Bluesky Facebook Reddit Email

NIH/NINDS: Researchers connect brain blood vessel lesions to intestinal bacteria

05.18.17 | NIH/National Institute of Neurological Disorders and Stroke

Davis Instruments Vantage Pro2 Weather Station

Davis Instruments Vantage Pro2 Weather Station offers research-grade local weather data for networked stations, campuses, and community observatories.


A study in mice and humans suggests that bacteria in the gut can influence the structure of the brain's blood vessels, and may be responsible for producing malformations that can lead to stroke or epilepsy. The research, published in Nature , adds to an emerging picture that connects intestinal microbes and disorders of the nervous system. The study was funded by the National Institute of Neurological Disorders and Stroke (NINDS), a part of the National Institutes of Health (NIH).

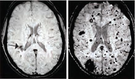
Cerebral cavernous malformations (CCMs) are clusters of dilated, thin-walled blood vessels that can lead to seizures or stroke when blood leaks into the surrounding brain tissue. A team of scientists at the University of Pennsylvania investigated the mechanisms that cause CCM lesions to form in genetically engineered mice and discovered an unexpected link to bacteria in the gut. When bacteria were eliminated the number of lesions was greatly diminished.

"This study is exciting because it shows that changes within the body can affect the progression of a disorder caused by a genetic mutation," said Jim I. Koenig, Ph.D., program director at NINDS.

The researchers were studying a well-established mouse model that forms a significant number of CCMs following the injection of a drug to induce gene deletion. However, when the animals were relocated to a new facility, the frequency of lesion formation decreased to almost zero.

"It was a complete mystery. Suddenly, our normally reliable mouse model was no longer forming the lesions that we expected," said Mark L. Kahn, M.D., professor of medicine at the University of Pennsylvania, and senior author of the study. "What's interesting is that this variability in lesion formation is also seen in humans, where patients with the same genetic mutation often have dramatically different disease courses."

While investigating the cause of this sudden variability, Alan Tang, a graduate student in Dr. Kahn's lab, noticed that the few mice that continued to form lesions had developed bacterial abscesses in their abdomens--infections that most likely arose due to the abdominal drug injections. The abscesses contained Gram-negative bacteria, and when similar bacterial infections were deliberately induced in the CCM model animals, about half of them developed significant CCMs.

"The mice that formed CCMs also had abscesses in their spleens, which meant that the bacteria had entered the bloodstream from the initial abscess site," said Tang. "This suggested a connection between the spread of a specific type of bacteria through the bloodstream and the formation of these blood vascular lesions in the brain."

The question remained as to how bacteria in the blood could influence blood vessel behavior in the brain. Gram-negative bacteria produce molecules called lipopolysaccharides (LPS) that are potent activators of innate immune signaling. When the mice received injections of LPS alone, they formed numerous large CCMs, similar to those produced by bacterial infection. Conversely, when the LPS receptor, TLR4, was genetically removed from these mice they no longer formed CCM lesions. The researchers also found that, in humans, genetic mutations causing an increase in TLR4 expression were associated with a greater risk of forming CCMs.

"We knew that lesion formation could be driven by Gram-negative bacteria in the body through LPS signaling," said Kahn. "Our next question was whether we could prevent lesions by changing the bacteria in the body."

The researchers explored changes to the body's bacteria (microbiome) in two ways. First, newborn CCM mice were raised in either normal housing or under germ-free conditions. Second, these mice were given a course of antibiotics to "reset" their microbiome. In both the germ-free conditions and following the course of antibiotics, the number of lesions was significantly reduced, indicating that both the quantity and quality of the gut microbiome could affect CCM formation. Finally, a drug that specifically blocks TLR4 also produced a significant decrease in lesion formation. This drug has been tested in clinical trials for the treatment of sepsis, and these findings suggest a therapeutic potential for the drug in the treatment of CCMs, although considerable research remains to be done.

"These results are especially exciting because they show that we can take findings in the mouse and possibly apply them at the human patient population," said Koenig. "The drug used to block TLR4 has already been tested in patients for other conditions, and it may show therapeutic potential in the treatment of CCMs, although considerable research still remains to be done."

Kahn and his colleagues plan to continue to study the relationship between the microbiome and CCM formation, particularly as it relates to human disease. Although specific gene mutations have been identified in humans that can cause CCMs to form, the size and number varies widely among patients with the same mutations. The group next aims to test the hypothesis that differences in the patients' microbiomes could explain this variability in lesion number.

###

This work was supported by the NINDS (NS092521, NS075168, NS100252, NS065705), the National Heart, Lung, and Blood Institute (HL094326, HL07439), NIDDK (DK007780), the DFG (German Research Foundation), Penn-CHOP, and the National Health and Medical Research Council, Australia.

Article:

Tang et al. Endothelial TLR4 and the microbiome drive cerebral cavernous malformations. Nature. May 10, 2017.

Learn More: http://www.ninds.nih.gov/Disorders/All-Disorders/Cerebral-Cavernous-Malformation-Information-Page

http://www.ninds.nih.gov

The NINDS is the nation's leading funder of research on the brain and nervous system. The mission of NINDS is to seek fundamental knowledge about the brain and nervous system and to use that knowledge to reduce the burden of neurological disease.

Part of the National Institutes of Health, the National Heart, Lung, and Blood Institute (NHLBI) plans, conducts, and supports research related to the causes, prevention, diagnosis, and treatment of heart, blood vessel, lung, and blood diseases; and sleep disorders. The Institute also administers national health education campaigns on women and heart disease, healthy weight for children, and other topics. NHLBI press releases and other materials are available online at http://www.nhlbi.nih.gov .

The NIDDK conducts and supports research on diabetes and other endocrine and metabolic diseases; digestive diseases, nutrition, and obesity; and kidney, urologic, and hematologic diseases. Spanning the full spectrum of medicine and afflicting people of all ages and ethnic groups, these diseases encompass some of the most common, severe, and disabling conditions affecting Americans. For more information about the NIDDK and its programs, visit http://www.niddk.nih.gov .

About the National Institutes of Health (NIH): NIH, the nation's medical research agency, includes 27 Institutes and Centers and is a component of the U.S. Department of Health and Human Services. NIH is the primary federal agency conducting and supporting basic, clinical, and translational medical research, and is investigating the causes, treatments, and cures for both common and rare diseases. For more information about NIH and its programs, visit http://www.nih.gov .

Nature

10.1038/nature22075

Keywords

Article Information

Contact Information

Carl Wonders
NIH/National Institute of Neurological Disorders and Stroke
carl.wonders@nih.gov

Source

How to Cite This Article

APA:
NIH/National Institute of Neurological Disorders and Stroke. (2017, May 18). NIH/NINDS: Researchers connect brain blood vessel lesions to intestinal bacteria. Brightsurf News. https://www.brightsurf.com/news/LM2NKD4L/nihninds-researchers-connect-brain-blood-vessel-lesions-to-intestinal-bacteria.html
MLA:
"NIH/NINDS: Researchers connect brain blood vessel lesions to intestinal bacteria." Brightsurf News, May. 18 2017, https://www.brightsurf.com/news/LM2NKD4L/nihninds-researchers-connect-brain-blood-vessel-lesions-to-intestinal-bacteria.html.