Bluesky Facebook Reddit Email

New weapon in the fight against breast cancer

12.16.15 | DOE/Lawrence Berkeley National Laboratory

GoPro HERO13 Black

GoPro HERO13 Black records stabilized 5.3K video for instrument deployments, field notes, and outreach, even in harsh weather and underwater conditions.


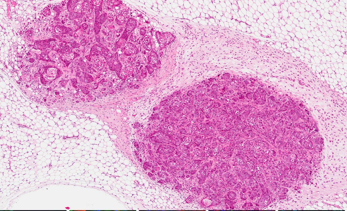
The first clinically-relevant mouse model of human breast cancer to successfully express functional estrogen receptor positive (ER+) adenocarcinomas has been developed by researchers at Lawrence Berkeley National Laboratory (Berkeley Lab). The tumors generated in this system bear a striking resemblance to the class of tumors found in the vast majority of women with breast cancer, and especially to those whose cancer proves treatment-resistant. This model should be a powerful tool for testing therapies for aggressive ER+ breast cancers and for studying the biology and etiology of luminal cancers -- the most prevalent and deadliest forms of breast cancer.

In a study led by renowned breast cancer authority Mina Bissell, xenografts of the cell line '184AA3' consistently formed human estrogen receptor positive (ER+) luminal breast tumors in mice. ER+ luminal tumors account for nearly 80-percent of all newly diagnosed breast cancers each year and more women die from treatment-resistant luminal breast cancer than of all other breast cancer types combined.

"Our discovery of the conditions under which 184AA3 cells generate clinically-relevant luminal tumors is an important step towards defining and overcoming some of the remaining obstacles that have until now prevented development of accurate models of luminal breast cancers," says Bissell, Distinguished Scientist with Berkeley Lab's Biological Systems and Engineering Division. "The 184AA3 model will better enable us to identify the factors that promote aggressive phenotypes and how these factors might be suppressed to generate more benign phenotypes instead, or hopefully even eliminate the tumors and the metastatic cells. Such observations can also form the basis of new clinical therapeutics."

The paper describing the details of this new mouse model, and its cell culture counterpart, has been published in the Journal of Breast Cancer Research and Treatment . The paper is titled '184AA3: A Xenograft Model of ER+ Breast Adenocarcinoma.' Bissell is the corresponding author. The co-lead authors are Curt Hines and Irene Kuhn. Other co-authors are Kate Thi, Berbie Chu, Gaelen Stanford-Moore, Rocio Sampayo, James Garbe, Martha Stampfer and Alexander Borowsky.

ER+ luminal breast cancers are adenocarcinomas, meaning they start in cells with a secretory function, in this case the milk-producing luminal cells of the breast. Despite the prevalence of ER+ luminal tumors and their frequent (nearly 30-percent) conversion to treatment resistance, there are very few models of this cancer subtype available for the development of drugs. Further, the models that do exist have questionable clinical relevance in that they generate tumors that look and behave quite differently than human tumors.

"There is a great need for clinically-relevant models of ER+ luminal breast cancer," says Kuhn, a cancer cell biologist who also manages Bissell's laboratory group. "Until we are able to tailor truly personalized therapies for each woman, the great challenge for clinicians is to choose therapies based on their efficacy in a model that best mimics their patient's particular cancer. The fact that we have lacked relevant models of ER+ luminal breast cancer has thus made it difficult to determine which treatments will most likely be effective."

To develop their xenograft model of ER+ luminal breast cancer, Bissell, Kuhn, Hines and their colleagues looked at several cell line models of breast cancer progression. Such models allow exploration of early cancer transformative events, providing insight into the initiation and progress of tumors. Eventually they focused on a collection of cell lines known as the '184' series, which was created in the 1990s from women undergoing reduction mammoplasty by co-authors Stampfer and Garbe, both of whom are long-term and well-known researchers with the Berkeley Lab. That the 184AA3 model was developed from part of Stampfer and Garbe's 184 cell series means it can be used for etiological studies.

"To determine the tumorigenicity of 184-derived cell lines, we orthotopically xenografted each cell line possessing anchorage-independent growth into the fat pads, then monitored them for tumor growth in the mammary gland," says Hines, a scientist and a member of Bissell's research team. "Whereas most xenografts resulted in either squamous carcinomas or no tumors at all, 184AA3 consistently produced adenocarcinomas closely resembling clinical breast tumors."

Adds Bissell, "We were fortunate to work with Alexander Borowsky, a professor of breast pathology at UC Davis who was doing a sabbatical in my laboratory. He could expertly analyze the tumors that grew in these transplanted mice and pass judgment on how well the pathology mimicked that of human tumors."

A pressing goal for cancer researchers is recognizing different clinical forms and subtypes of breast tumors, and understanding how and why each type manifests. In their paper, Bissell, Kuhn, Hines and their co-authors state that the 184AA3 model is appropriate for studies of the etiology of ovarian hormone-independent adenocarcinomas and the identification of therapeutic targets, as well as for predictive testing and drug development.

"Defining the cellular origins and steps to malignant tumor progression are critical to improved and personalized cancer-prevention and treatment strategies," Kuhn says. "That's why we're not stopping with the 184AA3 model, exciting as it is! We're working to develop as many additional models of all the varieties of luminal breast cancer as we can."

###

This research was supported primarily by the Department of Defense Breast Cancer Research Program, the Breast Cancer Research Foundation in New York, and the National Cancer Institute.

Lawrence Berkeley National Laboratory addresses the world's most urgent scientific challenges by advancing sustainable energy, protecting human health, creating new materials, and revealing the origin and fate of the universe. Founded in 1931, Berkeley Lab's scientific expertise has been recognized with 13 Nobel prizes. The University of California manages Berkeley Lab for the U.S. Department of Energy's Office of Science. For more, visit http://www.lbl.gov .

Keywords

Contact Information

Lynn Yarris
DOE/Lawrence Berkeley National Laboratory
lcyarris@lbl.gov

Source

How to Cite This Article

APA:
DOE/Lawrence Berkeley National Laboratory. (2015, December 16). New weapon in the fight against breast cancer. Brightsurf News. https://www.brightsurf.com/news/L765WGN1/new-weapon-in-the-fight-against-breast-cancer.html
MLA:
"New weapon in the fight against breast cancer." Brightsurf News, Dec. 16 2015, https://www.brightsurf.com/news/L765WGN1/new-weapon-in-the-fight-against-breast-cancer.html.