Bluesky Facebook Reddit Email

Protective effects of dl-3n-butylphthalide against diffuse brain injury

11.26.13 | Neural Regeneration Research

SAMSUNG T9 Portable SSD 2TB

SAMSUNG T9 Portable SSD 2TB transfers large imagery and model outputs quickly between field laptops, lab workstations, and secure archives.


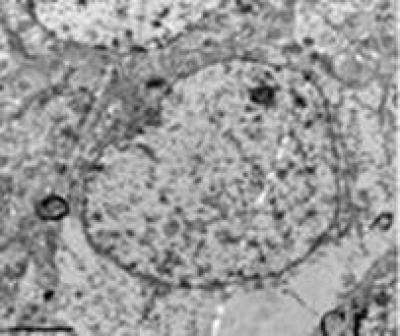
Dl-3n-butylphthalide can effectively treat cerebral ischemia; however, the mechanisms underlying the effects of dl-3n-butylphthalide on microcirculation disorders following diffuse brain injury remain unclear. According to a study by Prof. Jianmin Li and team from Hebei United University of China, models of diffuse brain injury were established in Sprague-Dawley rats with the vertical impact method, and dl-3n-butylphthalide at 80 and 160 mg/kg was given via intraperitoneal injection immediately after diffuse brain injury. After administration of dl-3n-butylphthalide, reduced cerebral ultrastructure damage, increased vascular density and cerebral blood flow, and improved motor and sensory functions were observed. These findings, published in the Neural Regeneration Research (Vol. 8, No. 28, 2013), demonstrate that dl-3n-butylphthalide may have protective effects against diffuse brain injury by ameliorating microcirculation disorder and reducing blood-brain barrier damage and cerebral edema.

Article: " Protective effects of dl-3n-butylphthalide against diffuse brain injury " by Yaning Zhao1, Jianmin Li2, Pan Zhang1, Changxiang Chen1, Shuxing Li1 (1 College of Rehabilitation, Hebei United University, Tangshan 063000, Hebei Province, China; 2 Affiliated Hospital of Hebei United University, Tangshan 063000, Hebei Province, China)

Zhao YN, Li JM, Zhang P, Chen CX, Li SX. Protective effects of dl-3n-butylphthalide against diffuse brain injury. Neural Regen Res. 2013;8(28):2615-2624.

Contact: Meng Zhao
eic@nrren.org
86-138-049-98773
Neural Regeneration Research
http://www.nrronline.org/

Full text: http://www.sjzsyj.org/CN/article/downloadArticleFile.do?attachType=PDF&id=735

Neural Regeneration Research

Keywords

Article Information

Contact Information

Meng Zhao
eic@nrren.org

How to Cite This Article

APA:
Neural Regeneration Research. (2013, November 26). Protective effects of dl-3n-butylphthalide against diffuse brain injury. Brightsurf News. https://www.brightsurf.com/news/LM273RRL/protective-effects-of-dl-3n-butylphthalide-against-diffuse-brain-injury.html
MLA:
"Protective effects of dl-3n-butylphthalide against diffuse brain injury." Brightsurf News, Nov. 26 2013, https://www.brightsurf.com/news/LM273RRL/protective-effects-of-dl-3n-butylphthalide-against-diffuse-brain-injury.html.