Bluesky Facebook Reddit Email

The maize ZmCPK39-ZmKnox2 module regulates plant height

03.20.24 | Beijing Zhongke Journal Publising Co. Ltd.

Apple iPhone 17 Pro

Apple iPhone 17 Pro delivers top performance and advanced cameras for field documentation, data collection, and secure research communications.


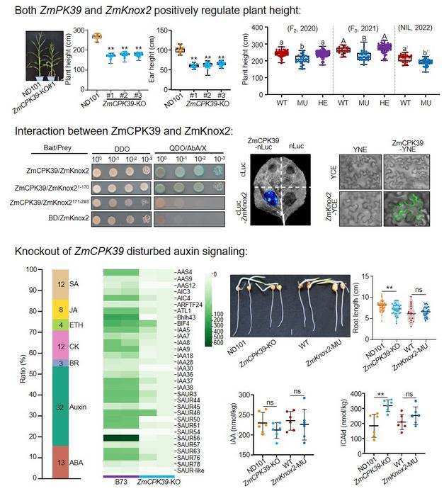
This study was led by Professor Mingliang Xu ( College of Agronomy and Biotechnology, China Agricultural University, Beijing, China ). Through phylogenic analysis, the authors identified a gene encoding a calcium-dependent protein kinase, ZmCPK39, as a candidate gene for plant height regulation in maize. The function of ZmCPK39 in controlling plant height has been verified using gene editing technology. Compared to the wild-type ND101, knockout of ZmCPK39 significantly reduced plant height by 40%.

The authors further identified a Knotted1-like homeobox protein, ZmKnox2, which interacts with ZmCPK39, using a yeast two-hybrid assay. The interaction between ZmCPK39 and ZmKnox2 has been validated by split-luciferase complementation and bimolecular fluorescence complementation assays. Importantly, the Mutator -induced ZmKnox2 mutant exhibited lower plant height than wild-type lines.

Through transcriptomic analysis, the authors found that the differentially expressed genes in both ZmCPK39 knockout lines and ZmKnox2 mutants were significantly enriched in photosynthesis and carbon metabolism pathways. Surprisingly, the authors observed that differentially expressed genes related to plant hormones were largely enriched in the ZmCPK39 knockout lines, but not in the ZmKnox2 mutants. Furthermore, most of these genes were involved in auxin signaling. Compared with the wild-type ND101, the ZmCPK39 knockout line had slightly lower IAA levels, while had significantly higher IAA derivative contents. In summary, this work highlights ZmCPK39 and ZmKnox2 as two potential targets for breeding dwarf or semi-dwarf varieties using genome editing technology.

See the article:

T he maize ZmCPK39-Z m Knox2 module regulates plant height

https://link.springer.com/article/10.1007/s42994-024-00150-y

aBIOTECH

10.1007/s42994-024-00150-y

The maize ZmCPK39-ZmKnox2 module regulates plant height

15-Mar-2024

Keywords

Article Information

Contact Information

LIngshu Qian
Beijing Zhongke Journal Publising Co. Ltd.
zhongkeqikan@mail.sciencep.com

How to Cite This Article

APA:
Beijing Zhongke Journal Publising Co. Ltd.. (2024, March 20). The maize ZmCPK39-ZmKnox2 module regulates plant height. Brightsurf News. https://www.brightsurf.com/news/LN2ZMME1/the-maize-zmcpk39-zmknox2-module-regulates-plant-height.html
MLA:
"The maize ZmCPK39-ZmKnox2 module regulates plant height." Brightsurf News, Mar. 20 2024, https://www.brightsurf.com/news/LN2ZMME1/the-maize-zmcpk39-zmknox2-module-regulates-plant-height.html.