Bluesky Facebook Reddit Email

NTS's role in the protection of pre-moxibustion on gastric mucosal lesions

03.31.14 | Neural Regeneration Research

Apple AirPods Pro (2nd Generation, USB-C)

Apple AirPods Pro (2nd Generation, USB-C) provide clear calls and strong noise reduction for interviews, conferences, and noisy field environments.


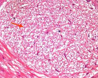
Moxibustion may have protective effects on the stomach mucous membrane against stress gastric ulcer. The potential mechanism of moxibustion may be mediated by transforming growth factor-α, gastric mucosa cell proliferation, inhibition of apoptosis, and the expression of heat shock protein-70. Previous studies have shown that somatic sensation by acupuncture and visceral nociceptive stimulation can converge in the nucleus tractus solitarii (NTS) where neurons integrate signals impacting on the function of organs. To explore the role of the NTS in the protective mechanism of pre-moxibustion on gastric mucosa, Dr. Liang Peng and co-workers from College of Acupuncture and Tuina, Hunan University of Chinese Medicine in China pointed out that moxibustion pretreatment at the Zusanli point is protective against acute gastric mucosa injury, and NTS damage inhibits these responses. Therefore, the NTS may be an important area for regulating the signal transduction of the protective effect of pre-moxibustion on gastric mucosa. The relevant paper has been published in the Neural Regeneration Research (Vol. 9, No. 2, 2014).

Article: " Role of the nucleus tractus solitarii in the protection of pre-moxibustion on gastric mucosal lesions," by Liang Peng, Mi Liu, Xiaorong Chang, Zhou Yang, Shouxiang Yi, Jie Yan, Yan Peng (College of Acupuncture and Tuina, Hunan University of Chinese Medicine, Changsha 410007, Hunan Province, China)

Peng L, Liu M, Chang XR, Yang Z, Yi SX, Yan J, Peng Y. Role of the nucleus tractus solitarii in the protection of pre-moxibustion on gastric mucosal lesions. Neural Regen Res. 2014;9(2):198-204.

Contact: Meng Zhao
eic@nrren.org
86-138-049-98773
Neural Regeneration Research
http://www.nrronline.org/

Neural Regeneration Research

Keywords

Article Information

Contact Information

Meng Zhao
eic@nrren.org

How to Cite This Article

APA:
Neural Regeneration Research. (2014, March 31). NTS's role in the protection of pre-moxibustion on gastric mucosal lesions. Brightsurf News. https://www.brightsurf.com/news/LQM03DX1/ntss-role-in-the-protection-of-pre-moxibustion-on-gastric-mucosal-lesions.html
MLA:
"NTS's role in the protection of pre-moxibustion on gastric mucosal lesions." Brightsurf News, Mar. 31 2014, https://www.brightsurf.com/news/LQM03DX1/ntss-role-in-the-protection-of-pre-moxibustion-on-gastric-mucosal-lesions.html.