Bluesky Facebook Reddit Email

CNIC researchers discover a new target for the treatment of fatty liver disease

02.03.16 | Centro Nacional de Investigaciones Cardiovasculares Carlos III (F.S.P.)

SAMSUNG T9 Portable SSD 2TB

SAMSUNG T9 Portable SSD 2TB transfers large imagery and model outputs quickly between field laptops, lab workstations, and secure archives.


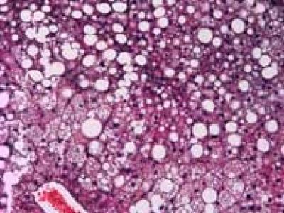
Two proteins, p38 gamma and p38 delta, control the accumulation of fat in the liver, a process linked to the development of insulin resistance and diabetes, which are common outcomes of obesity. These findings are presented in an article published by researchers at the Centro Nacional de Investigaciones Cardiovasculares Carlos III (CNIC). The study, led by Dr. Guadalupe Sabio, shows that inhibition of these proteins with specific inhibitors has potential as a treatment for fatty liver disease. The results are published in the EMBO Journal .

Steatosis, the excessive accumulation of fat in the liver, is one of the most common diseases in developed societies, affecting almost 30% of the adult population. The disease is sometimes caused by obesity, diabetes, or excessive alcohol intake. The consequences can be serious: fatty liver can trigger cirrhosis and hepatic failure, contributes to the development of diabetes, and can lead to liver cancer. There are currently few treatment options for this disease.

Steatosis begins with an excessive accumulation in the liver of triglycerides, which stimulates an inflammatory response. Inflammation in many diseases involves contributions from p38 gamma and p38 delta, and the CNIC team discovered that the livers of obese patients express higher than normal levels of these proteins.

Using mice unable to express p38 gamma and p38 delta in neutrophils, a type of inflammatory cell, the research team showed that these two proteins control the migration of neutrophils to the liver. As the authors explain, "the arrival of these cells is necessary for the accumulation of fat in this tissue."

Therefore, inhibition of neutrophil migration in animals lacking p38 gamma and p38 delta would be enough to protect them from the development of fatty liver, thus preventing inflammation, liver damage, and even diabetes linked to obesity.

Prevention

For Dr. Sabio, this discovery not only advances understanding of the mechamisms underlying this disease; it could also support the development of new strategies to treat or even prevent the disease. Today, the only way to test for hepatic neutrophil recruitment in obese individuals is to take a liver biopsy. With the new discovery, it may become possible to prevent neutrophil infiltration by treating patients with specific inhibitors. Dr. Sabio adds that "the finding could therefore also help in the treatment of other diseases involving hepatic neutrophil recruitment."

The clinical aspects of the study were conducted through partnership with the team led by Dr. Miguel Marcos at the Hospital Universitario de Salamanca-IBSAL. The laboratory research was conducted by Dr. Sabio's team at the CNIC--Drs. Bárbara González-Terán, Nuria Matesanz, and Ivanna Nikolic--and partners at the CiMUS (Center for Research in Molecular Medicine and Chronic Diseases) at the Universidad de Santiago de Compostela and at the Centro Nacional de Biotecnología in Madrid.

###

The EMBO Journal

10.15252/embj.201591857

Keywords

Article Information

Contact Information

Fatima Lois
flois@cnic.es

Source

How to Cite This Article

APA:
Centro Nacional de Investigaciones Cardiovasculares Carlos III (F.S.P.). (2016, February 3). CNIC researchers discover a new target for the treatment of fatty liver disease. Brightsurf News. https://www.brightsurf.com/news/19V3QW08/cnic-researchers-discover-a-new-target-for-the-treatment-of-fatty-liver-disease.html
MLA:
"CNIC researchers discover a new target for the treatment of fatty liver disease." Brightsurf News, Feb. 3 2016, https://www.brightsurf.com/news/19V3QW08/cnic-researchers-discover-a-new-target-for-the-treatment-of-fatty-liver-disease.html.