Bluesky Facebook Reddit Email

Neuronal activation by acupuncture at Yongquan and sham acupoints for DOC: A PET study

05.16.14 | Neural Regeneration Research

SAMSUNG T9 Portable SSD 2TB

SAMSUNG T9 Portable SSD 2TB transfers large imagery and model outputs quickly between field laptops, lab workstations, and secure archives.


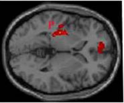
Acupuncture is a traditional Chinese medicine technique that is often used to help improve the level of consciousness in patients with disorder of consciousness (DOC). However, the responses to stimulation of acupoints in patients with DOC are not fully understood. Hao Zhang and colleagues from China Rehabilitation Research Center found that acupuncture at the Yongquan acupoints induced stronger neuronal activity than acupuncture at the sham acupoints shown on positron emission tomography (PET). These researchers believe that acupuncture at the Yongquan acupoints may increase synaptic activity in some areas of the brain. The putamen, cingulate cortex, frontal lobe and cerebellum are involved in conscious thought. This may explain the mechanism by which acupuncture at the Yongquan acupoints results in improvement of patients with DOC. These finding have been published in the Neural Regeneration Research (Vol. 9, No. 5, 2014).

Article: " Neuronal activation by acupuncture at Yongquan (KI1) and sham acupoints in patients with disorder of consciousness: a positron emission tomography study," by Hao Zhang1, Xinting Sun1, Sujuan Liu2, Yingmao Chen3, Feng Ling4 (1 Department of Neurorehabilitation, China Rehabilitation Research Center, Beijing, China; 2 Department of Hyperbaric Oxygen, Fuxing Hospital, Beijing, China; 3 Department of Nuclear Medicine, Chinese PLA General Hospital, Beijing, China; 4 Department of Neurosurgery, Xuanwu Hospital, Capital Medical University, Beijing, China)

Zhang H, Sun XT, Liu SJ, Chen YM, Ling F. Neuronal activation by acupuncture at Yongquan (KI1) and sham acupoints in patients with disorder of consciousness: a positron emission tomography study. Neural Regen Res . 2014;9(5):500-501.

Contact: Meng Zhao
eic@nrren.org
86-138-049-98773
Neural Regeneration Research
http://www.nrronline.org/

Neural Regeneration Research

Keywords

Article Information

Contact Information

Meng Zhao
eic@nrren.org

How to Cite This Article

APA:
Neural Regeneration Research. (2014, May 16). Neuronal activation by acupuncture at Yongquan and sham acupoints for DOC: A PET study. Brightsurf News. https://www.brightsurf.com/news/LNMPGVY1/neuronal-activation-by-acupuncture-at-yongquan-and-sham-acupoints-for-doc-a-pet-study.html
MLA:
"Neuronal activation by acupuncture at Yongquan and sham acupoints for DOC: A PET study." Brightsurf News, May. 16 2014, https://www.brightsurf.com/news/LNMPGVY1/neuronal-activation-by-acupuncture-at-yongquan-and-sham-acupoints-for-doc-a-pet-study.html.