Bluesky Facebook Reddit Email

Pluripotent cells from pancreatic cancer cells first human model of cancer's progression

06.20.13 | University of Pennsylvania School of Medicine

Rigol DP832 Triple-Output Bench Power Supply

Rigol DP832 Triple-Output Bench Power Supply powers sensors, microcontrollers, and test circuits with programmable rails and stable outputs.


PHILADELPHIA - Pancreatic cancer carries a dismal prognosis. According to the National Cancer Institute, the overall five-year relative survival for 2003-2009 was 6 percent.

Still, researchers and clinicians don't have a non-invasive way to even detect early cells that portent later disease. 'There's no PSA test for pancreatic cancer,' they say, and that's one of the main reasons why pancreatic cancer is detected so late in its course.

They have been searching for a human-cell model of early-disease progression. Now, Perelman School of Medicine, University of Pennsylvania scientists have used stem-cell technology to create a research cell line from a patient with advanced pancreatic ductal adenocarcinoma (PDAC).

This first-of-its-kind human-cell model of pancreatic cancer progression was published this week in Cell Reports from the lab of Ken Zaret, PhD, professor of Cell and Developmental Biology.

"It is the first example using induced pluripotent stem [iPS] cells to model cancer progression directly from a solid tumor, and the first human cell line that can model pancreatic cancer progression from early to invasive stages," says Zaret, also the associate director of the Penn Institute for Regenerative Medicine.

"We were able to predict the appearance of cellular features and protein markers in the intermediate stages of pancreatic cancer that are not evident in the terminal stages. This has given us new perspectives into what this deadly type of cancer looks like – something no one has seen before in human cells. Our analysis revealed known molecular networks that are activated during PDAC progression, as well as a new molecular network that is activated during the intermediate stages. This could provide a fresh outlook on biomarkers for early stages of the disease."

A Leap of Faith

Zaret and first author Jungsun Kim, PhD, a postdoctoral associate in the Zaret lab, hypothesized that if human PDAC cells were reprogrammed back to pluripotent cells and then allowed to re-differentiate into pancreatic tissue, they might undergo the early stages of cancer. To do this, they created the PDAC pluripotent cells and indeed found that they recapitulated the early to intermediate stages of pancreatic cancer. They then isolated the cells at the early stage, cultured the cells in vitro, and identified the secreted and released proteins that might serve as early-stage biomarkers of disease progression.

There's one caveat, though, says Zaret. "Using the iPS method, we could only get a cancer cell line from one patient to reprogram, meaning this work is representative of one individual's cancer," noting that his close collaboration with John Hoffman, a surgeon from the Fox Chase Cancer Center (FCCC) was key in order to get fresh cancer cells for the reprogramming. They tried this method with cells from nine human tumors in total. However, as Zaret points out, there are many examples of where a single human cell line has served as a highly useful model for human disease.

"Our iPS-like cells exhibited pluripotency, like other stem cells, but when they differentiated after we injected them into the immunodeficient mice, they preferentially developed into early-stage pancreatic cancer cells," says Zaret. He explains that the approach is another example of using iPS cells from human patients to model disease, by capturing the genome of an affected individual. However, this is a first in solid tumor cancers, whereas many other labs have developed these types of cell lines for neurological and cardiovascular disorders.

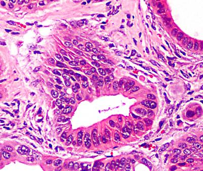
The visual characteristics of these cancer cells -- as they progress from early- to late-stage cancer -- are typical of what is seen in cells analyzed from cancer patients in the clinic now. In the early stage, pancreatic ducts have lesions with cells of an abnormal shape, and express characteristic proteins as measured by stains. Over time, some of these aberrant cells may grow excessively, lose their ductal characteristics, and become invasive.

When the human PDAC iPS cells are grown as lesions in the mouse, they secrete or release proteins corresponding to protein networks expressed during the progression of human pancreatic cancer, namely molecules centered on a trio of key proteins: HNF4, integrin, and TGFbeta.

