strategy could easily be extended throughout the world, providing significant clinical benefit. This would change current practice for treating heart-attack patients, who currently receive no medication before undergoing angioplasty surgery, the recommended procedure for removing the arterial blockage that caused the infarction.

Borja Ibáñez—joint leading investigator on the study with Valentín Fuster—explains that clinical research in recent years has been led by the pharmaceuticals industry, which directs large sums of money to identifying new molecules for the development of new treatments.

Dr. Ibáñez, who combines roles as head of the Experimental Cardiology Group at the Centro Nacional de Investigaciones Cardiovasculares (CNIC) and clinical cardiologist at the Hospital Clínico San Carlos, highlights the existence of several drugs that have been available for many years, have a very good safety profile, and are out-of-patent: "Sometimes, the true health benefits of these 'classical' drugs are not completely known, but the absence of commercial protection makes them unattractive candidates for independent clinical research."

This is the case with metoprolol, a drug of the beta-blocker family, used to treat arterial hypertension and other cardiovascular conditions. The team of researchers at the CNIC were able to undertake a high-cost evaluation of the potential usefulness of metoprolol after heart attack thanks to funding from the Spanish Ministry of Economy and Competitiveness, a competitive research grant from the CNIC, and the assignation of the CNIC as a Severo Ochoa center in 2011. The METOCARD-CNIC clinical trial, conducted entirely in Spain, is the first to test treatment with metoprolol, at a cost less than two euros, in heart-attack patients undergoing current standard treatment procedures.

The potential savings from the treatment go far beyond the low cost of metoprolol itself, because patients with less-extensively damaged heart muscle are less likely to need fitting with an implantable defibrillator (at a cost of more than €20,000) or to require costly hospitalization for treatment of heart failure. As Dr. Ibáñez explains, "the savings in healthcare costs will run into millions; a per-patient outlay of less than two euros will over the years save thousands."

The METOCARD-CNIC team is now carrying out a cost-effectiveness analysis to give a firm estimate of the expected savings. An acute myocardial infarction, or heart attack, is caused by a sudden obstruction of one of the coronary arteries. An infarction requires immediate medical attention and the response time is therefore critical. With every minute that the artery is blocked, the cells of the heart die in exponentially growing numbers.

Carlos Macaya, head of the Cardiology Service at the Hospital Clínico San Carlos and a leading researcher on the trial, explains that the best strategy for limiting the size of an infarct is to carry out the angioplasty procedure as soon as possible: delay in reopening the coronary artery means a larger region of damaged (necrotic) tissue. When necrosis is extensive, the heart loses a large part of its contractile strength, which does not recover.

In addition to the high risk of death during the infarction, survivors are likely to suffer from heart failure and severe arrythmias, and often die in the months or years following the attack. As Dr. Fuster explains, "the larger the infarct (grams of necrotic cardiac muscle), the greater the probability that survivors will suffer these complications in the future."

Therefore reducing the amount of tissue that becomes necrotic during an infarction is of the utmost importance. Over the last several decades investigators have searched unsuccessfully for a complementary therapy that would further reduce the extent of necrosis.

Recruitment to METOCARD-CNIC began in 2010, and a total of 270 patients with infarction were recruited in four Spanish regions: Madrid, Galicia, León and Cantabria. Patients were randomly assigned to receive intravenous metoprolol or a dummy treatment at the moment of diagnosis of a myocardial infarction, during ambulance transit to the catheterization laboratory.

