Bluesky Facebook Reddit Email

Tumor-analysis technology enables speedier treatment decisions for bowel-cancer patients

11.11.14 | University of Sussex

Garmin GPSMAP 67i with inReach

Garmin GPSMAP 67i with inReach provides rugged GNSS navigation, satellite messaging, and SOS for backcountry geology and climate field teams.


Technology developed at the University of Sussex helps hospitals make earlier and more accurate treatment decisions and survival assessments for patients with bowel cancer.

Bowel cancer kills more than 16,000 people a year in the UK, making it the nation's second-most common cause of cancer death (after lung cancer).

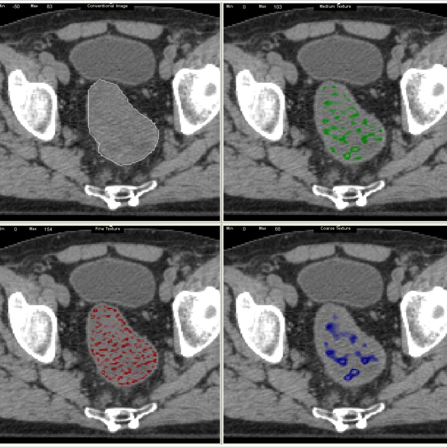
A novel medical-imaging technology, TexRAD, which analyses the texture of tumours, has been shown in trials to enable early diagnosis of those bowel-cancer patients not responding to the standard cancer therapy better than other available tumour markers.

Furthermore, the TexRAD markers showed the ability to assess at an early stage the likelihood of survival, distinguishing patients who will have a good prognosis from those having poor prognosis.

Dr Balaji Ganeshan, one of the Sussex academics whose research led to the development of the technology, said: "By using TexRAD to scan for subtle anomalies in a tumour's texture, researchers have been able to spot more quickly when treatments are - or are not - working and adjust treatment accordingly.

"And because TexRAD simply provides an additional layer of software analysis of the MRI and CT scans that already exist as part of routine clinical practice, it is non-invasive from the patient's point of view and potentially cost-effective to the healthcare provider."

The technology is being evaluated in a number of prestigious research institutions and university hospitals around the world.

Across two separate UK studies, researchers analysed the tumours of 155 bowel-cancer patients.

In a study at University College London Hospitals, researchers analysed baseline PET-CT scans - ie those taken before treatment - and then followed up with the patients for an average of three years later. They found that analysing the texture of the tumours in the initial scans enabled them to accurately predict patient survival.

At Colchester General Hospital, the researchers looked at MR scans taken both before treatment and six weeks after the patients had completed chemotherapy and radiotherapy, and found that the patients whose tumours were less heterogeneous - ie more uniform - in terms of texture parameters six weeks after treatment were more likely to survive longer.

Meanwhile, researchers from the University of Rome found that texture analysis provides useful 'imaging biomarkers' that indicate how the tumour is responding to chemotherapy and radiotherapy. Professor Andrea Laghi, Professor of Radiology at the University of Rome and principal investigator of the study, said: "The identification of new, accurate imaging biomarkers such as TexRAD analysis of MR images for early assessment of first-line cancer therapy response (predominantly to shrink the tumour before the main treatment) could be helpful in refining bowel-cancer patient management, providing a better targeting of preoperative therapy."

The findings of the three studies will be presented to a wide international audience of clinicians (radiologists), imaging scientists, healthcare providers and industry at the 100th premier annual scientific meeting and exhibition of the Radiological Society of North America (RSNA), which takes place in Chicago from 30 November until 5 December.

###

Notes for editors

For press enquiries, contact the University of Sussex Press Office: James Hakner and Jacqui Bealing; press@sussex.ac.uk (+44)1273 678888.

TexRAD is attending the 100th scientific assembly and annual meeting of the Radiological Society of North America on 30 November to 5 December 2014 at the McCormick Place in Chicago, USA. The theme of the meeting is 'A century of transforming medicine'.

Based on the initial research by Sussex academics, TexRAD develops and markets a radical new imaging software that can extract vital additional information from routinely acquired whole-body diagnostic images of patients with cancer and other diseases and can assist clinicians in improved decision-making, i.e. prognosis, disease characterisation and response to treatment. It provides for the first time a commercially available imaging platform suite further developed under medical regulatory environment (for potential clinical use) dedicated for undertaking textural analysis of tumours.

TexRAD was originally a joint venture between the University of Sussex, Imaging Equipment Ltd, Cambridge Computed Imaging Ltd (CCI) and Miles Medical Pty Ltd, based on research by Professor Chris Chatwin, Dr Rupert Young and Dr Balaji Ganeshan from the Department of Engineering and Design at the University of Sussex and Brighton and Sussex Medical School (BSMS), and Professor Ken Miles (formerly BSMS). Dr Ganeshan is currently also a Senior Imaging Scientist at the University College London.

In May 2014, TexRAD Ltd along with Cambridge Computed Imaging was bought by Feedback plc, an AIM-listed company specialising in medical imaging tools.

Keywords

Contact Information

Source

How to Cite This Article

APA:
University of Sussex. (2014, November 11). Tumor-analysis technology enables speedier treatment decisions for bowel-cancer patients. Brightsurf News. https://www.brightsurf.com/news/L7692EO1/tumor-analysis-technology-enables-speedier-treatment-decisions-for-bowel-cancer-patients.html
MLA:
"Tumor-analysis technology enables speedier treatment decisions for bowel-cancer patients." Brightsurf News, Nov. 11 2014, https://www.brightsurf.com/news/L7692EO1/tumor-analysis-technology-enables-speedier-treatment-decisions-for-bowel-cancer-patients.html.