Bluesky Facebook Reddit Email

Acid reflux drug could help newborn babies recover from brain injury, study suggests

09.29.20 | Rockefeller University Press

Sony Alpha a7 IV (Body Only)

Sony Alpha a7 IV (Body Only) delivers reliable low-light performance and rugged build for astrophotography, lab documentation, and field expeditions.


Researchers in China have discovered a potential way to prevent a lack of oxygen or blood flow from causing long-lasting brain damage in newborn children. The study, which will be published September 29 in the Journal of Experimental Medicine ( JEM ), suggests that targeting the histamine H 2 receptor with drugs already used to treat acid reflux in infants could help newborns recover from hypoxic-ischemic encephalopathy (HIE), a condition that affects over 1 in 1,000 live births and can cause life-long neurological disabilities.

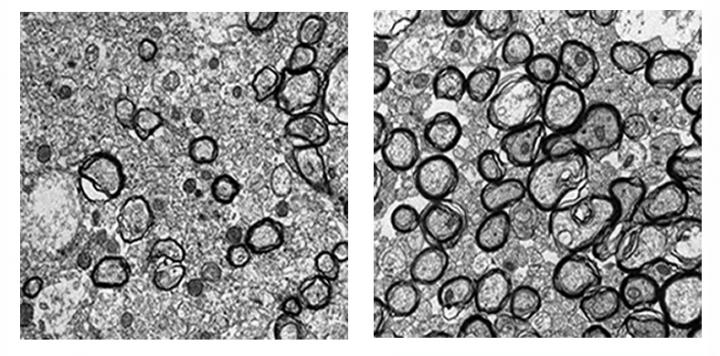
HIE can develop during pregnancy or from complications during labor and delivery. Premature infants also have a high risk of the disorder, in which disruptions to the oxygen and blood supply damage the brain’s white matter, primarily composed of fat-producing oligodendrocytes that insulate and protect the brain’s nerve cells. This can cause severe and long-lasting neurological disabilities, including cerebral palsy, epilepsy, and cognitive impairment. Researchers suspect that some of these symptoms could be alleviated if oligodendrocyte precursor cells could be prompted to form new oligodendrocytes capable of restoring the lost white matter.

“However, very few drug targets capable of inducing oligodendrocyte formation have been identified,” says Weiwei Hu, a professor at Zhejiang University School of Medicine in Hangzhou and the senior author of the new study.

Hu and colleagues found that a protein known as the histamine H 2 receptor inhibits the formation of mature oligodendrocytes capable of restoring the brain’s white matter after injury. Mice lacking the histamine H 2 receptor recovered better from neonatal hypoxia-ischemia, regenerating more of their white matter and showing improved motor skills and cognitive function.

Cimetidine and other drugs that target the histamine H 2 receptor are already used to treat acid reflux in newborn children. Hu and colleagues found that treating mice with cimetidine also improved the animals’ recovery from hypoxia-ischemia. Crucially—given that HIE is often only diagnosed several months after birth—even delayed treatment with cimetidine was effective in restoring the mice’s white matter.

“Given the present application of histamine H 2 receptor blockers in preterm and full-term infants, our study suggests that they could also be a safe and effective treatment for neonatal HIE,” Hu says.

###

Jiang et al., 2020. J. Exp. Med. https://rupress.org/jem/article-lookup/doi/10.1084/jem.20191365?PR

About the Journal of Experimental Medicine

The Journal of Experimental Medicine (JEM) features peer-reviewed research on immunology, cancer biology, stem cell biology, microbial pathogenesis, vascular biology, and neurobiology. All editorial decisions are made by research-active scientists in conjunction with in-house scientific editors. JEM makes all of its content free online no later than six months after publication. Established in 1896, JEM is published by Rockefeller University Press. For more information, visit https://rupress.org/jem ">jem.org .

Visit our https://rupress.org/pages/newsroom ">Newsroom , and sign up for a weekly preview of articles to be published. Embargoed media alerts are for journalists only.

Follow JEM on Twitter at https://twitter.com/jexpmed ">@JExpMed and https://twitter.com/rockupress ">@RockUPress .

Journal of Experimental Medicine

10.1084/jem.20191365

Keywords

Article Information

Contact Information

Ben Short
Rockefeller University Press
bshort@rockefeller.edu

Source

How to Cite This Article

APA:
Rockefeller University Press. (2020, September 29). Acid reflux drug could help newborn babies recover from brain injury, study suggests. Brightsurf News. https://www.brightsurf.com/news/19N2GY91/acid-reflux-drug-could-help-newborn-babies-recover-from-brain-injury-study-suggests.html
MLA:
"Acid reflux drug could help newborn babies recover from brain injury, study suggests." Brightsurf News, Sep. 29 2020, https://www.brightsurf.com/news/19N2GY91/acid-reflux-drug-could-help-newborn-babies-recover-from-brain-injury-study-suggests.html.