Bluesky Facebook Reddit Email

Brain hemorrhage detection by artificial neural network

10.21.19 | Proceedings of the National Academy of Sciences

GQ GMC-500Plus Geiger Counter

GQ GMC-500Plus Geiger Counter logs beta, gamma, and X-ray levels for environmental monitoring, training labs, and safety demonstrations.


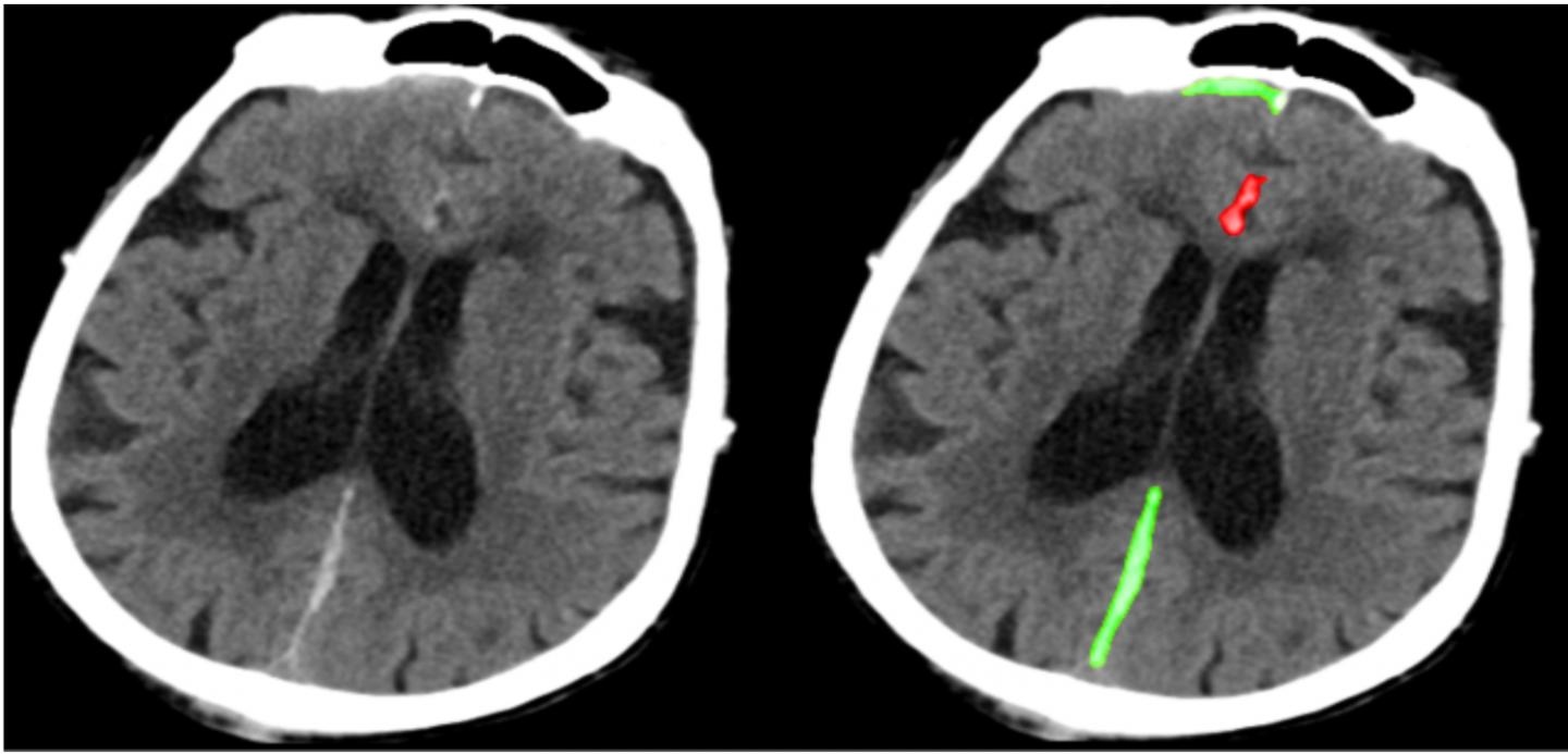
Researchers report an algorithm that could potentially improve diagnosis of neurological emergencies. Computed tomography (CT) scans of the head are used to rapidly identify conditions such as traumatic brain injuries, strokes, and ruptured aneurysms. To interpret such images, trained human experts search for often tiny and subtle abnormalities in a noisy, low-contrast 3D stack of grayscale images containing a large number of pixels. Jitendra Malik, Esther Yuh, and colleagues developed a neural network, PatchFCN, and trained the network on 4,396 CT scans to detect abnormalities with accuracy similar to that of human experts. The algorithm, which rapidly evaluates the entire head, was benchmarked against 4 US board-certified radiologists. On a test sample of 200 scans, the authors report, PatchFCN performed with similar accuracy to radiologists, in some cases identifying abnormalities missed by the radiologists. According to the authors, the algorithm displays high accuracy as well as the ability to perform pixel-level delineation of abnormalities and to classify abnormalities into different pathological subtypes.

Article #19-08021: "Expert-level detection of acute intracranial hemorrhage on head computed tomography using deep learning," by Weicheng Kuo, Christian H?ne, Pratik Mukherjee, Jitendra Malik, and Esther L. Yuh.

MEDIA CONTACT: Jitendra Malik, University of California, Berkeley, CA; email: malik@eecs.berkeley.edu ; Esther Yuh, University of California, San Francisco; email: esther.yuh@ucsf.edu

###

Proceedings of the National Academy of Sciences

Keywords

Article Information

Contact Information

How to Cite This Article

APA:
Proceedings of the National Academy of Sciences. (2019, October 21). Brain hemorrhage detection by artificial neural network. Brightsurf News. https://www.brightsurf.com/news/LM2KK74L/brain-hemorrhage-detection-by-artificial-neural-network.html
MLA:
"Brain hemorrhage detection by artificial neural network." Brightsurf News, Oct. 21 2019, https://www.brightsurf.com/news/LM2KK74L/brain-hemorrhage-detection-by-artificial-neural-network.html.