Bluesky Facebook Reddit Email

Improving cognitive impairments in Alzheimer's- the BDNF gene therapy way

02.03.26 | Compuscript Ltd

Aranet4 Home CO2 Monitor

Aranet4 Home CO2 Monitor tracks ventilation quality in labs, classrooms, and conference rooms with long battery life and clear e-ink readouts.


A study published in Genes & Diseases reports that researchers from East China University of Science and Technology, Belief Biomed Inc, and Yunnan University engineered a novel viral vector, AAVT42 that efficiently delivers therapeutic genes to the brain, restoring memory and protecting neuronal structures in multiple models of Alzheimer’s disease.

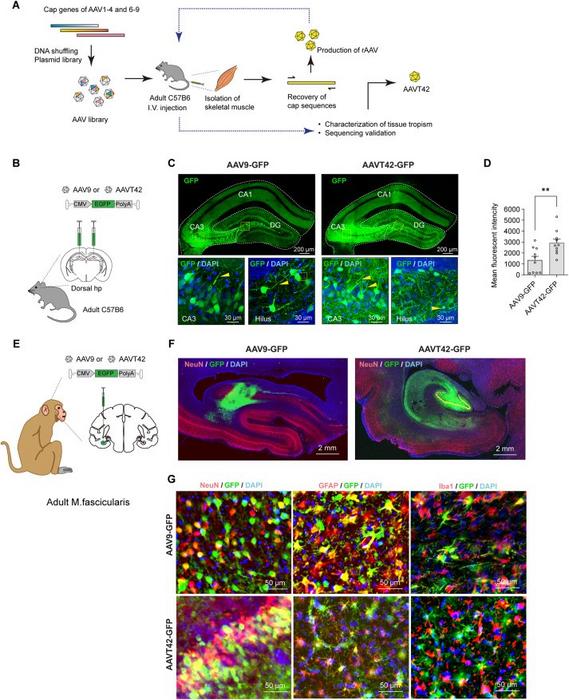
The research team utilized directed evolution to develop AAVT42, a recombinant adeno-associated virus (rAAV) with a high affinity for neurons. Unlike standard vectors that often "leak" into non-neuronal cells, the AAVT42 vector demonstrated superior neuronal tropism, widespread hippocampal distribution, and a robust safety profile.

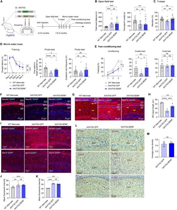
The researchers used the AAVT42 vector to deliver BDNF directly into the hippocampus of three different Alzheimer’s mouse models - amyloid precursor protein/presenilin-1 (APP/PS1), rTg4510, and 3 × Tg - covering a range of pathologies, including amyloid-beta plaques and tau tangles, and in aged cynomolgus monkey models. In all of these models, BDNF treatment was shown to achieve a significant cognitive rescue, restoring spatial working memory and learning abilities as evidenced by improved performance in the Morris water maze and Barnes maze tests. The treatment also facilitated structural repair by restoring dendritic complexity and stabilizing MAP-2, a critical protein that maintains the communication branches of neurons damaged by neurodegeneration.

