Bluesky Facebook Reddit Email

Seaports are hotspots of contagious cancer in mussels

02.21.24 | CNRS

SAMSUNG T9 Portable SSD 2TB

SAMSUNG T9 Portable SSD 2TB transfers large imagery and model outputs quickly between field laptops, lab workstations, and secure archives.


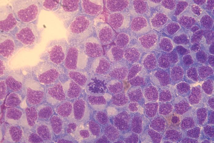
Seaports act as hubs for the global spread of MtrBTN2, 1 a rare contagious cancer affecting mussels. In this disease, cancer cells can be transmitted, like parasites, from one mussel to another nearby. While, in nature, such contagion mainly occurs between mussels in the same bed, ports and maritime transport facilitate the spread of MtrBTN2 to other locations, through biofouling, whereby diseased mussels attach themselves to ship hulls. This finding, the fruit of research by a team led by scientists from the CNRS and the University of Montpellier, 2 will be published in Proceedings of the Royal Society B on February 21.

Higher incidence of the disease in ports was noted after studying 76 mussel populations along the coast of southern Brittany and the Vendée, within both natural and artificial habitats.

The research team asserts that their discovery argues in favour of biofouling mitigation policies, to stem the spread of the disease and preserve coastal ecosystems.

Notes

1 – MtrBTN2 = Mytilus trossulus Bivalve Transmissible Neoplasia 2.

2 – These scientists are affiliated with the Institut des Sciences de l'Évolution de Montpellier (CNRS / IRD / University of Montpellier) and the Interactions Hôtes-Pathogènes-Environnements research unit (CNRS / IFREMER / University of Perpignan Via Domitia). Their fellow team members are from the MIVEGEC research unit (CNRS / IRD / University of Montpellier) and the research support firms Eurêka Mer and Cochet Environnement.

Proceedings of the Royal Society B Biological Sciences

10.1098/rspb.2023.2541

Marine transmissible cancer navigates urbanised waters, threatening to spillover.

21-Feb-2024

Keywords

Article Information

Contact Information

Aurélie Meilhon
CNRS
aurelie.meilhon@cnrs.fr

How to Cite This Article

APA:
CNRS. (2024, February 21). Seaports are hotspots of contagious cancer in mussels. Brightsurf News. https://www.brightsurf.com/news/LVD7RPXL/seaports-are-hotspots-of-contagious-cancer-in-mussels.html
MLA:
"Seaports are hotspots of contagious cancer in mussels." Brightsurf News, Feb. 21 2024, https://www.brightsurf.com/news/LVD7RPXL/seaports-are-hotspots-of-contagious-cancer-in-mussels.html.