Bluesky Facebook Reddit Email

Infections of the heart with common viruses

03.31.16 | Bentham Science Publishers

SAMSUNG T9 Portable SSD 2TB

SAMSUNG T9 Portable SSD 2TB transfers large imagery and model outputs quickly between field laptops, lab workstations, and secure archives.


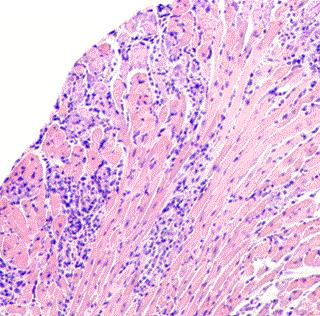
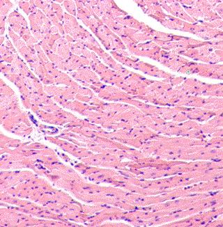
A review article has been published in the journal Current Pharmaceutical Design which provides an overview of therecent literature discussing the different clinical forms of heart disease resulting from virus infections including the prognosis, and current therapies. Many common viruses causing respiratory illness, including enteroviruses and influenza viruses among others, have the potential to infect the heart and initiate an immune response to the infection. These viruses can also produce mild to lethal cardiac injury.

Viral myocarditis is a leading cause of sudden unexpected death from cardiovascular causes primarily in men who are less than 40 years in age. Women either have a lower incidence of viral myocarditis or develop less severe infection than men. The infection can exist as an acute and self-limiting form (fulminant myocarditis) in which patients usually recover once the virus is cleared. However, patients with severely compromised cardiac function may require temporary use of a left ventricular assist device. Other patients develop chronic myocarditis, a progressive inflammation of the heart muscle, which results either from the establishment of persistent virus infections that the body cannot eliminate or the induction of autoimmunity to heart proteins. Chronic myocarditis lasting many months and years ultimately results in dilated cardiomyopathy which may require heart transplantation. It is estimated that up to 30% of allclinical dilated cardiomyopathy cases result from underlying viral infections.

Experimental animal models have been used to investigate many aspects of the clinical disease such as the sex bias in myocarditis where testosterones in males promote autoimmunity in the heart while estrogens in females suppress virus infection and autoimmunity. Knowledge from animal studies is now being applied to the clinical disease and this should lead to improved diagnosis and therapy.

###

Current Pharmaceutical Design

10.2174/1381612822666151222160500

Keywords

Article Information

Contact Information

Faizan ul Haq
Bentham Science Publishers
faizan@benthamscience.org

How to Cite This Article

APA:
Bentham Science Publishers. (2016, March 31). Infections of the heart with common viruses. Brightsurf News. https://www.brightsurf.com/news/14G3KEOL/infections-of-the-heart-with-common-viruses.html
MLA:
"Infections of the heart with common viruses." Brightsurf News, Mar. 31 2016, https://www.brightsurf.com/news/14G3KEOL/infections-of-the-heart-with-common-viruses.html.