Bluesky Facebook Reddit Email

Live cell imaging using a smartphone

12.21.16 | Uppsala University

Kestrel 3000 Pocket Weather Meter

Kestrel 3000 Pocket Weather Meter measures wind, temperature, and humidity in real time for site assessments, aviation checks, and safety briefings.


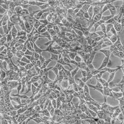
A recent study from Uppsala University shows how smartphones can be used to make movies of living cells, without the need for expensive equipment. The study is published in the open access journal PLOS ONE , making it possible for laboratories around the world to do the same thing.

Live imaging of cells is a very powerful tool for the study of cells, to learn about how cells respond to different treatments such as drugs or toxins. However, microscopes and equipment for live imaging are often very expensive.

In the present study, old standard inverted microscopes that are very abundant at Universities and hospitals were upgraded to high quality live imaging stations using a few 3D-printed parts, off-the-shelf electronics, and a smartphone. It was shown that the resultant upgraded systems provided excellent cell culture conditions and enabled high-resolution imaging of living cells.

"What we have done in this project isn't rocket science, but it shows you how 3D-printing will transform the way scientists work around the world. 3D-printing has the potential to give researchers with limited funding access to research methods that were previously too expensive," says Johan Kreuger, senior lecturer at the Department of Medical Cell Biology at Uppsala University.

"The technology presented here can readily be adapted and modified according to the specific need of researchers, at a low cost. Indeed, in the future, it will be much more common that scientists create and modify their own research equipment, and this should greatly propel technology development," says Johan Kreuger.

###

Rodrigo Hernández Vera et al. A modular and Affordable Time-Lapse Imaging and Incubation System Based on 3D-printed Parts, a Smartphone, and Off-The-Shelf Electronics. PLOS ONE http://dx.plos.org/10.1371/journal.pone.0167583

PLOS ONE

Keywords

Article Information

Contact Information

How to Cite This Article

APA:
Uppsala University. (2016, December 21). Live cell imaging using a smartphone. Brightsurf News. https://www.brightsurf.com/news/L55OJ57L/live-cell-imaging-using-a-smartphone.html
MLA:
"Live cell imaging using a smartphone." Brightsurf News, Dec. 21 2016, https://www.brightsurf.com/news/L55OJ57L/live-cell-imaging-using-a-smartphone.html.