Bluesky Facebook Reddit Email

Older women benefit significantly when screened with 3D mammography

04.02.19 | Radiological Society of North America

Sony Alpha a7 IV (Body Only)

Sony Alpha a7 IV (Body Only) delivers reliable low-light performance and rugged build for astrophotography, lab documentation, and field expeditions.


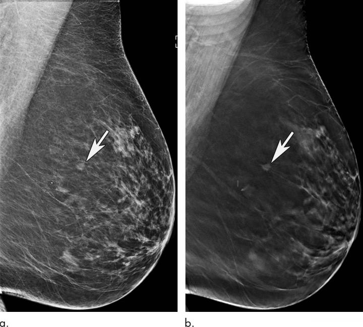
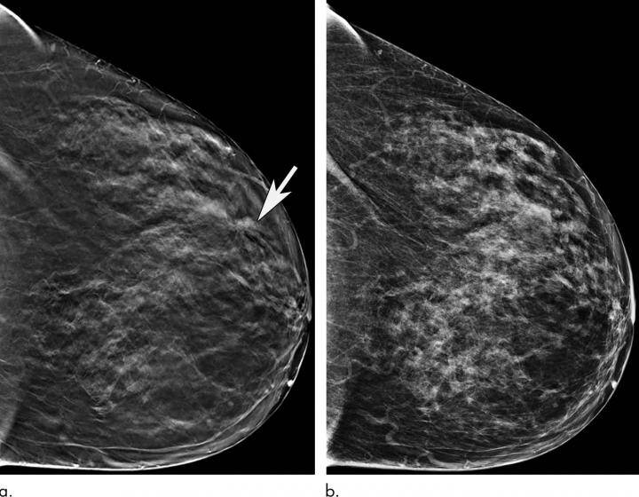
OAK BROOK, Ill. - Mammography remains an effective method for breast cancer screening in women ages 65 and older, with the addition of a 3-D technique called tomosynthesis improving screening performances even more, according to a study published in the journal Radiology .

Breast cancer is the most common cancer and the second most common cause of death from cancer among women in the United States. Research has shown that digital 2-D mammography (DM) is effective at reducing breast cancer-related mortality through early detection, when the cancer is most treatable. In 2011, the U.S. Food and Drug Administration approved tomosynthesis, also known as 3-D mammography, for breast cancer screening. Since then, it has become widely used as an adjunct to DM.

Even with these technological improvements, the benefits of breast cancer screening in older women have been subject to debate. The United States Preventive Services Task Force recommends screening mammography only until the age of 74, while other professional groups do not recommend stopping screening based on age.

In the new study, researchers at Massachusetts General Hospital (MGH) sought to learn more about the performance of screening mammography in the older population and the added value of tomosynthesis. They compared screening mammograms from more than 15,000 women (mean age 72.7 years) who underwent DM with those of more than 20,000 women (mean age 72.1 years) who underwent tomosynthesis. Both approaches were highly effective at detecting cancer, but tomosynthesis had some advantages over the 2-D approach, including a reduction in false-positive examinations. Tomosynthesis also had a higher positive predictive value, the probability that women with a positive screening result will have breast cancer, and higher specificity, or the ability to distinguish cancer from benign findings, than DM.

"We've shown that screening mammography performs well in older women, with high cancer detection rates and low false-positives, and that tomosynthesis leads to even better performance than conventional 2-D mammography," said study lead author Manisha Bahl, M.D., M.P.H., radiologist at MGH and assistant professor of radiology at Harvard Medical School. "For example, the abnormal interpretation rate, which is the percentage of women who are called back for additional imaging after a screening mammogram, is lower with tomosynthesis than with conventional 2-D mammography. We also found that fewer cancers detected with tomosynthesis were lymph node-positive, suggesting that we are detecting cancers at an earlier stage. Detecting breast cancers at an early stage is the goal of screening mammography."

The study results do not support a specific age cutoff age for mammography screening, according to Dr. Bahl. She said that guidelines for screening in older women should be based on individual preferences, life expectancy and health status rather than age alone.

"Our research demonstrates that screening mammography and tomosynthesis perform well in older women with regard to cancer detection and false-positives," she said. "So, if a woman is healthy and would want her cancer to be treated if it were detected, then she should continue screening."

Dr. Bahl expects the combination of DM and tomosynthesis to eventually become the standard for screening at all practices.

Since tomosynthesis is still a relatively new technology, more research is needed to determine its impact on long-term patient outcomes, Dr. Bahl said.

###

"Digital 2D versus Tomosynthesis Screening Mammography among Women Aged 65 and Older in the United States." Collaborating with Dr. Bahl were Niveditha Pinnamaneni, M.D., Sarah Mercaldo, Ph.D., Anne Marie McCarthy, Ph.D., and Constance D. Lehman, M.D., Ph.D.

Radiology is edited by David A. Bluemke, M.D., Ph.D., University of Wisconsin School of Medicine and Public Health, Madison, Wis., and owned and published by the Radiological Society of North America, Inc.

RSNA is an association of over 53,400 radiologists, radiation oncologists, medical physicists and related scientists promoting excellence in patient care and health care delivery through education, research and technologic innovation. The Society is based in Oak Brook, Ill. ( RSNA.org )

For patient-friendly information on mammography, visit RadiologyInfo.org .

Radiology

Keywords

Article Information

Contact Information

Linda Brooks
lbrooks@rsna.org

How to Cite This Article

APA:
Radiological Society of North America. (2019, April 2). Older women benefit significantly when screened with 3D mammography. Brightsurf News. https://www.brightsurf.com/news/L554QZ7L/older-women-benefit-significantly-when-screened-with-3d-mammography.html
MLA:
"Older women benefit significantly when screened with 3D mammography." Brightsurf News, Apr. 2 2019, https://www.brightsurf.com/news/L554QZ7L/older-women-benefit-significantly-when-screened-with-3d-mammography.html.