Bluesky Facebook Reddit Email

Appendix removal tied to decreased Parkinson's disease risk in about 20 percent of cases

10.31.18 | American Association for the Advancement of Science (AAAS)

SAMSUNG T9 Portable SSD 2TB

SAMSUNG T9 Portable SSD 2TB transfers large imagery and model outputs quickly between field laptops, lab workstations, and secure archives.


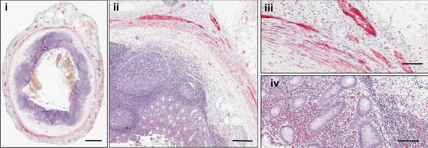
A large-scale epidemiological analysis of more than one million individuals from Sweden has demonstrated that removal of the appendix is associated with reduced risk of Parkinson's disease (PD) in almost 20% of cases, a finding that implicates the tiny organ as a contributor to the onset of the condition. The researchers report this finding while calling for further epidemiological studies to confirm the effect of appendectomy on PD risk. PD, a common and incurable neurodegenerative disorder, represents a massive health and financial burden in the U.S., affecting up to one million people in the U.S. and causing over $14 billion in medical expenses in the country in 2010 alone. The incidence of PD is projected to double by 2040 in the U.S., highlighting an urgent need to develop more effective interventions. Previous research has demonstrated that abnormalities in the gastrointestinal tract are a common occurrence in PD and can precede motor symptoms by as many as 20 years. Here, Bryan Killinger and colleagues investigated the connection between PD and the appendix, which has been shown to contain high quantities of α-synuclein - a protein that aggregates in the brains of PD patients. They studied an epidemiological dataset containing demographic information and PD statistics on 1.6 million people in Sweden, and found that appendectomy reduced the overall risk of developing PD by 19.3%. Interestingly, appendectomy was associated with the greatest risk reduction effect among rural inhabitants, suggesting the procedure's effects potentially could counteract environmental risk factors such as exposure to pesticides, which have been linked to increased PD risk. Analysis of a second dataset of 849 PD patients revealed that appendectomy was associated with a delayed onset of PD by an average of 3.6 years later in life. Killinger et al. also examined appendixes from healthy individuals and found they contained chemically active α-synuclein that was prone to harmful aggregation. They say therapies that target α-synuclein accumulation in the appendix and gut should be investigated as a potential early intervention strategy to reduce the risk of PD later in life.

###

Science Translational Medicine

10.1126/scitranslmed.aar5280

Keywords

Article Information

Contact Information

How to Cite This Article

APA:
American Association for the Advancement of Science (AAAS). (2018, October 31). Appendix removal tied to decreased Parkinson's disease risk in about 20 percent of cases. Brightsurf News. https://www.brightsurf.com/news/LR547ZO8/appendix-removal-tied-to-decreased-parkinsons-disease-risk-in-about-20-percent-of-cases.html
MLA:
"Appendix removal tied to decreased Parkinson's disease risk in about 20 percent of cases." Brightsurf News, Oct. 31 2018, https://www.brightsurf.com/news/LR547ZO8/appendix-removal-tied-to-decreased-parkinsons-disease-risk-in-about-20-percent-of-cases.html.