Bluesky Facebook Reddit Email

Study finds COVID-19 less severe in fully vaccinated

02.01.22 | Radiological Society of North America

DJI Air 3 (RC-N2)

DJI Air 3 (RC-N2) captures 4K mapping passes and environmental surveys with dual cameras, long flight time, and omnidirectional obstacle sensing.


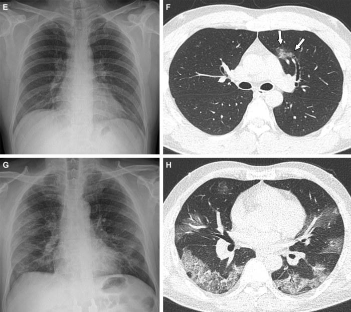
OAK BROOK, Ill. – The clinical and imaging characteristics of COVID-19 breakthrough infections in fully vaccinated patients tend to be milder than those of partially vaccinated or unvaccinated patients, according to a new multicenter study published in the journal Radiology.

The number of confirmed COVID-19 cases worldwide now exceeds 270 million with an overall mortality rate of approximately 2%.

COVID-19 vaccines are effective and critical tools for bringing the pandemic under control. However, vaccines are not 100% effective at preventing illness. Breakthrough infections are defined as the detection of severe acute respiratory syndrome coronavirus 2 (SARS-CoV-2) ribonucleic acid (RNA) or antigen in a respiratory specimen collected from a person 14 days or more after receiving all recommended doses of COVID-19 vaccines.

Breakthrough cases are on the rise with the highly transmissible Omicron variant. Therefore, it is important to know how vaccination impacts not only COVID-19 disease severity but also clinical data and medical imaging results.

“Although the risk of infection is much lower among vaccinated individuals, and vaccination reduces the severity of illness, clinical and imaging data of COVID-19 breakthrough infections have not been reported in detail,” said the study’s senior author, Yeon Joo Jeong, M.D., Ph.D., from the Department of Radiology and Biomedical Research Institute at Pusan National University Hospital in Busan, South Korea. “The purpose of this study was to document the clinical and imaging features of COVID-19 breakthrough infections and compare them with those of infections in unvaccinated patients.”

In this retrospective multicenter cohort study, Dr. Jeong and colleagues analyzed data from adult patients registered in an open data repository for COVID-19—Korean Imaging Cohort for COVID-19 (KICC-19)—between June and August 2021. Hospitalized patients with baseline chest X-rays were divided into three groups, according to their vaccination status. The researchers evaluated differences between clinical and imaging features and analyzed associations between clinical factors—including vaccination status—and clinical outcomes.

Of the 761 hospitalized patients with COVID-19, the mean age was 47 years, and 385 (51%) were women. Forty-seven patients (6.2%) were fully vaccinated (breakthrough infection), 127 were partially vaccinated (17%), and 587 (77%) were unvaccinated. Chest CT scans were performed on 412 (54%) of the patients during hospitalization. Of patients undergoing CT, the proportion of CT scans without pneumonia was 22% (71/326) of unvaccinated patients, 30% (19/64) of partially vaccinated patients, and 59% (13/22) of fully vaccinated patients. Fully vaccinated status was associated with a lower risk of requiring supplemental oxygen than unvaccinated status, as well as lower risk of intensive care unit (ICU) admission.

The results also showed associations between the risk of severe disease and clinical characteristics such as higher age, history of diabetes, lymphocytopenia, thrombocytopenia, elevated LDH (lactate dehydrogenase), and elevated CRP (C-reactive protein). Notably, age was also found to be an important predictor of more severe disease in COVID-19 patients, even in those with a breakthrough infection.

The researchers noted that observed differences in clinical characteristics may reflect differences in vaccination priorities based on underlying comorbidities. During the study period, high-risk groups, such as individuals over 65 years old, health care workers and people with disabilities were priority targets for COVID-19 vaccination. Therefore, elderly patients and patients with at least one comorbidity were more common in the vaccinated group than in unvaccinated group in the study.

“Despite these differences, mechanical ventilation and in-hospital death occurred only in the unvaccinated group,” Dr. Jeong said. “Furthermore, after adjusting for baseline clinical characteristics, analysis showed that fully vaccinated patients were at significantly lower risk of requiring supplemental oxygen and of ICU admission than unvaccinated patients.”

Although additional research will be needed as different variants emerge, this study sheds light on the clinical effectiveness of COVID-19 vaccination in the context of breakthrough infections.

###

“Imaging and Clinical Features of COVID-19 Breakthrough Infections: A Multicenter Study.” Collaborating with Dr. Jeong were Jong Eun Lee, M.D., Minhee Hwang, M.D., Yun-Hyeon Kim, M.D., Ph.D., Myung Jin Chung, M.D., Ph.D., Byeong Hak Sim, M.D., Kum Ju Chae, M.D., and Jin Young Yoo, M.D.

Radiology is edited by David A. Bluemke, M.D., Ph.D., University of Wisconsin School of Medicine and Public Health, Madison, Wisconsin, and owned and published by the Radiological Society of North America, Inc. ( https://pubs.rsna.org/journal/radiology )

RSNA is an association of radiologists, radiation oncologists, medical physicists and related scientists promoting excellence in patient care and health care delivery through education, research and technologic innovation. The Society is based in Oak Brook, Illinois. ( RSNA.org )

For patient-friendly information on chest CT, visit RadiologyInfo.org .

Radiology

People

Imaging and Clinical Features of COVID-19 Breakthrough Infections: A Multicenter Study

1-Feb-2022

Keywords

Article Information

Contact Information

Linda Brooks
Radiological Society of North America
lbrooks@rsna.org

How to Cite This Article

APA:
Radiological Society of North America. (2022, February 1). Study finds COVID-19 less severe in fully vaccinated. Brightsurf News. https://www.brightsurf.com/news/L599MD98/study-finds-covid-19-less-severe-in-fully-vaccinated.html
MLA:
"Study finds COVID-19 less severe in fully vaccinated." Brightsurf News, Feb. 1 2022, https://www.brightsurf.com/news/L599MD98/study-finds-covid-19-less-severe-in-fully-vaccinated.html.