Bluesky Facebook Reddit Email

World-first tool to improve COVID-19 diagnosis, free and online

03.29.20 | University of Sydney

Creality K1 Max 3D Printer

Creality K1 Max 3D Printer rapidly prototypes brackets, adapters, and fixtures for instruments and classroom demonstrations at large build volume.


The world's only online image-based COVID-19 diagnosis improvement tool for healthcare workers is launched today by University of Sydney spinoff DetectED-X, drawing on its global experience and outcomes in breast cancer detection and patient cases from the coronavirus pandemic.

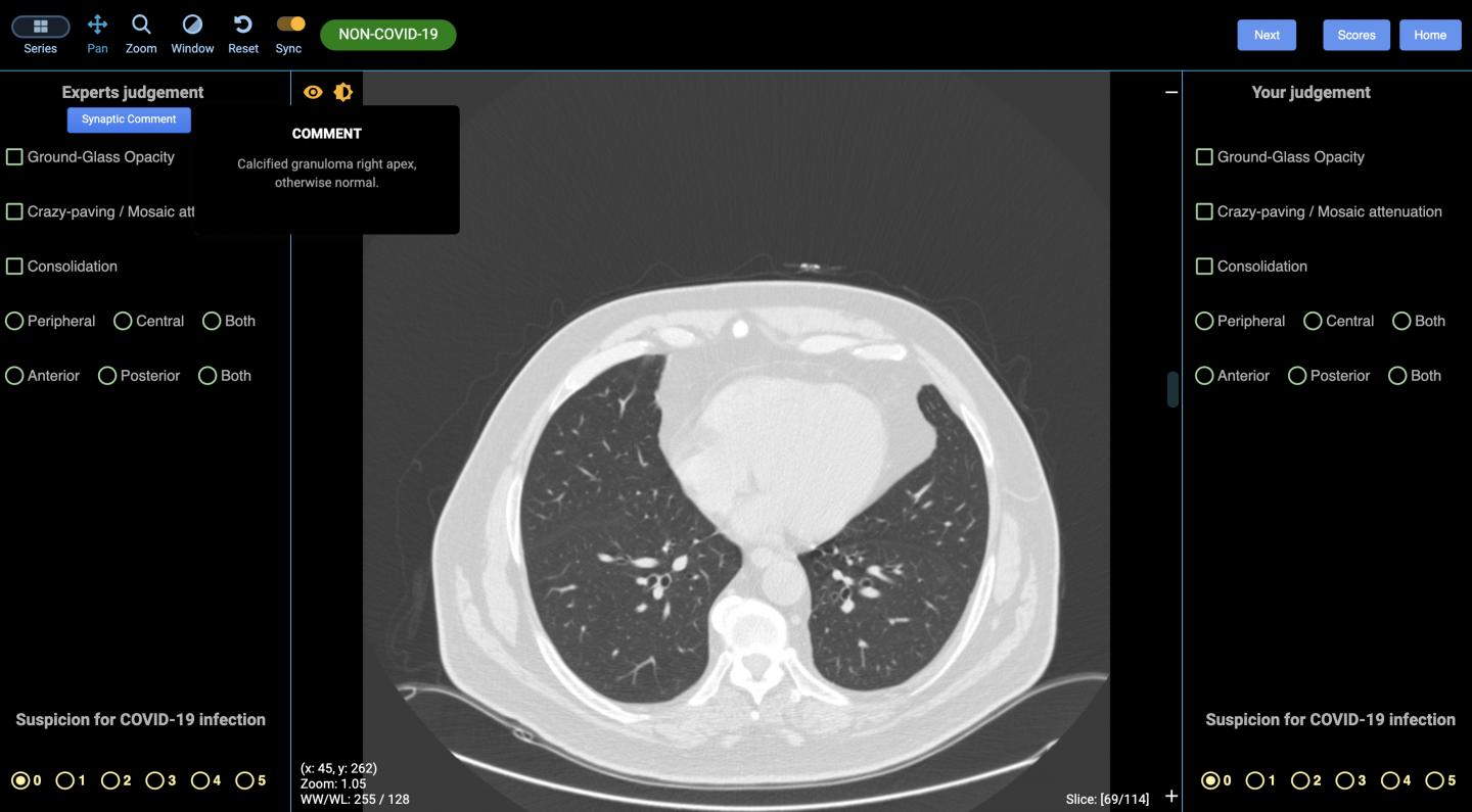
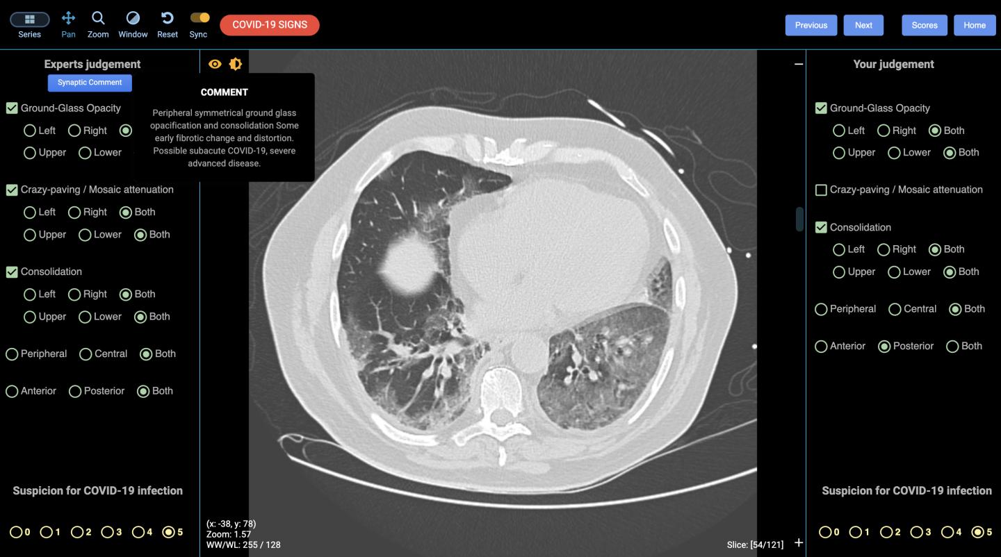
The cloud-based life-saving technology, developed by Australian-based radiation and imaging experts DetectED-X, will help doctors and radiologists diagnose cases faster and more accurately. Computed tomography (CT) lung scans, which produce cross-sectional images using X-rays and computers, have typically been used after swabs are taken, to identify the extent and location of the disease; the CT scans produce images within minutes and are also able to diagnose COVID-19 in the very early stages that escape detection with the nucleic acid tests.

