Bluesky Facebook Reddit Email

Monthly transfusions reduce strokes in children with sickle cell anemia

08.20.14 | WashU Medicine

Sony Alpha a7 IV (Body Only)

Sony Alpha a7 IV (Body Only) delivers reliable low-light performance and rugged build for astrophotography, lab documentation, and field expeditions.


Monthly blood transfusions reduce the risk of stroke in young patients with sickle cell anemia, scientists report Aug. 20 in The New England Journal of Medicine .

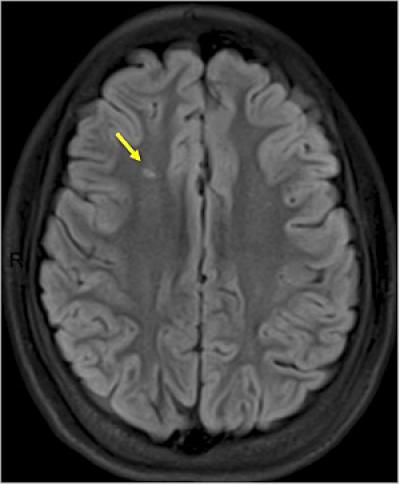
An estimated 1 in 3 children with sickle cell anemia experiences silent strokes — loss of blood flow to parts of the brain. Such strokes do not cause immediate symptoms and typically go undiagnosed. But damage from these incidents, which often recur, can lower a child's IQ.

A new multi-institutional study that originated at Washington University School of Medicine in St. Louis showed that giving monthly blood transfusions to sickle cell anemia patients who already had experienced silent strokes reduced by 58 percent their risk of another stroke, silent or otherwise.

"The data make transfusion the only evidence-based option to prevent stroke recurrence and further brain injury in this vulnerable population," said coauthor Michael Noetzel, MD, professor of neurology and of pediatrics and chair of the study's neurology committee. "Now that we have identified a viable treatment option, early detection of silent cerebral strokes should become a major focus for clinicians and families of children with sickle cell disease."

Noetzel treats patients with strokes from sickle cell anemia at St. Louis Children's Hospital. He and his colleagues recommend checking children with sickle cell anemia for silent strokes at least once before they start elementary school. If an MRI scan reveals any such strokes, families and physicians should consider monthly blood transfusions.

Sickle cell anemia affects about 100,000 people in the United States and occurs most commonly in African-Americans. The disease, inherited from both parents, causes some of the patient's red blood cells, normally shaped like a saucer, to take on a crescent or sickle shape. These malformed cells are less effective at their primary job, conveying oxygen from the lungs to the rest of the body. The cells also clump together, blocking circulation and leading to organ damage, strokes and episodes of intense pain.

Sickle-shaped blood cells break down more rapidly than normal blood cells. Researchers believe debris from these cells may clog blood vessels in the brain, causing strokes.

For the new study, scientists at Washington University and 28 other institutions screened sickle cell anemia patients to identify 196 children ages 5 to 15 who already had suffered silent strokes. The scientists gave 99 of those children monthly blood transfusions for three years. Six children went on to have additional silent or overt strokes. In contrast, in the group of 97 children who did not receive monthly transfusions, 14 had additional strokes, a difference that is statistically significant.

"We think the transfusions are helping because they raise the total amount of circulating blood and lower the percentage of sickle-shaped cells in the patient's bloodstream," said coauthor Allison King, MD, assistant professor of pediatrics and of occupational therapy. "Keeping the sickled cells to less than 30 percent of total blood cells seems to be ideal."

The treatments also reduced the occurrence of sickle cell crises — the irregular attacks of acute pain that plague some patients.

Risks from the transfusions include infections, allergic reactions to the donated blood and long-term buildup of excessive iron in the bloodstream from multiple transfusions, which can damage the heart and liver.

"The risk of infection is quite low — we're getting very good at screening our blood supply," King said. "The risk of an allergic reaction can be reduced through better matching of compatibility factors and blood drives to increase the resources available for transfusion."

New techniques, such as erythrocytapheresis, in which donated blood is exchanged with the patient's sickled blood, also can help reduce the risk of iron overload, according to King.

She and her colleagues plan to conduct longer studies of children with sickle cell anemia to see whether regular blood transfusions, stem cell transplants and parenting enrichment interventions prevent declines in cognition.

Editor's note: Washington University coauthor Robert McKinstry has received speaking fees and honoraria from Siemens Healthcare and consulting fees from the Guerbet Group.

Funding for the research came from the National Institute of Neurological Disorders and Stroke (5U01NS042804, 3U01NS042804), the Institute of Clinical and Translational Sciences, the National Center for Research Resources, the National Center for Advancing Translational Sciences, Clinical and Translational Research, the National Institutes of Health (NIH) (UL1TR000448, UL1TR001079, UL1TR000003) and Research and Development in the National Health Service of the United Kingdom.

DeBaun MR, et al. Controlled trial of transfusions for silent cerebral infarcts in sickle cell anemia. The New England Journal of Medicine , online Aug. 20, 2014.

Washington University School of Medicine's 2,100 employed and volunteer faculty physicians also are the medical staff of Barnes-Jewish and St. Louis Children's hospitals. The School of Medicine is one of the leading medical research, teaching and patient-care institutions in the nation, currently ranked sixth in the nation by U.S. News & World Report. Through its affiliations with Barnes-Jewish and St. Louis Children's hospitals, the School of Medicine is linked to BJC HealthCare.

New England Journal of Medicine

Keywords

Article Information

Contact Information

Michael Purdy
purdym@wustl.edu

How to Cite This Article

APA:
WashU Medicine. (2014, August 20). Monthly transfusions reduce strokes in children with sickle cell anemia. Brightsurf News. https://www.brightsurf.com/news/LD5036NL/monthly-transfusions-reduce-strokes-in-children-with-sickle-cell-anemia.html
MLA:
"Monthly transfusions reduce strokes in children with sickle cell anemia." Brightsurf News, Aug. 20 2014, https://www.brightsurf.com/news/LD5036NL/monthly-transfusions-reduce-strokes-in-children-with-sickle-cell-anemia.html.