Bluesky Facebook Reddit Email

New method increases targeted bone volume by 30 percent

06.25.14 | University of Liverpool

Anker Laptop Power Bank 25,000mAh (Triple 100W USB-C)

Anker Laptop Power Bank 25,000mAh (Triple 100W USB-C) keeps Macs, tablets, and meters powered during extended observing runs and remote surveys.


In an important development for the health of elderly people, University of Liverpool researchers have developed a new method to target bone growth.

As people age their bones lose density and, especially in women after the menopause, become more brittle. The new method developed by researchers from the University's Institute of Ageing and Chronic Disease offers the possibility of more effective treatment than currently available.

Professor Jonathan Jarvis of Liverpool John Moores University designed miniature muscle pacemakers that were used in the University of Liverpool labs to produce contractions in the muscles of the legs of rats over 28 days.

University of Liverpool PhD student Paula Vickerton led the research. She said: "Bone disease and fragility are affecting an increasing proportion of our population. However, existing treatments are non-specific, affecting whole bones and not just the weaker regions."

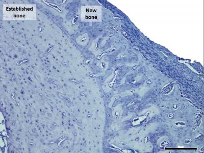
Using the muscle pacing method the rats gained 30 percent of bone within the targeted areas.

Paula's supervisor, Dr Nathan Jeffery said: "This method has been shown to increase the amount of bone and raises the possibility of being developed into a treatment for people who are at risk of the many complications that weakened bone can bring."

The research published in the Royal Society journal Proceedings of the Royal Society B .

http://rspb.royalsocietypublishing.org/content/281/1788/20140786.abstract

Keywords

Contact Information

Jamie Brown
University of Liverpool
jamie.brown@liverpool.ac.uk

Source

How to Cite This Article

APA:
University of Liverpool. (2014, June 25). New method increases targeted bone volume by 30 percent. Brightsurf News. https://www.brightsurf.com/news/LVWEPME8/new-method-increases-targeted-bone-volume-by-30-percent.html
MLA:
"New method increases targeted bone volume by 30 percent." Brightsurf News, Jun. 25 2014, https://www.brightsurf.com/news/LVWEPME8/new-method-increases-targeted-bone-volume-by-30-percent.html.