Bluesky Facebook Reddit Email

Study shows that Wnt secretion preventing drugs may reduce renal fibrosis

03.25.16 | Duke-NUS Medical School

Davis Instruments Vantage Pro2 Weather Station

Davis Instruments Vantage Pro2 Weather Station offers research-grade local weather data for networked stations, campuses, and community observatories.


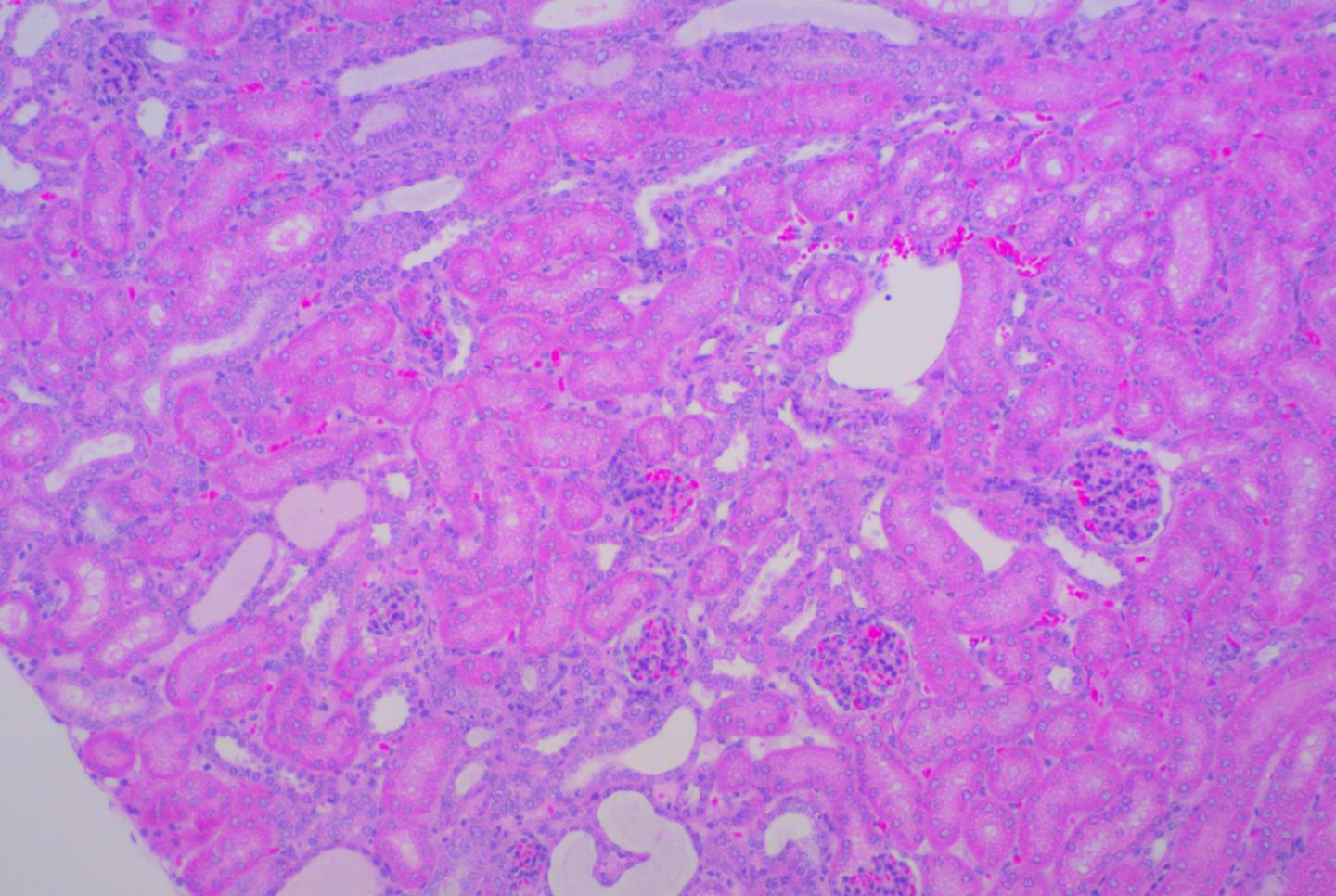
Renal fibrosis or the scarring of kidneys, following an injury, reduces their function and can cause kidney disease to progressively worsen. In a recent study, published in Kidney International , researchers from Duke-NUS Medical School (Duke-NUS) in Singapore and Duke University have shown that drugs that target Wnt secretion by inhibiting Porcupine, a protein usually targeted for cancer treatment, may reduce renal fibrosis and protect the kidneys.

In a patient with chronic kidney disease, the extent of their renal fibrosis usually predicts progression to end-stage kidney disease. Despite an intense focus of research in this area, no specific therapies are currently available to treat or reverse fibrosis in human chronic kidney disease. These diseases are debilitating and involve extremely high costs to the patients, who may need to undergo dialysis, and to the health care system, for recurring hospital admissions due to additional complications.

An effective drug would allow patients to lead more productive and independent lives. It would also have a positive impact on the healthcare system. As such, finding alternative treatments for renal fibrosis before it reaches this advanced stage, is necessary.

A team led by Assistant Professor Babita Madan and Professor David Virshup from Duke-NUS, and Associate Professor Steven D Crowley from Duke University, used a mouse model of kidney fibrosis to explore whether Wnt secretion inhibitors can be used to treat fibrosis. Wnt secretion inhibitors are presently being tested for the treatment of certain cancers.

In the study, one ureter, the tube from the kidney to the bladder, was blocked so that the affected kidney became damaged and scarred. The team demonstrated that inhibiting Wnt secretion interrupted the dangerous build-up of scar tissue in the kidney. These findings suggest a novel therapeutic approach to protect the kidney from scarring and provide a compelling rationale to test the use of Wnt secretion inhibitors for the treatment of kidney fibrosis and other progressive scarring disorders.

"This is the first study to demonstrate that a Wnt secretion inhibitor can be useful for preventing renal fibrosis," explained first author Dr Madan. "There could be potential long-term therapeutic treatments that could arise from this new knowledge, which can be explored for the treatment of additional fibrotic disorders including kidney disease."

Prof Virshup, Director of the Cancer and Stem Cell Biology Programme at Duke-NUS and Asst Prof Madan, in collaboration with A*STAR's Experimental Therapeutics Centre (ETC), have developed a novel Wnt secretion inhibitor, ETC-159. ETC-159 is presently in a Phase I clinical trial to target different cancers. Based on the findings of this study, it may be possible to test whether ETC-159 and other Wnt secretion inhibitors can be used to treat diseases other than cancer.

###

This research is supported by the Duke/Duke-NUS Research Collaboration Pilot Project Award.

Kidney International

10.1016/j.kint.2016.01.017

Keywords

Article Information

Contact Information

How to Cite This Article

APA:
Duke-NUS Medical School. (2016, March 25). Study shows that Wnt secretion preventing drugs may reduce renal fibrosis. Brightsurf News. https://www.brightsurf.com/news/12V3MDX1/study-shows-that-wnt-secretion-preventing-drugs-may-reduce-renal-fibrosis.html
MLA:
"Study shows that Wnt secretion preventing drugs may reduce renal fibrosis." Brightsurf News, Mar. 25 2016, https://www.brightsurf.com/news/12V3MDX1/study-shows-that-wnt-secretion-preventing-drugs-may-reduce-renal-fibrosis.html.