"We propose to look in the blood of potential pancreatic cancer patients or relatively early-stage patients for the biomarkers we found downstream of these molecular networks, to see if they are present in people," says Zaret.

The Making of a Model

This approach allows human cells to be studied directly, as opposed to examining characteristics of pancreatic cancer progression in an animal model and then having to assess whether the findings apply to humans. The cells harvested from the cancer patient were reprogrammed using the four Yamanaka factors carried in a lentivirus, which was adapted by the Zaret lab.

To see what the reprogramming did at a genetic level, the team compared the genomic structure of the early iPS pancreatic cancer cell line to original tumor cells from which the cell line was isolated. They found 23 chromosomal aberrations in the primary tumor cells as compared to 20 of the same chromosomal aberrations in the PDAC iPS line, demonstrating that the PDAC iPS line was derived from the original tumor cells.

By contrast, no chromosomal abberations were seen in cells taken from the margin of the tumor in a cancer-free part of

the pancreas from the patient, as well as from an iPS line that the Zaret group made from the margin cells. These sets of comparisons allowed the team to directly observe the changes in the pancreatic cancer cell line versus a normal cell line derived from the same human genetic background.

"We understand that the pancreatic cancer field has been dogged by searching for unique markers in the blood that detect disease early, and we hope that this live-cell progression approach will gives us a new way to see early molecular markers for pancreatic cancer," says Zaret.

"Since we can detect released protein markers of at least three different networks from the early-stage human lesions in our model, we think that looking for blood markers of the simultaneous activation the three pathways, instead of a single marker, could provide better leverage in detection. The new model could also be used to test drugs that block the intermediate stages of the disease. We would also like to know how we got lucky with this one cell line, so that the iPS technology can be adapted to model other human cancers."

The research was funded by the National Institute for General Medical Sciences through an NIH Merit award (R37GM36477) Other co-authors are R. Katherine Alpaugh, Andrew D. Rhim, Maximilian Reichert, Ben Z. Stanger, Emma E. Furth, Antonia R. Sepulveda, Chao-Xing Yuan, Kyoung-Jae Won, Greg Donahue, and Jessica Sands, all from Penn, and Andrew A. Gumbs, from FCCC.

Penn Medicine is one of the world's leading academic medical centers, dedicated to the related missions of medical education, biomedical research, and excellence in patient care. Penn Medicine consists of the Raymond and Ruth Perelman School of Medicine at the University of Pennsylvania (founded in 1765 as the nation's first medical school) and the University of Pennsylvania Health System, which together form a $4.3 billion enterprise.

The Perelman School of Medicine has been ranked among the top five medical schools in the United States for the past 16 years, according to U.S. News & World Report's survey of research-oriented medical schools. The School is consistently among the nation's top recipients of funding from the National Institutes of Health, with $398 million awarded in the 2012 fiscal year.

The University of Pennsylvania Health System's patient care facilities include: The Hospital of the University of Pennsylvania -- recognized as one of the nation's top "Honor Roll" hospitals by U.S. News & World Report; Penn Presbyterian Medical Center; and Pennsylvania Hospital -- the nation's first hospital, founded in 1751. Penn Medicine also includes additional patient care facilities and services throughout the Philadelphia region. Penn Medicine is committed to improving lives and health through a variety of community-based programs and activities. In fiscal year 2012, Penn Medicine provided $827 million to benefit our community.

Cell Reports

Keywords

Article Information

Contact Information

How to Cite This Article

APA:
University of Pennsylvania School of Medicine. (2013, June 20). Pluripotent cells from pancreatic cancer cells first human model of cancer's progression. Brightsurf News. https://www.brightsurf.com/news/12V5Y4O1/pluripotent-cells-from-pancreatic-cancer-cells-first-human-model-of-cancers-progression.html
MLA:
"Pluripotent cells from pancreatic cancer cells first human model of cancer's progression." Brightsurf News, Jun. 20 2013, https://www.brightsurf.com/news/12V5Y4O1/pluripotent-cells-from-pancreatic-cancer-cells-first-human-model-of-cancers-progression.html.