Bluesky Facebook Reddit Email

Ultra-high-field MRI may allow earlier diagnosis of Parkinson's disease

03.05.14 | Radiological Society of North America

Rigol DP832 Triple-Output Bench Power Supply

Rigol DP832 Triple-Output Bench Power Supply powers sensors, microcontrollers, and test circuits with programmable rails and stable outputs.


OAK BROOK, Ill. – New research shows that ultra-high-field magnetic resonance imaging (MRI) provides detailed views of a brain area implicated in Parkinson's disease, possibly leading to earlier detection of a condition that affects millions worldwide. The results of this research are published online in the journal Radiology .

Parkinson's disease is a chronic, progressive disease characterized by shaking, stiffness, and impaired balance and coordination. With no radiologic techniques available to aid in diagnosis, clinicians have had to rely on medical history and neurological examination. It is often difficult to distinguish Parkinson's disease from other conditions using these methods alone.

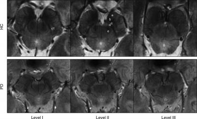
Mirco Cosottini, M.D., from the University of Pisa in Italy, and colleagues studied the brains of 38 individuals, including 17 Parkinson's disease patients and 21 healthy controls, as well as a brain specimen from a deceased individual, to help determine the accuracy of ultra-high-field 7-Tesla (7-T) MRI for identifying Parkinson's disease.

Using the 7-T MRI, the researchers were able to distinguish a three-layered organization of the substantia nigra (SN), a crescent-shaped mass of cells in the midbrain. Parkinson's disease results from the loss of dopamine-producing cells located in this region of the brain. Dopamine is an important neurotransmitter involved in multiple brain functions, including motor and behavioral processes such as mood, reward, addiction and stress.

Based on abnormalities in the SN identified by the 7-T MRI, the researchers correctly classified patients with Parkinson's disease with a sensitivity of 100 percent and specificity of 96.2 percent.

According to Dr. Cosottini, the results show promise for earlier detection of the disease, which could speed the initiation of treatment.

"Parkinson's disease diagnosis remains clinically based, but with the introduction of 7-T MRI into clinical practice, a supporting radiologic diagnosis can be made," he said.

The researchers also are exploring the clinical utility of 7-T MRI in several other neurodegenerative diseases, including mild cognitive impairment, a precursor of Alzheimer's disease.

"MR Imaging of the Substantia Nigra at 7 T Enables Diagnosis of Parkinson Disease." Collaborating with Dr. Cosottini were Daniela Frosini, M.D., Ilaria Pesaresi, M.D., Mauro Costagli, Ph.D., Laura Biagi, Ph.D., Roberto Ceravolo, M.D., Ubaldo Bonuccelli, M.D., and Michela Tosetti, Ph.D.

Radiology is edited by Herbert Y. Kressel, M.D., Harvard Medical School, Boston, Mass., and owned and published by the Radiological Society of North America, Inc. ( http://radiology.rsna.org/ )

RSNA is an association of more than 53,000 radiologists, radiation oncologists, medical physicists and related scientists promoting excellence in patient care and health care delivery through education, research and technologic innovation. The Society is based in Oak Brook, Ill. ( RSNA.org )

For patient-friendly information on MRI, visit RadiologyInfo.org .

Radiology

Keywords

Article Information

Contact Information

Linda Brooks
lbrooks@rsna.org

How to Cite This Article

APA:
Radiological Society of North America. (2014, March 5). Ultra-high-field MRI may allow earlier diagnosis of Parkinson's disease. Brightsurf News. https://www.brightsurf.com/news/14GPY2JL/ultra-high-field-mri-may-allow-earlier-diagnosis-of-parkinsons-disease.html
MLA:
"Ultra-high-field MRI may allow earlier diagnosis of Parkinson's disease." Brightsurf News, Mar. 5 2014, https://www.brightsurf.com/news/14GPY2JL/ultra-high-field-mri-may-allow-earlier-diagnosis-of-parkinsons-disease.html.