Bluesky Facebook Reddit Email

Protein sorting in pigment cells sheds light on melanoma, Alzheimer's disease

03.23.06 | University of Pennsylvania School of Medicine

Apple Watch Series 11 (GPS, 46mm)

Apple Watch Series 11 (GPS, 46mm) tracks health metrics and safety alerts during long observing sessions, fieldwork, and remote expeditions.


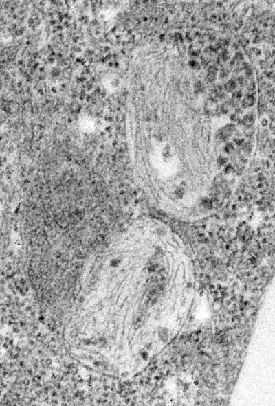
Marks studies protein sorting – determining how proteins are delivered to the correct organelle, or subcompartments, within the cell. He investigates this basic process in pigment cells, particularly sorting to the melanin storage compartment called the melanosome. Melanin is normally stored by the cell in melanosomes because its build-up outside the melanosome can lead to cell death.

In the pigment-producing cell, called the melanocyte, melanin is laid down on a fibrous matrix made from Pmel17. Other work from the Marks lab and collaborators showed that the structure of Pmel17 is similar to amyloid protein, one of the hallmarks of Alzheimer's disease plaques. Using mouse and human melanoma cells, the Marks lab also studies melanocytes for pathological conditions associated with mutations along the protein-sorting process.

"There's no evidence that Pmel17 per se will initiate pathological cellular structures, but recent research from our lab shows that if we look at the structure of the fibers made up of Pmel17, it has all the biophysical properties of amyloid," explains Marks. "Pmel17 is functioning in a physiological capacity the same way that amyloid functions in a pathological capacity."

Before the fibers are laid down, the researchers found in the Developmental Cell study that Pmel17 passes through a series of compartments called endosomes, much the way proteins that are tagged for degradation do. They determined that this process also happens in non-pigment cells. This discovery indicates that sorting is not a melanocyte-specific process; the sorting phenomenon is a general one.

Other researchers have found that the Alzheimer's precursor protein, the prion protein (responsible for Creuztfeldt-Jakob's Disease, Mad Cow disease, and Kuru), and the precursors for several familial amyloid diseases all pass through one type of endosome. "This may be a general property of a class of amyloids – and the fact that the process happens in non-pigment cells means that it can also happen in neurons or epithelial cells where these amyloids cause problems," says Marks.

Pmel17 and other proteins of melanocytes are well-known tumor antigens in melanoma patients. "What's unique about these proteins, as opposed to other tumor antigens, is that there's good evidence in melanoma patients that – via Pmel17 – you can stimulate helper T cells, whose antigens are also processed within the cell by protein- sorting mechanisms," says Marks.

Exosomes are the special membranes with which the antigens associate in the protein-sorting process and are derived from endosome membranes. Hence, if the antigens get to the right endosome, they will be incorporated on exosomes. Once released outside the cell, the exosomes themselves get targeted to dendritic cells. Then exosomes ferry Pmel17 and other melanoma antigens from the melanoma tumor cell to the dendritic cell.

"Exosomes are a very hot topic now in cancer immunotherapy because dendritic cells are good at taking them up, processing the associated antigens, and presenting them to helper T cells, which then rally the immune system to fight the tumor."

Marks says that understanding how and why the sorting process is required for Pmel17 fiber formation will likely provide researchers with the chance to interfere with this process, and may thus provide some therapeutic or preventative treatments for diseases like Alzheimer's and the prion diseases.

"We've also shown a new way of targeting proteins to exosomes," says Marks. "If we learn more about how this process works, we may be able to better manipulate tumor antigen access to dendritic cells and perhaps their ability to stimulate T cells."

Study co-authors are Alexander C. Theos, Steven T. Truschel, Dawn C. Harper, Joanne F. Berson, and Penelope C. Thomas, all from Penn, as well as Ilse Hurbain and Graça Raposo from the Institut Curie in Paris. This research was funded in part by the National Eye Institute, the National Institute of Arthritis, Musculoskeletal and Skin Diseases, the National Cancer Institute, and an American Cancer Society Fellowship.

This release and related images can also be seen at: www.uphs.upenn.edu/news .

The Abramson Cancer Center of the University of Pennsylvania was established in 1973 as a center of excellence in cancer research, patient care, education and outreach. Today, the Abramson Cancer Center ranks as one of the nation's best in cancer care, according to U.S. News & World Report, and is one of the top five in National Cancer Institute (NCI) funding. It is one of only 39 NCI-designated comprehensive cancer centers in the United States. Home to one of the largest clinical and research programs in the world, the Abramson Cancer Center of the University of Pennsylvania has 275 active cancer researchers and 250 Penn physicians involved in cancer prevention, diagnosis and treatment.

PENN Medicine is a $2.7 billion enterprise dedicated to the related missions of medical education, biomedical research, and high-quality patient care. PENN Medicine consists of the University of Pennsylvania School of Medicine (founded in 1765 as the nation's first medical school) and the University of Pennsylvania Health System.

Penn's School of Medicine is ranked #2 in the nation for receipt of NIH research funds; and ranked #4 in the nation in U.S. News & World Report's most recent ranking of top research-oriented medical schools. Supporting 1,400 fulltime faculty and 700 students, the School of Medicine is recognized worldwide for its superior education and training of the next generation of physician-scientists and leaders of academic medicine.

Penn Health System comprises: its flagship hospital, the Hospital of the University of Pennsylvania, consistently rated one of the nation's "Honor Roll" hospitals by U.S. News & World Report; Pennsylvania Hospital, the nation's first hospital; Presbyterian Medical Center; a faculty practice plan; a primary-care provider network; two multispecialty satellite facilities; and home health care and hospice.

Developmental Cell

Keywords

Article Information

Contact Information

Karen Kreeger
University of Pennsylvania School of Medicine
karen.kreeger@uphs.upenn.edu

Source

How to Cite This Article

APA:
University of Pennsylvania School of Medicine. (2006, March 23). Protein sorting in pigment cells sheds light on melanoma, Alzheimer's disease. Brightsurf News. https://www.brightsurf.com/news/LR55JMY8/protein-sorting-in-pigment-cells-sheds-light-on-melanoma-alzheimers-disease.html
MLA:
"Protein sorting in pigment cells sheds light on melanoma, Alzheimer's disease." Brightsurf News, Mar. 23 2006, https://www.brightsurf.com/news/LR55JMY8/protein-sorting-in-pigment-cells-sheds-light-on-melanoma-alzheimers-disease.html.