Bluesky Facebook Reddit Email

MDI Biological Laboratory receives funds for research on nerve damage

08.17.16 | MDI Biological Laboratory

Nikon Monarch 5 8x42 Binoculars

Nikon Monarch 5 8x42 Binoculars deliver bright, sharp views for wildlife surveys, eclipse chases, and quick star-field scans at dark sites.


BAR HARBOR, MAINE -- The MDI Biological Laboratory has announced that it has received a grant of $456,500 over two years from the National Institutes of Health (NIH) for the study of peripheral neuropathy.

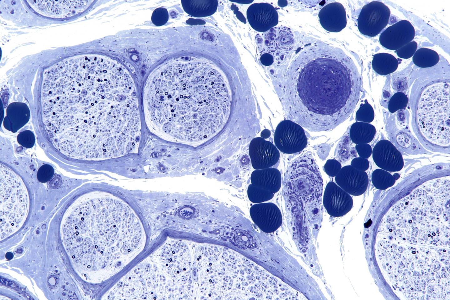
The grant from the National Institute of Neurological Disorders and Stroke will support research conducted by assistant professor Sandra Rieger , Ph.D., on chemotherapy-induced peripheral neuropathy, a disabling condition causing pain, numbness, tingling and temperature sensitivity in the distal extremities. Approximately 60 to 70 percent of chemotherapy patients suffer from this condition, for which no treatments currently exist.

"We are very grateful for the generous support of the National Institutes of Health," Rieger said. "This grant will allow us to move closer to our goal of translating our discoveries about peripheral neuropathy in zebrafish to chemotherapy patients and to the millions of other people who live with this condition, which can seriously interfere with many everyday tasks."

The grant will allow Rieger to focus her research on the molecular mechanisms underlying peripheral neuropathy induced by paclitaxel, a common chemotherapy agent. She believes the mechanisms leading to paclitaxel-induced peripheral neuropathy may also underlie other types of sensory neuropathies, such as those caused by diabetes or treatment with antibiotics.

Her lab has identified two drug candidates with the potential to prevent or reverse the effects of sensory nerve degeneration in zebrafish. The grant funding will be used in part to assess the efficacy of the drug candidates in mammalian models.

Rieger and other scientists at the institution's Kathryn W. Davis Center for Regenerative Biology and Medicine study a range of organisms with the ability to easily repair and regenerate lost and damaged tissues. The laboratory, located in Bar Harbor, Maine, is an independent, nonprofit research institution focused on increasing healthy lifespan and increasing the natural ability to repair and regenerate tissues damaged by injury or disease.

"Millions of Americans suffer from peripheral neuropathy," said Kevin Strange , Ph.D., president of the MDI Biological Laboratory. "Dr. Rieger's important findings demonstrate the power of using animal models such as zebrafish that have the ability to regenerate damaged tissues to help us to efficiently identify potential treatments for debilitating conditions like peripheral neuropathy."

In 2013, the MDI Biological Laboratory was designated as an Institutional Development Award (IDeA) Center of Biomedical Research Excellence (COBRE) by the NIH. The designation carried $13 million in grant funding over five years to support research to enhance tissue repair and regeneration and extend healthy lifespan. The award has helped establish the laboratory as a world leader in these fields.

###

The MDI Biological Laboratory, located in Bar Harbor, Maine, is an independent, non-profit biomedical research institution focused on increasing healthy lifespan and increasing our natural ability to repair and regenerate tissues damaged by injury or disease. The institution develops solutions to complex human health problems through research, education and ventures that transform discoveries into cures. For more information, please visit mdibl.org .

Keywords

Contact Information

Stefanie Matteson
smatteso@mdibl.org

Source

How to Cite This Article

APA:
MDI Biological Laboratory. (2016, August 17). MDI Biological Laboratory receives funds for research on nerve damage. Brightsurf News. https://www.brightsurf.com/news/LVWXJP38/mdi-biological-laboratory-receives-funds-for-research-on-nerve-damage.html
MLA:
"MDI Biological Laboratory receives funds for research on nerve damage." Brightsurf News, Aug. 17 2016, https://www.brightsurf.com/news/LVWXJP38/mdi-biological-laboratory-receives-funds-for-research-on-nerve-damage.html.