Bluesky Facebook Reddit Email

A link between Jacobsen syndrome and autism

09.17.14 | San Diego State University

Sony Alpha a7 IV (Body Only)

Sony Alpha a7 IV (Body Only) delivers reliable low-light performance and rugged build for astrophotography, lab documentation, and field expeditions.


SAN DIEGO, Calif. (Sept. 17, 2014)— A rare genetic disorder known as Jacobsen syndrome has been linked with autism, according to a recent joint investigation by researchers at San Diego State University and the University of California, San Diego. In addition to suggesting better treatment options for people with Jacobsen syndrome, the finding also offers more clues into the genetic underpinnings of autism.

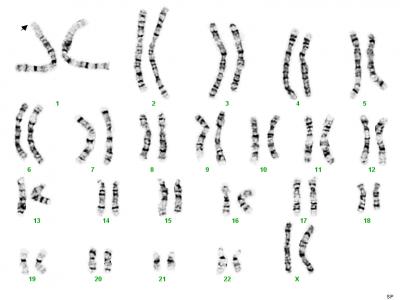
Jacobsen syndrome affects approximately 1 in 100,000 people, according to the National Institutes of Health. It occurs in a person when there is a deletion at the end of one arm of the 11th chromosome, known as an 11q terminal deletion. The symptoms and physiological changes vary, but commonly include intellectual disability, abnormal facial development, structural kidney anomalies and congenital heart defects.

The idea for the recent study arose when UCSD cardiologist Paul Grossfeld, while looking into heart defects associated with the disease, became interested in the cognitive impairments that were so common in this disorder. He reached out SDSU neuropsychologist Sarah Mattson, whose work primarily focuses on the effects of fetal alcohol exposure, and UCSD neuropsychologist Natacha Akshoomoff, an expert in autism.

Familiar symptoms

The researchers quickly recognized a familiar suite of symptoms.

"It became apparent that parents were reporting autism-like features," Mattson said.

To test their theory, the researchers would need a controlled study and a larger sample size, and San Diego was the perfect location to do this.

Every two years, families with children who have Jacobsen syndrome come to San Diego from around the world for the 11q Conference to meet with one another and share the latest findings about the disorder.

"Because Jacobsen syndrome is a pretty rare disorder, the conference is extremely helpful for investigating research questions," Mattson explained.

Mattson, Akshoomoff and Grossfeld recruited 17 children and their parents for the study. They gave the parents behavioral and cognitive questionnaires about their children, and the researchers also observed the children themselves, aided by a diagnostic tool for autism known as the Autism Diagnostic Observation Schedule.

Eight of the 17 children met the criteria for autism spectrum disorder, which is "a much higher rate than the general population," Mattson said. The researchers published their results in the journal Genetics in Medicine .

Early intervention

One of the primary implications for families dealing with Jacobsen syndrome is simply being aware that their children are at a higher risk for autism, Mattson said. Knowing this, they can investigate early intervention treatments to help their children better understand their particular way of seeing and interacting with the world as well as strategies for navigating social situations more easily.

The findings will also be of benefit to autism researchers, Mattson said, as it's another genetic clue to what drives the cognitive differences in people with the disorder.

"We know there are functional genes within that region of the 11th chromosome, some of which are related to brain development," Mattson said. "Knowing this may give researchers more insight into Jacobsen syndrome as well as the development of autism spectrum disorder."

About San Diego State University

San Diego State University is a major public research institution offering bachelor's degrees in 91 areas, master's degrees in 78 areas and doctorates in 22 areas. The university provides transformative experiences, both inside and outside of the classroom, for its 35,000 students. Students participate in research, international experiences, sustainability and entrepreneurship initiatives, and a broad range of student life and leadership opportunities. The university's rich campus life features opportunities for students to participate in, and engage with, the creative and performing arts, a Division I athletics program and the vibrant cultural life of the San Diego region. For more information, visit http://www.sdsu.edu .

Genetics in Medicine

Keywords

Article Information

Contact Information

Source

How to Cite This Article

APA:
San Diego State University. (2014, September 17). A link between Jacobsen syndrome and autism. Brightsurf News. https://www.brightsurf.com/news/LK5ONWG1/a-link-between-jacobsen-syndrome-and-autism.html
MLA:
"A link between Jacobsen syndrome and autism." Brightsurf News, Sep. 17 2014, https://www.brightsurf.com/news/LK5ONWG1/a-link-between-jacobsen-syndrome-and-autism.html.