As COVID-19 testing ramps up, the platform could facilitate rapid training where required - with modules able to be completed in as little as an hour - upskilling staff unfamiliar with lung radiology to prepare standardised reports for expert review.

DetectED-X's CovED platform, which can be accessed anywhere with an internet connection, is being provided for free by the award-winning startup and supported by healthcare experts and leading corporations globally. Medical radiation scientist, educator and CEO Professor Patrick Brennan, of the University of Sydney School of Health Sciences, Faculty of Medicine and Health, said early and better diagnosis would help relieve overburdened healthcare systems and save lives.

"The number of patients that are suffering from this life-threatening illness is fast outpacing the number of skilled staff required to accurately diagnose the required lung CT scans," Professor Brennan said.

"Our platform does not replace expert medical and radiologic training but CovED provides an effective way to recognise rapidly the appearances of COVID-19, which could be critical in a situation of too many patients and not enough expert radiologists, with the modules taking just 1-2 hours to complete.

"This will be immediately crucial in developing countries, where numbers of radiologists are often insufficient - our tests will help people not only diagnose COVID-19 but also identify potentially life-threatening cases wherever they are."

CovED follows on from the highly successful BreastScreen Reader Assessment Strategy ( BREAST ) platform, created in 2010 at the University of Sydney, which has been used internationally including in the United States and Europe. Last year the DetectED-X team was commissioned by the Australian government to deliver a similar solution for diagnosing dust disease with high resolution computed tomography (HRCT).

DetectED-X's approach, which includes algorithms to improve radiologist skills and identifying where errors were made on images in the online training sessions, has been shown to improve results significantly*. The CovED platform uses CT images from cases with appearances of COVID-19 arising from Australia (Queensland, Victoria, NSW) and collaborators in Europe.

