Bluesky Facebook Reddit Email

Nurturing may protect kids from brain changes linked to poverty

10.28.13 | WashU Medicine

Davis Instruments Vantage Pro2 Weather Station

Davis Instruments Vantage Pro2 Weather Station offers research-grade local weather data for networked stations, campuses, and community observatories.


Growing up in poverty can have long-lasting, negative consequences for a child. But for poor children raised by parents who lack nurturing skills, the effects may be particularly worrisome, according to a new study at Washington University School of Medicine in St. Louis.

Among children living in poverty, the researchers identified changes in the brain that can lead to lifelong problems like depression, learning difficulties and limitations in the ability to cope with stress. The study showed that the extent of those changes was influenced strongly by whether parents were nurturing.

The good news, according to the researchers, is that a nurturing home life may offset some of the negative changes in brain anatomy among poor children. And the findings suggest that teaching nurturing skills to parents — particularly those living in poverty — may provide a lifetime benefit for their children.

The study is published online Oct. 28 and will appear in the November issue of JAMA Pediatrics .

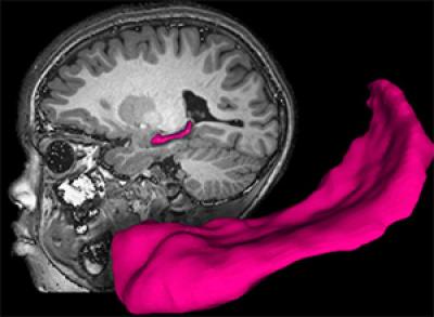
Using magnetic resonance imaging (MRI), the researchers found that poor children with parents who were not very nurturing were likely to have less gray and white matter in the brain. Gray matter is closely linked to intelligence, while white matter often is linked to the brain's ability to transmit signals between various cells and structures.

The MRI scans also revealed that two key brain structures were smaller in children who were living in poverty: the amygdala, a key structure in emotional health, and the hippocampus, an area of the brain that is critical to learning and memory.

"We've known for many years from behavioral studies that exposure to poverty is one of the most powerful predictors of poor developmental outcomes for children," said principal investigator Joan L. Luby, MD, a Washington University child psychiatrist at St. Louis Children's Hospital. "A growing number of neuroscience and brain-imaging studies recently have shown that poverty also has a negative effect on brain development.

"What's new is that our research shows the effects of poverty on the developing brain, particularly in the hippocampus, are strongly influenced by parenting and life stresses that the children experience."

Luby, a professor of psychiatry and director of the university's Early Emotional Development Program, is in the midst of a long-term study of childhood depression. As part of the Preschool Depression Study, she has been following 305 healthy and depressed kids since they were in preschool. As the children have grown, they also have received MRI scans that track brain development.

"We actually stumbled upon this finding," she said. "Initially, we thought we would have to control for the effects of poverty, but as we attempted to control for it, we realized that poverty was really driving some of the outcomes of interest, and that caused us to change our focus to poverty, which was not the initial aim of this study."

In the new study, Luby's team looked at scans from 145 children enrolled in the depression study. Some were depressed, others healthy, and others had been diagnosed with different psychiatric disorders such as ADHD (attention-deficit hyperactivity disorder). As she studied these children, Luby said it became clear that poverty and stressful life events, which often go hand in hand, were affecting brain development.

The researchers measured poverty using what's called an income-to-needs ratio, which takes a family's size and annual income into account. The current federal poverty level is $23,550 for a family of four.

Although the investigators found that poverty had a powerful impact on gray matter, white matter, hippocampal and amygdala volumes, they found that the main driver of changes among poor children in the volume of the hippocampus was not lack of money but the extent to which poor parents nurture their children. The hippocampus is a key brain region of interest in studying the risk for impairments.

Luby's team rated nurturing using observations made by the researchers — who were unaware of characteristics such as income level or whether a child had a psychiatric diagnosis — when the children came to the clinic for an appointment. And on one of the clinic visits, the researchers rated parental nurturing using a test of the child's impatience and of a parent's patience with that child.

While waiting to see a health professional, a child was given a gift-wrapped package, and that child's parent or caregiver was given paperwork to fill out. The child, meanwhile, was told that s/he could not open the package until the caregiver completed the paperwork, a task that researchers estimated would take about 10 minutes.

Luby's team found that parents living in poverty appeared more stressed and less able to nurture their children during that exercise. In cases where poor parents were rated as good nurturers, the children were less likely to exhibit the same anatomical changes in the brain as poor children with less nurturing parents.

"Parents can be less emotionally responsive for a whole host of reasons," Luby said. "They may work two jobs or regularly find themselves trying to scrounge together money for food. Perhaps they live in an unsafe environment. They may be facing many stresses, and some don't have the capacity to invest in supportive parenting as much as parents who don't have to live in the midst of those adverse circumstances."

The researchers also found that poorer children were more likely to experience stressful life events, which can influence brain development. Anything from moving to a new house to changing schools to having parents who fight regularly to the death of a loved one is considered a stressful life event.

Luby believes this study could provide policymakers with at least a partial answer to the question of what it is about poverty that can be so detrimental to a child's long-term developmental outcome. Because it appears that a nurturing parent or caregiver may prevent some of the changes in brain anatomy that this study identified, Luby said it is vital that society invest in public health prevention programs that target parental nurturing skills. She suggested that a key next step would be to determine if there are sensitive developmental periods when interventions with parents might have the most powerful impact.

"Children who experience positive caregiver support don't necessarily experience the developmental, cognitive and emotional problems that can affect children who don't receive as much nurturing, and that is tremendously important," Luby said. "This study gives us a feasible, tangible target with the suggestion that early interventions that focus on parenting may provide a tremendous payoff."

Funding for this research comes from the National Institute of Mental Health (NIMH) of the National Institutes of Health (NIH).

NIH grant numbers 2R01 MH064769-06A1, PA-07-070 NIMH R01 and 5K01 MH090515-04.

Luby J, Belden A, Botteron K, Marrus N, Harms MP, Babb C, Nishino T, Barch D. The effects of poverty on childhood brain development: The mediating effect of caregiving and stressful life events. JAMA Pediatrics vol. 167 (11), November 2013, published online Oct. 28, 2013. http://archpedi.jamanetwork.com/journal.aspx

Washington University School of Medicine's 2,100 employed and volunteer faculty physicians also are the medical staff of Barnes-Jewish and St. Louis Children's hospitals. The School of Medicine is one of the leading medical research, teaching and patient care institutions in the nation, currently ranked sixth in the nation by U.S. News & World Report. Through its affiliations with Barnes-Jewish and St. Louis Children's hospitals, the School of Medicine is linked to BJC HealthCare.

JAMA Pediatrics

Keywords

Article Information

Contact Information

Jim Dryden
Washington University School of Medicine
jdryden@wustl.edu

How to Cite This Article

APA:
WashU Medicine. (2013, October 28). Nurturing may protect kids from brain changes linked to poverty. Brightsurf News. https://www.brightsurf.com/news/LR5EJ6Y8/nurturing-may-protect-kids-from-brain-changes-linked-to-poverty.html
MLA:
"Nurturing may protect kids from brain changes linked to poverty." Brightsurf News, Oct. 28 2013, https://www.brightsurf.com/news/LR5EJ6Y8/nurturing-may-protect-kids-from-brain-changes-linked-to-poverty.html.