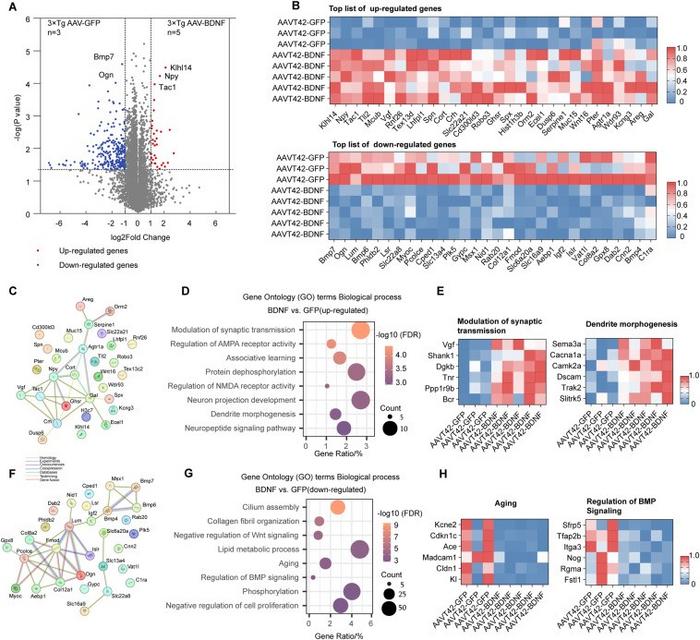
High-throughput RNA sequencing revealed that BDNF drives these improvements by suppressing the harmful BMP signaling pathway, leading to the up-regulation of genes essential for synaptic plasticity, memory formation, and dendritic morphogenesis, such as Vgf and Shank1 . Together, these findings demonstrate that AAVT42-mediated BDNF delivery effectively repairs the physical and molecular architecture of the brain, offering neuroprotection against Alzheimer's disease pathology.

Similar results were observed in aged cynomolgus monkeys. The vector achieved extensive and specific neuronal transduction without triggering adverse immune responses or neuroinflammation - the two major hurdles in central nervous system gene therapy. These findings suggest that "the high transduction efficiency of AAVT42, combined with its safer profile in aged primates, facilitates its potential application in future clinical trials for neurological disorders."

This study concludes that local, high-efficiency delivery of BDNF via AAVT42 offers a robust strategy for early-stage intervention, potentially mitigating the cognitive decline associated with Alzheimer’s and other neurodegenerative disorders.

# # # # # #

Genes & Diseases publishes rigorously peer-reviewed and high quality original articles and authoritative reviews that focus on the molecular bases of human diseases. Emphasis is placed on hypothesis-driven, mechanistic studies relevant to pathogenesis and/or experimental therapeutics of human diseases. The journal has worldwide authorship, and a broad scope in basic and translational biomedical research of molecular biology, molecular genetics, and cell biology, including but not limited to cell proliferation and apoptosis, signal transduction, stem cell biology, developmental biology, gene regulation and epigenetics, cancer biology, immunity and infection, neuroscience, disease-specific animal models, gene and cell-based therapies, and regenerative medicine.

Scopus CiteScore: 8.4

Impact Factor: 9.4

More information: https://www.keaipublishing.com/en/journals/genes-and-diseases/

Editorial Board: https://www.keaipublishing.com/en/journals/genes-and-diseases/editorial-board/

All issues and articles in press are available online in ScienceDirect ( https://www.sciencedirect.com/journal/genes-and-diseases ).

Submissions to Genes & Diseases may be made using Editorial Manager ( https://www.editorialmanager.com/gendis/default.aspx ).

Print ISSN: 2352-4820

eISSN: 2352-3042

CN: 50-1221/R

Contact Us: editor@genesndiseases.cn

X (formerly twitter): @GenesNDiseases ( https://x.com/GenesNDiseases )

Genes & Diseases

10.1016/j.gendis.2025.101649

Keywords

Article Information

Contact Information

Conor Lovett
Compuscript Ltd
c.lovett@cvia-journal.org

How to Cite This Article

APA:
Compuscript Ltd. (2026, February 3). Improving cognitive impairments in Alzheimer's- the BDNF gene therapy way. Brightsurf News. https://www.brightsurf.com/news/LPENWJK8/improving-cognitive-impairments-in-alzheimers-the-bdnf-gene-therapy-way.html
MLA:
"Improving cognitive impairments in Alzheimer's- the BDNF gene therapy way." Brightsurf News, Feb. 3 2026, https://www.brightsurf.com/news/LPENWJK8/improving-cognitive-impairments-in-alzheimers-the-bdnf-gene-therapy-way.html.