Bluesky Facebook Reddit Email

Simple nerve cells regulate swimming depth of marine plankton

10.18.11 | Max-Planck-Gesellschaft

Celestron NexStar 8SE Computerized Telescope

Celestron NexStar 8SE Computerized Telescope combines portable Schmidt-Cassegrain optics with GoTo pointing for outreach nights and field campaigns.


This release is available in German .

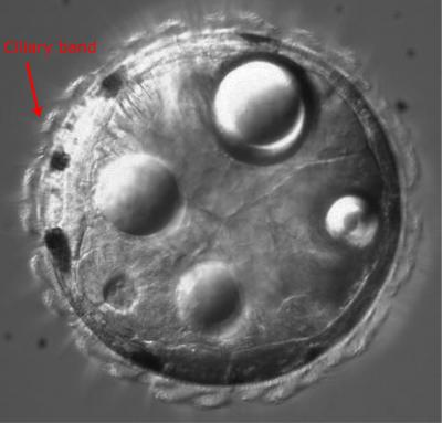
As planktonic organisms the larvae of the marine annelid Platynereis swim freely in the open water. They move by activity of their cilia, thousands of tiny hair-like structures forming a band along the larval body and beating coordinately. With changing environmental conditions the larvae swim upward and downward to their appropriate water depth. Scientists of the Max Planck Institute for Developmental Biology in Tübingen, Germany have now identified some signalling substances in the larval nervous system regulating swimming depth of the larvae. These substances influence the ciliary beating and thus hold the larvae in the preferred water depth. The scientists discovered a very simple circuitry of nerve cells underlying this regulation, reflecting an early evolutionary state of the nervous system.

The locomotory system of many animals is muscle based. However, small marine animals often move by cilia. This type of locomotion is more ancient in evolution than muscle-based locomotion and very common in marine plankton. Besides the annelid larvae, the larvae of many marine invertebrates are part of this plankton, for example larvae of snails, sea shells and starfish.

"Not much is known about how the nervous systems of the marine plankton regulate ciliary beating, since the locomotion of intensely explored model organisms like the fruit fly is based on muscles," says Gáspár Jékely. Together with his team at the Max Planck Institute for Developmental Biology and in cooperation with Thomas A. Münch at the Centre for Integrative Neuroscience in Tübingen, he has examined in detail the nervous system of marine annelid larvae of Platynereis dumerilii .

The ciliary band of Platynereis larvae serves as a swimming motor in the seawater: When cilia beat fast and continuously, larvae swim upward, and when cilia cease beating, the larvae sink. These larvae sense different environmental conditions, e.g. they react to changes in temperature, light and food supply, and alter their movement in the water column accordingly.

In order to gain insight into the regulation of this behaviour, the Tübingen scientists analysed the genes of Platynereis . They discovered several neuronal signalling substances, so-called neuropeptides in their Platynereis gene databases. Moreover, the scientists found that these neuropeptides are produced in single sensory nerve cells of the larva and are released directly at the ciliary band. The scientists concluded that these nerve cells send the sensory information directly on to the cilia. Some of these neuropeptides influence over cilia beating frequency, others act on the frequency of cilia holdups as well. By means of the neuropeptides, the scientists could control the up and down movement of freely swimming larvae and change their swimming depth in the water column deliberately.

"We have discovered that the responsible nervous circuitries are built in an unusually simple way. The sensory nerve cells have motor function at the same time, that is, they send the motion impulse directly to the ciliary band," says Markus Conzelmann from the Max Planck Institute for Developmental Biology, first author of the study. Such simple circuitries are not known from the regulation of muscle-based locomotion. "We were astonished to find not only one neuropeptide as part of such a simple circuitry, but eleven different ones."

According to the scientists this discovery gives insights into the form and function of nerve systems in an early stage of evolution. Moreover, the results could be interesting for other fields of marine biology: "We now have a suitable model to further explore the regulation of swimming depth in marine plankton. Since the swimming behaviour of plankton is crucial for the survival and prevalence of thousands of marine animal species, our research results could be relevant for marine ecology," explains Gáspár Jékely. In his future research he wants to reveal how single nerve cells process the different sensory information from water pressure, temperature or salinity.

Original Publication: Markus Conzelmann, Sarah-Lena Offenburger, Albina Asadulina, Timea Keller, Thomas A. Münch and Gáspár Jékely: Neuropeptides regulate swimming depth of Platynereis larvae. PNAS, doi: 10.1073/pnas.1109085108

Printable images can be obtained at the Public Relations Office of the Max Planck Institute for Developmental Biology. Please send a proof upon publication.

The Max Planck Institute for Developmental Biology conducts basic research in the fields of biochemistry, genetics and evolutionary biology. It employs about 325 people and is located at the Max Planck Campus in Tübingen. The Max Planck Institute for Developmental Biology is one of 80 research institutes that the Max Planck Society for the Advancement of Science maintains in Germany.

Proceedings of the National Academy of Sciences

Keywords

Article Information

Contact Information

Source

How to Cite This Article

APA:
Max-Planck-Gesellschaft. (2011, October 18). Simple nerve cells regulate swimming depth of marine plankton. Brightsurf News. https://www.brightsurf.com/news/L76ORJD1/simple-nerve-cells-regulate-swimming-depth-of-marine-plankton.html
MLA:
"Simple nerve cells regulate swimming depth of marine plankton." Brightsurf News, Oct. 18 2011, https://www.brightsurf.com/news/L76ORJD1/simple-nerve-cells-regulate-swimming-depth-of-marine-plankton.html.