Bluesky Facebook Reddit Email

UCLA study challenges long-held hypothesis that iron promotes atherosclerosis

12.17.13 | University of California - Los Angeles Health Sciences

SAMSUNG T9 Portable SSD 2TB

SAMSUNG T9 Portable SSD 2TB transfers large imagery and model outputs quickly between field laptops, lab workstations, and secure archives.


A UCLA research team has found no evidence of an association between iron levels in the body and the risk of atherosclerosis, the hardening and narrowing of the arteries that leads to cardiovascular disease, the No. 1 killer in the U.S.

The discovery, based on a comprehensive study in a mouse model of atherosclerosis, contradicts a long-held hypothesis about the role of iron in the disease and carries important implications for patients with chronic kidney disease or anemia related to inflammatory disorders, many of whom receive high-dose iron supplementation therapy. The findings currently appear online in the peer-reviewed journal Cell Reports .

"Understanding risk factors for atherosclerosis progression is important for better prevention and treatment of the disease," said senior author Elizabeta Nemeth, a professor of medicine at the David Geffen School of Medicine at UCLA and co-director of the UCLA Center for Iron Disorders. "For many years, there has been a belief that higher iron levels might contribute to, or worsen, atherosclerosis. We found no such connection."

The observation that men and postmenopausal women have both higher body iron levels and higher rates of atherosclerosis than premenopausal women led more than 30 years ago to the "iron hypothesis" — the notion that higher iron levels might promote atherosclerosis by generating more oxidative stress and promoting inflammation. However, subsequent studies noted that in diseases characterized by excessive iron in the body, atherosclerosis rates were no higher than normal.

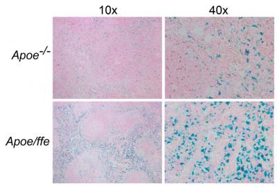
The hypothesis was refined over the last decade because of the discovery of hepcidin, a hormone that plays a central role in iron metabolism, much like the role of glucose in regulating the body's insulin levels. The refined iron hypothesis held that hepcidin is increased by the inflammation associated with atherosclerosis and that the higher hepcidin levels promote the accumulation of iron in macrophages — key cells in the development of atherosclerosis.

Unexpectedly, the UCLA researchers discovered that the level of hepcidin was not increased in mice at any stage of atherosclerosis progression. Moreover, when the scientists increased the levels of iron in the macrophage cells, they found no effect on the progression of atherosclerosis. The study is the first to evaluate hepcidin expression during atherosclerosis progression in mice, as well as the first to weigh the impact on atherosclerosis of iron-loading macrophages through genetic manipulation and/or injection of intravenous iron.

"The surprise was that we found no evidence that iron excess exacerbates atherosclerosis or that hepcidin is influenced at all by atherosclerosis," said Léon Kautz, a postdoctoral fellow in Nemeth's laboratory and the study's first author. "However, it is important to keep in mind that this is a mouse model. We need to see whether the same is true in humans."

Other research groups have begun analyzing hepcidin in atherosclerosis patients, Nemeth noted. Among the additional questions raised by the study is whether significantly lowering iron below normal levels could have a positive atherosclerosis-related effect.

The study was funded by the National Institutes of Health. Nemeth is a cofounder of Intrinsic LifeSciences, a company developing hepcidin diagnostics, and a consultant for Xenon Pharma, a company developing iron-related therapeutics.

The research was a collaboration between Nemeth's lab and the lab of study author Jake Lusis, a professor of medicine and human genetics and of microbiology, immunology and molecular genetics at the David Geffen School of Medicine at UCLA.

Additional authors included Victoria Gabayan, Xuping Wang, Judy Wu, James Onwuzurike, Grace Jung and Dr. Bo Qiao, all of the UCLA Department of Medicine, and Dr. Tomas Ganz, of the UCLA Department of Pathology.

For more news, visit the UCLA Newsroom and follow us on Twitter.

Cell Reports

Keywords

Article Information

Contact Information

Rachel Champeau
University of California - Los Angeles Health Sciences
rchampeau@mednet.ucla.edu

How to Cite This Article

APA:
University of California - Los Angeles Health Sciences. (2013, December 17). UCLA study challenges long-held hypothesis that iron promotes atherosclerosis. Brightsurf News. https://www.brightsurf.com/news/LR5ERN58/ucla-study-challenges-long-held-hypothesis-that-iron-promotes-atherosclerosis.html
MLA:
"UCLA study challenges long-held hypothesis that iron promotes atherosclerosis." Brightsurf News, Dec. 17 2013, https://www.brightsurf.com/news/LR5ERN58/ucla-study-challenges-long-held-hypothesis-that-iron-promotes-atherosclerosis.html.