Bluesky Facebook Reddit Email

A novel mechanism for overexpression of c-Myc, a proto-oncogene in cancer cells

02.28.22 | Nagoya City University

Kestrel 3000 Pocket Weather Meter

Kestrel 3000 Pocket Weather Meter measures wind, temperature, and humidity in real time for site assessments, aviation checks, and safety briefings.


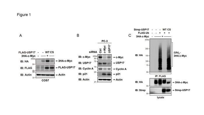
The c-Myc oncoprotein is frequently overexpressed in human cancers and is essential for cancer cell proliferation. The dysregulation of ubiquitin-proteasome-mediated degradation is one of the contributing factors to the up-regulated expression of c-Myc in human cancers.
In the present study, Dr. Hidetoshi Hayashi (Professor, Nagoya City University) and collaborators herein identified USP17 as a novel deubiquitinating enzyme that regulates c-Myc levels and controls cell proliferation and glycolysis. The overexpression of USP17 stabilized the c-Myc protein by promoting its deubiquitination. In contrast, the knockdown of USP17 promoted c-Myc degradation and reduced c-Myc levels. The knockdown of USP17 also suppressed cell proliferation and glycolysis. Collectively, the present results reveal a novel role for USP17 in the regulation of c-Myc stability, and suggest its potential as a therapeutic target for cancer treatment.

FEBS Letters

10.1002/1873-3468.14296

Experimental study

Cells

The deubiquitinating enzyme USP17 regulates c-Myc levels and controls cell proliferation and glycolysis

28-Feb-2022

Keywords

Article Information

Contact Information

Sasaki Tatsuro
Nagoya City University
ncu_public@sec.nagoya-cu.ac.jp

How to Cite This Article

APA:
Nagoya City University. (2022, February 28). A novel mechanism for overexpression of c-Myc, a proto-oncogene in cancer cells. Brightsurf News. https://www.brightsurf.com/news/L59J59V8/a-novel-mechanism-for-overexpression-of-c-myc-a-proto-oncogene-in-cancer-cells.html
MLA:
"A novel mechanism for overexpression of c-Myc, a proto-oncogene in cancer cells." Brightsurf News, Feb. 28 2022, https://www.brightsurf.com/news/L59J59V8/a-novel-mechanism-for-overexpression-of-c-myc-a-proto-oncogene-in-cancer-cells.html.