Bluesky Facebook Reddit Email

Basel researchers succeed in cultivating cartilage from stem cells

04.16.18 | University of Basel

AmScope B120C-5M Compound Microscope

AmScope B120C-5M Compound Microscope supports teaching labs and QA checks with LED illumination, mechanical stage, and included 5MP camera.


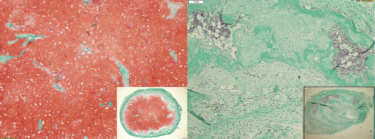
Stable joint cartilage can be produced from adult stem cells originating from bone marrow. This is made possible by inducing specific molecular processes occurring during embryonic cartilage formation, as researchers from the University and University Hospital of Basel report in the scientific journal PNAS .

Certain mesenchymal stem/stromal cells from the bone marrow of adults are considered extremely promising for skeletal tissue regeneration. These adult stem cells usually develop into cartilage tissue which later naturally remodels into bone tissue. Even if the stem cells are induced to differentiate into cartilage cells, they spontaneously mature into a so-called "hypertrophic" state, ultimately leading to the formation of bone tissue; this is similar to the cartilaginous tissue temporarily formed after a fracture.

Inhibiting signaling pathways

Prof. Dr. Ivan Martin's research group at the Department of Biomedicine has now been able to demonstrate that by forcing certain molecular events occurring during the embryonic development of articular cartilage it is possible to generate stable cartilage tissue from adult human mesenchymal stem cells. This can be achieved by inhibiting the signaling pathway of a specific protein (Bone Morphogenetic Protein, BMP). The Basel team generated these results after many years of cooperation with the Novartis Institutes for Biomedical Research, which produced and supplied the inhibitors.

Specifically, the scientists investigated two highly specific BMP receptor inhibitors in a special device (microfluid platform) developed in cooperation with Politecnico di Milano. With the use of this new technology, they were able to show that the temporary blocking of specific BMP receptors ­- even if only for a limited time - is sufficient to maintain stable cartilage tissue, both in the laboratory and in a mouse model.

Embryonic cartilage formation as a model

These results open new perspectives in the regeneration of articular cartilage as well as in the establishment of stem cell-based models of cartilage development, physiology, and possibly pathology. "Importantly, we have achieved our insights by mimicking molecular processes occurring during embryonic cartilage formation," says Ivan Martin. This confirms the vital role of "developmental engineering," in which natural processes are mimicked to control the development and specification of adult stem and progenitor cells.

###

Proceedings of the National Academy of Sciences

10.1073/pnas.1720658115

Keywords

Article Information

Contact Information

How to Cite This Article

APA:
University of Basel. (2018, April 16). Basel researchers succeed in cultivating cartilage from stem cells. Brightsurf News. https://www.brightsurf.com/news/LP2GYDNL/basel-researchers-succeed-in-cultivating-cartilage-from-stem-cells.html
MLA:
"Basel researchers succeed in cultivating cartilage from stem cells." Brightsurf News, Apr. 16 2018, https://www.brightsurf.com/news/LP2GYDNL/basel-researchers-succeed-in-cultivating-cartilage-from-stem-cells.html.