Bluesky Facebook Reddit Email

Differences in brain structure in patients with distinct sites of chronic pain

01.02.14 | Neural Regeneration Research

Apple Watch Series 11 (GPS, 46mm)

Apple Watch Series 11 (GPS, 46mm) tracks health metrics and safety alerts during long observing sessions, fieldwork, and remote expeditions.


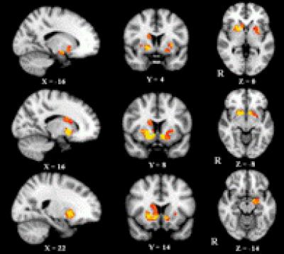
Accumulating evidence indicates that chronic pain of different etiologies is often associated with distinct gray matter volume reductions in multiple brain regions associated with acute pain processing, and gray matter atrophy critically affects the perception and modulation of chronic pain. Dr. Cuiping Mao and co-workers from Xi'an Jiaotong University in China investigated changes in gray matter volume in chronic back pain patients having different sites of pain using voxel-based morphometry. Their findings suggest that regional gray matter volume abnormalities in low back pain patients are more extensive than in upper back pain patients. Subcortical gray matter volume increases are found only in patients with low back pain. The gray matter volume increase in the basal ganglia of low back pain patients might be a reflection of the adaptation of neurons. The relevant article was published in the Neural Regeneration Research (Vol. 8, No. 32, 2013).

Article: " Differences in brain structure in patients with distinct sites of chronic pain: a voxel-based morphometric analysis," by Cuiping Mao1, Longxiao Wei1, Qiuli Zhang1, Xia Liao2, Xiaoli Yang2, Ming Zhang1 (1 Department of Radiology, the First Affiliated Hospital, School of Medicine, Xi'an Jiaotong University, Xi'an 710061, Shaanxi Province, China; 2 Department of Pain, the First Affiliated Hospital, School of Medicine, Xi'an Jiaotong University, Xi'an 710061, Shaanxi Province, China)

Mao CP, Wei LX, Zhang QL, Liao X, Yang XL, Zhang M. Differences in brain structure in patients with distinct sites of chronic pain: a voxel-based morphometric analysis. Neural Regen Res . 2013;8(32):2981-2990.

Contact:

Meng Zhao
eic@nrren.org
86-138-049-98773
Neural Regeneration Research
http://www.nrronline.org/

Full text:

Neural Regeneration Research

Keywords

Article Information

Contact Information

Meng Zhao
eic@nrren.org

How to Cite This Article

APA:
Neural Regeneration Research. (2014, January 2). Differences in brain structure in patients with distinct sites of chronic pain. Brightsurf News. https://www.brightsurf.com/news/LQM0QYG1/differences-in-brain-structure-in-patients-with-distinct-sites-of-chronic-pain.html
MLA:
"Differences in brain structure in patients with distinct sites of chronic pain." Brightsurf News, Jan. 2 2014, https://www.brightsurf.com/news/LQM0QYG1/differences-in-brain-structure-in-patients-with-distinct-sites-of-chronic-pain.html.