Bluesky Facebook Reddit Email

Plasmodium vivax malaria: Infections may be largely underestimated in sub-Saharan Africa

12.06.23 | Institut Pasteur

Davis Instruments Vantage Pro2 Weather Station

Davis Instruments Vantage Pro2 Weather Station offers research-grade local weather data for networked stations, campuses, and community observatories.


Researchers from the Institut de Parasitologie et de Pathologie Tropicale at the University of Strasbourg and the Laboratoire de Parasitologie et de Mycologie Médicale at the Strasbourg University Hospital, in collaboration with King's College London, UK, the Institut Pasteur (Paris, France), the Institut Pasteur de Madagascar and the University of Addis Ababa, Ethiopia, have revealed how Plasmodium vivax, one of the main causes of malaria, is capable of infecting people in Africa. This is an important discovery, given that until now these populations were considered to be naturally protected due to the absence of the Duffy protein on the surface of their red blood cells. These results suggest that a large number of individuals in sub-Saharan Africa could be silent carriers of Plasmodium vivax and, consequently, that malaria could be largely underestimated in Africa. The results of this research were published on December 5, 2023, in Cell Host & Microbe .

Malaria kills almost 600,000 people worldwide every year, mainly in sub-Saharan Africa. For some time, epidemiological data suggested that Plasmodium vivax, the second most common Plasmodium species after Plasmodium falciparum, could only infect young red blood cells (called reticulocytes) that have the Duffy protein (or DARC for Duffy Antigen Receptor for Chemokines) on their surface. This explains why Duffy-negative populations are naturally protected against infection by Plasmodium vivax, and the low P. vivax burden in sub-Saharan Africa, where populations are exclusively or overwhelmingly Duffy-negative. However, since the 2000s and with the advent of new molecular diagnostic methods, many studies have revealed the ability of Plasmodium vivax to infect Duffy-negative subjects. This left one question unanswered: how does the parasite enter young red blood cells in the absence of the Duffy protein?

To answer this question, Didier Ménard's team, in collaboration with scientists from King's College London, UK, the Institut Pasteur, the Institut Pasteur de Madagascar and Addis Ababa University, examined the red blood cell maturation process in vitro. The scientists discovered that Duffy-negative red blood cell precursor cells temporarily express the Duffy protein during their development. However, our work found that only a small proportion of the precursor cells that normally express the Duffy protein (1-3%) are likely to be infected by Plasmodium vivax. This study, therefore, confirms that, whatever the host status (Duffy positive or negative), Plasmodium vivax is capable of replicating outside the bloodstream, in sites where red cells are produced in the bone marrow and spleen

This new discovery raises new research questions. Are large numbers of Duffy-negative individuals in sub-Saharan Africa infected with Plasmodium vivax in their bone marrows and spleens in the absence of detectable blood stage infections, using traditional malaria diagnostic methods (thin/thick smear and rapid diagnostic test)? "This work suggests a little-known facet of Plasmodium vivax infection and an underestimation of the importance of this parasite in sub-Saharan Africa", says Didier Ménard, the study's senior author. "As a result, we need to rethink our strategies for combating this parasite", he adds.

This research received financial support from the Agence Nationale de la Recherche (ANR), the Institut Pasteur de Paris, the French Parasitology Alliance for Excellence in Health Care Laboratories, the University of Strasbourg's Initiative of Excellence, the Bill and Melinda Gates Foundation, the Foundation for Medical Research, the European Hematology Association, the Fondation de France (Thérèse Lebrasseur Prize) and the European Union's Marie Sklodowska-Curie research and innovation programme, Horizon 2020. This work was also supported by the Etablissement Français du Sang de Strasbourg (Sabine Haas) and the Centre d'Immunologie et des Maladies Infectieuses in Paris (Olivier Silvie).

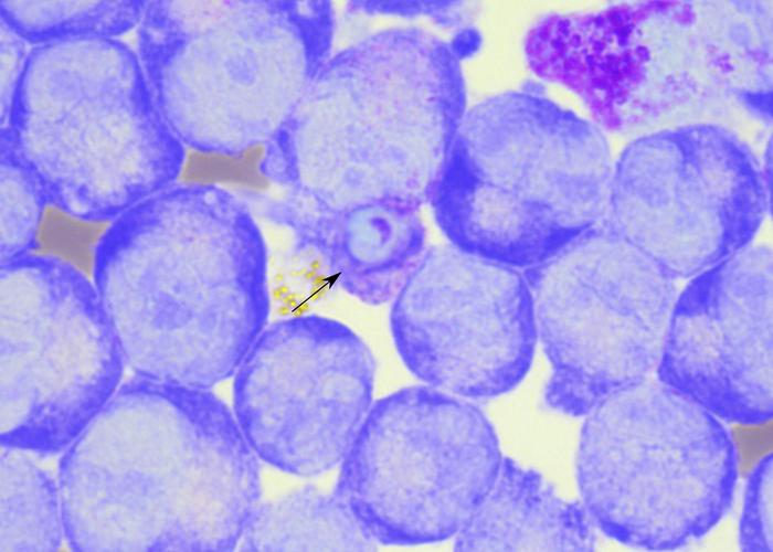
Caption and credits: Duffy-negative erythroblasts (at D9 of erythroid progenitor differentiation) infected with a Madagascan isolate of Plasmodium vivax observed by light microscopy (mature stage). © Isabelle Bouyssou & Didier Menard (Pasteur Institute, University of Strasbourg)

Cell Host & Microbe

10.1016/j.chom.2023.11.007

Unveiling P. vivax invasion pathways in Duffy-negative individuals

5-Dec-2023

Keywords

Article Information

Contact Information

Aurelie Perthuison
Institut Pasteur
presse@pasteur.fr
Mathilde Hubert
University of Strasbourg
mathilde.hubert@unistra.fr
Gaël Chica
Strasbourg University Hospitals
gael.chica@chru-strasbourg.fr

Source

How to Cite This Article

APA:
Institut Pasteur. (2023, December 6). Plasmodium vivax malaria: Infections may be largely underestimated in sub-Saharan Africa. Brightsurf News. https://www.brightsurf.com/news/L7VW9608/plasmodium-vivax-malaria-infections-may-be-largely-underestimated-in-sub-saharan-africa.html
MLA:
"Plasmodium vivax malaria: Infections may be largely underestimated in sub-Saharan Africa." Brightsurf News, Dec. 6 2023, https://www.brightsurf.com/news/L7VW9608/plasmodium-vivax-malaria-infections-may-be-largely-underestimated-in-sub-saharan-africa.html.