Bluesky Facebook Reddit Email

The bassoon causing new brain disorder

03.22.18 | Hokkaido University

CalDigit TS4 Thunderbolt 4 Dock

CalDigit TS4 Thunderbolt 4 Dock simplifies serious desks with 18 ports for high-speed storage, monitors, and instruments across Mac and PC setups.


Newly discovered gene mutations may help explain the cause of a disease that drastically impairs walking and thinking.

Mutations have been found in the bassoon ( BSN ) gene, which is involved with the central nervous system, in patients with symptoms similar to, but different from, a rare brain disorder called progressive supranuclear palsy (PSP).

PSP, a form of Parkinson's disease, is often difficult to diagnose because it can affect people in different ways. Serious problems often include difficulty with walking and balance in addition to a decline in cognitive abilities such as frontal lobe dysfunction.

A team of Japanese researchers investigated patients whose symptoms resembled not only PSP but also Alzheimer's disease. Despite similarities in the symptoms, detailed pathological analyses showed no resemblance to either disease, which prompted the team to further research the new disease's underlying mechanism.

They first analyzed the genomes of a Japanese family with several members displaying PSP-like symptoms. They identified a mutation in the BSN gene only in family members with symptoms. These individuals did not have mutations in the 52 other genes associated with PSP and other neurological disorders such as Alzheimer's and Parkinson's. This was the first time BSN gene is associated with a neurological disorder.

The researchers also detected three other mutations in the BSN gene in four out of 41 other patients displaying sporadic, or non-familial, PSP-like symptoms. None of the BSN mutations were detected in a random sample of 100 healthy individuals, underscoring the strong involvement of BSN mutations in the disease.

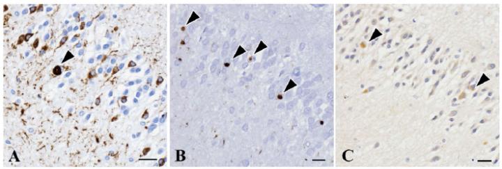
An autopsy done on one of the family members with the BSN mutation showed an accumulation of a protein called tau in the brain, which is not seen in a normal brain. The researchers believe that the BSN mutation is involved in the tau accumulation, which could cause the development of PSP-like symptoms. An experiment introducing a mutated rat BSN gene to cultured cells also suggested that the mutation causes the accumulation of tau. Communication between nerve fibres could also be affected, as BSN protein play a role in it.

"This is a peculiar neurodegenerative disorder which involves mutations in the BSN gene and tau accumulation, but differs from any known disease, including dementia, Parkinson's, and even PSP," says Associate Professor Ichiro Yabe of Hokkaido University who led the study. "Patients with PSP-like symptoms and other neurodegenerative disorders should be analyzed for BSN mutations to fine-tune their diagnoses."

###

Scientific Reports

10.1038/s41598-018-19198-0

Keywords

Article Information

Contact Information

Naoki Namba
Hokkaido University

Source

How to Cite This Article

APA:
Hokkaido University. (2018, March 22). The bassoon causing new brain disorder. Brightsurf News. https://www.brightsurf.com/news/L3YW3YQ1/the-bassoon-causing-new-brain-disorder.html
MLA:
"The bassoon causing new brain disorder." Brightsurf News, Mar. 22 2018, https://www.brightsurf.com/news/L3YW3YQ1/the-bassoon-causing-new-brain-disorder.html.