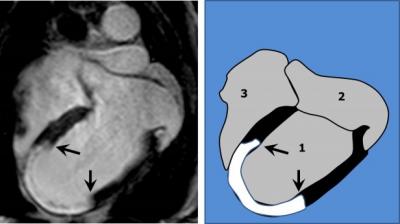
The efficacy of the intervention was evaluated by magnetic resonance imaging a week after the infarction. In an MRI protocol designed by the CNIC Imaging Unit (established in 2011 with the support of the Madrid regional government), the mass of necrotic heart tissue was measured in all patients. The results showed that patients who received metoprolol had much smaller infarcts than those who received the control treatment, and that this smaller infarct size was linked to greater heart contractility. As Dr. Fuster explains, "MRI is a unique tool for studying heart tissue that enables us to explore in exquisite detail heart function, necrosis, the state of the microcirculation and many other parameters that are critical in determining the post-infarction status of the myocardium". The MRI scans were analyzed at the central CNIC laboratory by cardiologists blinded to the treatment; the team of cardiologists at the CNIC are experts in this analysis, and most of them received their training from Dr. Fuster at the Mount Sinai Hospital in New York through a bilateral training agreement with the CNIC.

The research team is currently investigating the molecular mechanism underlying this therapeutic action of metoprolol. Dr. Fernández-Ortiz, co-investigator on METOCARD-CNIC and leader of this sub-study, explains that "this project analyzes the effect of metoprolol on the interaction of blood platelets with inflammatory cells, which might explain the benefit of early treatment with this drug as soon as possible after diagnosis of a heart attack."

Three emergency ambulance services (SUMMA112, 061 Galicia and SAMUR) were central to the success of the study. The commitment of these teams was praised by Vicente Sánchez-Brunete (an MD with SUMMA112 and one of the leading researchers in METOCARD-CNIC): "The professionals of the emergency ambulance services were spurred to join this project by their desire to participate in program with the potential to change clinical practice, and by their perception that this initiative was driven exclusively by scientific interest". Borja Ibáñez added that "the professionals of the emergency ambulance services were the driving force of this study. Their hard work is a professional and human example to us all; we are deeply humbled by the readiness of so many professionals to commit themsleves 24 hours a day, 365 days a year to an altruistic project".

The next step will be to extend the trial to a much larger number of patients in a multinational study, in order to demonstrate not only a reduced infarct size, but also a reduced mortality in patients who receive early metoprolol during transit to hospital. The CNIC research team and colleagues in the emergency services and hospitals are already working on the logistics of this new international clinical trial.

In an editorial accompanying the published article, experts from the Technische Universität and the Munich Heart Alliance, Gjin Ndrepepa and Adnan Kastrati, affirmed that, if confirmed by a subsequent analysis of large numbers of patients, the results of METOCARD-CNIC are likely to lead to a change in clinical practice: "In this regard, a pharmaco-protective strategy able to reduce infarct size by 20% when used in conjunction with primary PCI nurtures great hope in clinical benefit."

The research team at the CNIC wish to highlight the support for METOCARD-CNIC received from the Spanish Ministry of Health, Social Services and Equality, Philips, and the Fundación Mutua Madrileña, and additionally from members of the Pro-CNIC Foundation, which manages private contributions to the CNIC.

Hospitals participating in METOCARD-CNIC: Hospital Clínico San Carlos, Hospital de La Princesa, Hospital 12 de Octubre, Hospital Puerta de Hierro, and Hospital Quirón (Madrid), Hospital Meixoeiro (Galicia), Hospital de León (León) and Hospital Marqués de Valdecilla (Cantabria).

Circulation

Keywords

Article Information

Contact Information

Ainhoa Iriberri
airiberri@cnic.es

How to Cite This Article

APA:
Centro Nacional de Investigaciones Cardiovasculares Carlos III (F.S.P.). (2013, October 1). CNIC researchers minimize damage during a heart attack with a drug costing less than €2.00. Brightsurf News. https://www.brightsurf.com/news/L3Y76R61/cnic-researchers-minimize-damage-during-a-heart-attack-with-a-drug-costing-less-than-200.html
MLA:
"CNIC researchers minimize damage during a heart attack with a drug costing less than €2.00." Brightsurf News, Oct. 1 2013, https://www.brightsurf.com/news/L3Y76R61/cnic-researchers-minimize-damage-during-a-heart-attack-with-a-drug-costing-less-than-200.html.