Bluesky Facebook Reddit Email

Effects of fetal alcohol exposure

04.20.20 | Proceedings of the National Academy of Sciences

SAMSUNG T9 Portable SSD 2TB

SAMSUNG T9 Portable SSD 2TB transfers large imagery and model outputs quickly between field laptops, lab workstations, and secure archives.


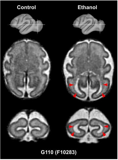
A study in monkeys finds that exposure to alcohol early in gestation affects the development of brain regions involved in motor control. Early intervention for infants suffering from fetal alcohol syndrome can reduce long-term cognitive and behavioral impacts. Recent advances in motion correction have improved the quality and resolution of 3D MRI of the fetal brain. Using in utero MRI, Xiaojie Wang and colleagues found that exposure to alcohol in the first trimester affects the development of brain regions involved in motor control in rhesus macaques. The authors examined a group of 28 female macaques. Fourteen of the macaques consumed 1.5 g of alcohol per kilogram of body weight per day. At three time-points during gestation, the authors used in utero MRI to image the fetal brains, immediately followed by electrophysiological assays of brain activity. Total brain volumes of ethanol-exposed and control fetuses did not differ. In the human equivalent of the third trimester, however, both the cerebellum and brain stem regions in the ethanol-exposed fetuses were smaller, and motor-related white matter maturation was altered, compared with controls. Electrophysiological recordings suggested that the differences are functionally significant. According to the authors, noninvasive in utero MRI may be sufficiently sensitive to be developed as a diagnostic tool for fetal alcohol syndrome as early as the third trimester.

ARTICLE #19-19048: "In utero MRI identifies consequences of early-gestation alcohol drinking on fetal brain development in rhesus macaques," by Xiaojie Wang et al.

MEDIA CONTACT: Christopher D. Kroenke, Oregon Health & Science University, Portland, OR; e-mail: kroenkec@ohsu.edu

###

Proceedings of the National Academy of Sciences

Keywords

Article Information

Contact Information

Christopher D. Kroenke
kroenkec@ohsu.edu

How to Cite This Article

APA:
Proceedings of the National Academy of Sciences. (2020, April 20). Effects of fetal alcohol exposure. Brightsurf News. https://www.brightsurf.com/news/LPE6XGO8/effects-of-fetal-alcohol-exposure.html
MLA:
"Effects of fetal alcohol exposure." Brightsurf News, Apr. 20 2020, https://www.brightsurf.com/news/LPE6XGO8/effects-of-fetal-alcohol-exposure.html.