Bluesky Facebook Reddit Email

Organ crosstalk: Fatty liver can cause damage to other organs

08.18.17 | Deutsches Zentrum fuer Diabetesforschung DZD

SAMSUNG T9 Portable SSD 2TB

SAMSUNG T9 Portable SSD 2TB transfers large imagery and model outputs quickly between field laptops, lab workstations, and secure archives.


Nonalcoholic fatty liver disease is becoming more and more common. Approximately every third adult in the industrialized countries has a morbidly fatty liver. This not only increases the risk of chronic liver diseases (liver cirrhosis and liver cancer), but also in particular type 2 diabetes and cardiovascular diseases. The cause for this is the altered secretion behavior of the fatty liver. It increasingly produces glucose, unfavorable fats and proteins, such as the hepatokine fetuin-A, all of which it releases into the bloodstream. Thus, the secreted substances of the fatty liver enter other organs and trigger reactions there. So far, however, it is not known exactly which effects this "organ crosstalk" has, which organs are most affected, and which "damage" can be caused by the hepatokine fetuin-A.

What effect does the protein fetuin-A, which is produced by the fatty liver, have on the pancreas?

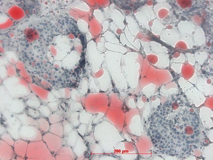
To elucidate the causal mechanisms and the resulting changes, DZD researchers of the Institute for Diabetes Research and Metabolic Diseases (IDM) of Helmholtz Zentrum München at the University of Tübingen studied the influence of fetuin-A on pancreatic adipose tissue. Approximately one-third of the pancreatic adipose tissue consists of adipose precursor cells (a kind of stem cells) in addition to the mature adipose cells. If the pancreatic adipose cells are treated with fetuin-A in cell cultures*, the mature adipose cells - but in particular the adipose precursor cells in interaction with the islet cells - increasingly produce inflammation markers and immune-cell-attracting factors.

In addition, the researchers histologically analyzed tissue samples from 90 patients and found that the proportion of the pancreatic fat varied greatly. The number of defense cells of the immune system (monocytes / macrophages) was significantly increased in areas where many adipose cells had accumulated.

In a cohort of 200 subjects with an increased risk of type 2 diabetes, the pancreatic fat content was measured by means of magnetic resonance imaging and compared with diabetes parameters. It was found that in persons who had already experienced a worsening of blood glucose regulation, an increased pancreatic fatty degeneration was associated with a reduced insulin secretion. The investigations were carried out by Professor Hans Ulrich Häring and the Endocrinology Research Group, together with scientists from the Department of Experimental Radiology at the University of Tübingen.

In summary, these analyses, published in the journals Diabetologia and Diabetes Metab Res Rev , suggest that a fatty liver, together with a fatty degeneration of the pancreas, triggers an increased local immune cell infiltration and inflammation that accelerate the course of the disease.

Fetuin-A leads to pathological changes of the kidney

However, adipose tissue is not harmful per se. It can even have protective effects. For example, adipose tissue located around blood vessels or the kidney has regenerative properties. "The factor that leads to pathological changes is fetuin-A, which is produced by the fatty liver," said Professor Dorothea Siegel-Axel, head of the working group "Adipose Tissue and Complications" in Tübingen. As a result, instead of protecting tissue as before, the adipose tissue now elicits inflammatory processes. This leads to a restriction of renal function. This is demonstrated by studies on arteries and the kidney, which have recently been published by the working group in the journal Scientific Reports (Nature Group).

"The statement that obesity in itself always has a disease-causing effect is too imprecise. Not until further parameters have been determined, such as fatty liver and hepatokine levels, as well as the elicited changes in other organs, can we obtain more exact indications as to whether a person has an increased disease risk or not," said Professor Häring, board member of the DZD and director of the IDM, summarizing the current results.

###

Original publications:

Gerst F. et al. (2017): Metabolic crosstalk between fatty pancreas and fatty liver: effects on local inflammation and insulin secretion. Diabetologia , DOI: 10.1038/s41598-017-02210-4

Wagner R. et al (2017): The protective effect of human renal sinus fat on glomerular cells is reversed by the hepatokine fetuin-A. Scientific Reports , DOI: 10.1038/s41598-017-02210-4

Heni M. et al. (2010): Pancreatic fat is negatively associated with insulin secretion in individuals with impaired fasting glucose and/or impaired glucose tolerance: a nuclear magnetic resonance study. Diabetes Metab Res Rev ;26(3):200-5. DOI: 10.1002/dmrr.1073

* The cells for the cultures were obtained from residual tissue in the course of surgery, which was no longer required for diagnostics and was explicitly released by the patients.

Contact:

Prof. Dr. rer. nat. Dorothea Siegel-Axel
Medical Clinic IV, Dept. of Endocrinology, Diabetology, Angiology, Nephrology and Clinical Chemistry, Tübingen University Hospital (UKT), and the Institute for Diabetes Research and Metabolic
Diseases (IDM) of Helmholtz Zentrum München at the University of Tübingen
Otfried-Müller-Strasse 10
72076 Tübingen /Germany
Phone: +49 (0)7071/29-82906
email: dorothea.axel@med.uni-tuebingen.de

The German Center for Diabetes Research (DZD) is one of six German Centers for Health Research. It brings together experts in the field of diabetes research and integrates basic research, epidemiology, and clinical applications. By adopting an innovative, integrative approach to research, the DZD aims to make a substantial contribution to the successful personalized prevention diagnosis and treatment of diabetes mellitus. The members of the DZD are Helmholtz Zentrum München - German Research Center for Environmental Health, the German Diabetes Center (DDZ) in Düsseldorf, the German Institute of Human Nutrition (DIfE) in Potsdam-Rehbrücke, the Institute of Diabetes Research and Metabolic Diseases of Helmholtz Zentrum München at the University of Tübingen, the Paul Langerhans Institute Dresden of Helmholtz Zentrum München at the Carl Gustav Carus University Hospital of TU Dresden, associated partners at the universities in Heidelberg, Cologne, Leipzig, Lübeck and Munich, and other project partners. http://www.dzd-ev.de/en

The Helmholtz Zentrum München, the German Research Center for Environmental Health, pursues the goal of developing personalized medical approaches for the prevention and therapy of major common diseases such as diabetes and lung diseases. To achieve this, it investigates the interaction of genetics, environmental factors and lifestyle. The Helmholtz Zentrum München is headquartered in Neuherberg in the north of Munich and has about 2,300 staff members. It is a member of the Helmholtz Association, a community of 18 scientific-technical and medical-biological research centers with a total of about 37,000 staff members. http://www.helmholtz-muenchen.de/en

Diabetologia

10.1007/s00125-017-4385-1

Keywords

Article Information

Contact Information

Birgit Niesing
niesing@dzd-ev.de

Source

How to Cite This Article

APA:
Deutsches Zentrum fuer Diabetesforschung DZD. (2017, August 18). Organ crosstalk: Fatty liver can cause damage to other organs. Brightsurf News. https://www.brightsurf.com/news/LK520EW1/organ-crosstalk-fatty-liver-can-cause-damage-to-other-organs.html
MLA:
"Organ crosstalk: Fatty liver can cause damage to other organs." Brightsurf News, Aug. 18 2017, https://www.brightsurf.com/news/LK520EW1/organ-crosstalk-fatty-liver-can-cause-damage-to-other-organs.html.