Through CovED, individual clinicians can assess their performance on images on screen, and receive immediate feedback including performance scores used in the industry. The image files personalised for each clinician are instantly returned showing any errors in their virtual diagnosis and the difficulty level is increased over time.

"The World Health Organisation called for solidarity in the global response to COVID-19; DetectED-X answered that call in collaboration with the University of Sydney and industry partners - including GE Healthcare, Volpara, World Continuing Education Alliance (WCEA) and Amazon.

"We are hugely grateful for the support of our industry partners GE Healthcare, Volpara, WCEA and Amazon in making this world-class platform available to help speed up the COVID-19 response," Professor Brennan said.

University of Sydney Vice-Chancellor and Principal Dr Michael Spence said it was clear from the range of collaborators that global problems attracted global responses.

"We are calling on healthcare professionals, and community members alike, to make sure everyone knows this crucial new diagnostic tool to ramp up COVID-19 responses is freely available," Dr Spence said.

###

Medical professionals, hospitals and other institutions can register to gain access to the platform at https://www.detectedx.com/ or email support@detectedx.com

CovED is truly an international collaboration of experts in the field including Professors Stuart Grieve and Greg Fox from the University of Sydney and Royal Prince Alfred Hospital; respiratory radiologist Dr Sam McCormack from Alfred Imaging Group; Dr Nigel Sommerfeld CEO of Lungscreen Australia; Dr Paul Smith, a consultant radiologist at Epworth; Dr Marcus McMahon, respiratory physician with Epworth HealthCare; and Professor Patrick Brennan, University of Sydney; along with Italian partners, clinicians at the National Institute for Infectious Diseases in Rome, Dr Fabrizio and Dr Cristofaro.

The DetectED-X team comprises: Professor Brennan, Professor Mary Rickard, Dr Moe Suleiman, Mr Thomas Davies, Mr Michael Scott and Mr Jeroen Bolluijt

* See https://www.ncbi.nlm.nih.gov/pubmed/27062490

NOTES TO EDITORS:

Radiologic detection is the front-line tool for identifying early lung changes such as acute presentations such as bilateral ground-glass opacities and consolidative pulmonary opacities (a type of pneumonia) , with these progressing to consolidation, greater total lung involvement, linear opacities, crazy-paving patterns and the reverse halo sign at later stages . High resolution computed tomography (CT) which outperforms plain chest X-rays , is sensitive and specific for COVID-19 infection, even at early stages of concentrated viruses in a sample, when viral titres are equivocal. It is routine, involving low radiation dose and can be acquired rapidly.

While CT can display the signs, the subtle lung appearances representing early stage disease remain challenging for non-specialized reporters resulting in significant diagnostic errors: the sensitivity of CT for detection of lung lesions can be as low as 70 percent for experienced and 51 percent for less experienced radiologists . For HRCT to play a useful role in facilitating early COVID-19 diagnosis at the scale necessary, rapid improvements in reporting accuracy are needed.

DetectED-X users will gain certification and CME points from the Accreditation Council for Continuing Medical Education in the US and elsewhere and have been validated for assessing clinical performance.

Tao AI, et al. Radiology Supplement 2020 Special Focus: COVID-19 https://doi.org/10.1148/radiol.2020200642
Kanne JP. Radiology Supplement 2020 Special Focus: COVID-19 https://doi.org/10.1148/radiol.2020200241
Bernheim A, et al. Radiology Supplement 2020 Special Focus: COVID-19 https://doi.org/10.1148/radiol.2020200463
Ming-Yen Ng, et al. Radiology Supplement 2020 Special Focus: COVID-19 https://doi.org/10.1148/ryct.2020200034
Al Mohammad B, et al. Clin Radiol. 2019 Jan;74(1):67-75 Tsim S, et al. Lung Cancer. 2017 Jan;103:38-43

Keywords

Contact Information

Source

How to Cite This Article

APA:
University of Sydney. (2020, March 29). World-first tool to improve COVID-19 diagnosis, free and online. Brightsurf News. https://www.brightsurf.com/news/147DWQG1/world-first-tool-to-improve-covid-19-diagnosis-free-and-online.html
MLA:
"World-first tool to improve COVID-19 diagnosis, free and online." Brightsurf News, Mar. 29 2020, https://www.brightsurf.com/news/147DWQG1/world-first-tool-to-improve-covid-19-diagnosis-free-and-online.html.