Bluesky Facebook Reddit Email

High levels of tau protein linked to poor recovery after brain injury

12.13.11 | WashU Medicine

Apple Watch Series 11 (GPS, 46mm)

Apple Watch Series 11 (GPS, 46mm) tracks health metrics and safety alerts during long observing sessions, fieldwork, and remote expeditions.


High levels of tau protein in fluid bathing the brain are linked to poor recovery after head trauma, according to a study from Washington University School of Medicine in St. Louis and the Fondazione IRCCS Ca Granda-Ospedale Maggiore Policlinico in Milan, Italy.

"We are particularly interested in finding ways to predict prognosis after traumatic brain injury," says senior author David L. Brody, MD, PhD, assistant professor of neurology at Washington University. "Right now, it's very hard to tell who is going to live, who is going to die, who is going to have severe disability and who is going to recover well."

The results, reported online Nov. 23 in the journal Brain, show that initial tau levels in all injured patients are high and drop off over time. Those who had the highest tau levels in the first 12 hours of monitoring had worse outcomes six to 12 months later. Recovery was measured using the eight-category Extended Glasgow Outcome Scale (GOS-E): 1 indicates death, 2 is vegetative state, 3-4 is severe disability, 5-6 is moderate disability, and 7-8 is good recovery.

"If we can identify early who is likely to have a poor outcome, we can design better clinical trials that don't include those patients who are going to do fine," he says.

Brody says the correlation between high tau levels and worse outcome is not perfect, at 0.6 (with a perfect correlation being 1 and no correlation being 0), but they found it to be a better predictor of recovery than markers currently used, including measures of glucose, glutamate and the ratio of lactate to pyruvate in the brain.

Tau is part of the cellular scaffolding that supports and protects the brain's nerve cells, especially the cells' long, thin "wires" known as axons that connect different parts of the brain. Abnormal tau protein that forms clumps called "tangles" is also a marker of some forms of dementia, including Alzheimer's disease.

To fill its structural role, tau is inside nerve cells. Therefore, Brody and his colleagues suspected that the amount of tau outside the cells, in the fluid bathing the brain's neurons, might be a good indicator of how badly brain axons are damaged after a head injury.

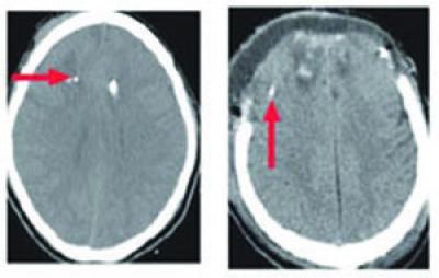
The researchers studied 16 patients with traumatic brain injury and used a technique called microdialysis to monitor tau levels in the brain every one to two hours. Microdialysis involves inserting a thin tube called a catheter into the brain to collect fluid samples. In this study, the catheter was always placed in conjunction with another procedure deemed necessary for the patient's care, such as implanting a device to measure cranial pressure.

CT scans of the patients' brains guided catheter placement. In some patients the location of the injury was obvious and the catheter was placed nearby. In others, no injury was apparent on the scan and the catheters were simply placed in the same consistent location.

None of the 16 patients in the study died as a result of the brain trauma, though one died from unrelated causes about two months after the injury and was not included in the final analysis. In addition, no patient was in a persistent vegetative state at the six-month assessment of outcome (a GOS-E of 2).

Of the 10 patients with a GOS-E of 3 or 4 (lower and upper severe disability), seven had initial tau levels above 10,000 picograms per milliliter. Not fitting the pattern, the remaining three had levels below 10,000. The patient with a GOS-E of 5 (lower moderate disability) was just above the 10,000 mark. Of the four patients with a GOS-E of 6 or 7 (upper moderate disability and lower good recovery), all four had initial tau levels below 10,000. No patient received a GOS-E of 8 (upper good recovery).

Though initial tau levels predicted recovery in the surviving 15 patients better than current clinical measures, Brody says the results need to be confirmed in a larger study that controls for such variables as age and type of injury.

But if confirmed, measuring tau levels by microdialysis could become an additional tool for clinicians assessing brain injury. According to Brody, microdialysis provides some information that imaging does not, including changes over time. Microdialysis is also possible in severely injured patients who can't be moved to a scanner. But microdialysis only samples a small area, while images provide a view of the whole brain.

"Imaging and microdialysis have strengths and weaknesses that complement each other," Brody says. "Ongoing work with our collaborators in Italy is to assess axonal injury with both specialized imaging and microdialysis in the same patients."

Magnoni S, Esparza TJ, Conte V, Carbonara M, Carrabba G, Holtzman DM, Zipfel GJ, Stocchetti N, Brody DL. Tau elevations in the brain extracellular space correlate with reduced amyloid-beta levels and predict adverse clinical outcomes after severe traumatic brain injury. Brain . Nov. 2011.

This work was supported by the Burroughs Wellcome Career Award in the Biomedical Sciences, the National Institutes of Health (NIH) and the Fondazione IRCCS Ca Granda-Ospedale Maggiore Policlinico.

Washington University School of Medicine's 2,100 employed and volunteer faculty physicians also are the medical staff of Barnes-Jewish and St. Louis Children's hospitals. The School of Medicine is one of the leading medical research, teaching and patient care institutions in the nation, currently ranked fourth in the nation by U.S. News & World Report. Through its affiliations with Barnes-Jewish and St. Louis Children's hospitals, the School of Medicine is linked to BJC HealthCare.

Brain

Keywords

Article Information

Contact Information

Julia Strait
Washington University School of Medicine
straitj@wusm.wustl.edu

Source

How to Cite This Article

APA:
WashU Medicine. (2011, December 13). High levels of tau protein linked to poor recovery after brain injury. Brightsurf News. https://www.brightsurf.com/news/LM2EM24L/high-levels-of-tau-protein-linked-to-poor-recovery-after-brain-injury.html
MLA:
"High levels of tau protein linked to poor recovery after brain injury." Brightsurf News, Dec. 13 2011, https://www.brightsurf.com/news/LM2EM24L/high-levels-of-tau-protein-linked-to-poor-recovery-after-brain-injury.html.