Bluesky Facebook Reddit Email

Stem cells with potential to regenerate injured liver tissue identified by Penn researchers

11.12.08 | University of Pennsylvania School of Medicine

AmScope B120C-5M Compound Microscope

AmScope B120C-5M Compound Microscope supports teaching labs and QA checks with LED illumination, mechanical stage, and included 5MP camera.


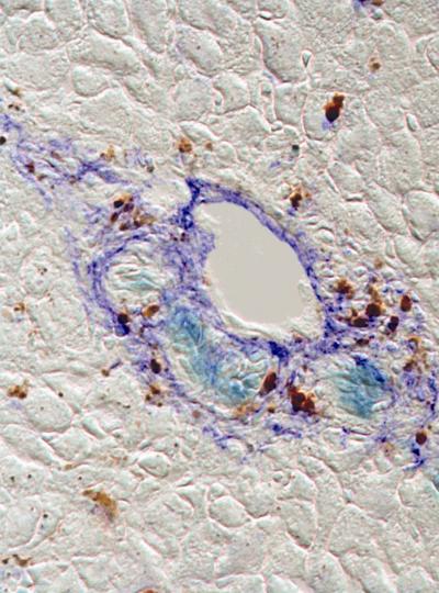
PHILADELPHIA - A novel protein marker has been found that identifies rare adult liver stem cells, whose ability to regenerate injured liver tissue has the potential for cell-replacement therapy. For the first time, researchers at the University of Pennsylvania School of Medicine led by Linda Greenbaum, MD, Assistant Professor of Medicine in the Division of Gastroenterology, have demonstrated that cells expressing the marker can differentiate into both liver cells and cells that line the bile duct.

In the future, this marker will allow for the isolation and expansion of these stem cells, which could then be used to help patients whose livers can no longer repair their own tissue. About 17,000 Americans are currently on a waiting list for a liver transplant, according to the American Liver Foundation. The findings appear online this month in the journal Hepatology .

"In a healthy liver, proliferation of mature liver and bile-duct lining cells is sufficient to maintain the necessary size and function of the organ," explains Greenbaum. "This even works when the liver is confronted with mild and acute injury, but the situation changes when injury to the liver is chronic and severe."

For chronic injury, the liver uses a back-up system that stimulates stem cells to proliferate and eventually differentiate into new liver cells. Greenbaum and colleagues found that these dual-potential stem cells can be identified and potentially isolated from other liver cells because they uniquely express the protein Foxl1. The team showed that in two mice models of liver injury, stem cells and their descendents were marked by the expression of FoxL1. The researchers propose to use this marker to isolate the Foxl1-bearing stem cells and transplant them back into damaged livers to restore function.

"At this point, we haven't identified the molecular targets that are regulated by Foxl1 in the liver stem cell," says Greenbaum. The researchers also do not yet know what signals activate the expression of Fox l1 and how exactly it is related to liver function. But, they finally have a molecular handle on identifying liver stem cells, which have remained elusive to scientists.

"This work has significant implications for cell-replacement therapies of chronic liver disease in the future," says Greenbaum.

Sara Sackett, Zhaodong Li, Reginald Hurtt, Yan Gao, Rebecca Wells, Karrie Brondell, and Klaus Kaestner, all of Penn, are co-authors. The University of Pennsylvania Institute for Regenerative Medicine and the Penn Center for Digestive Diseases Center (Grant P30DK50306) provided funding for this research.

This release and a related image can be viewed at www.pennhealth.com/news .

PENN Medicine is a $3.6 billion enterprise dedicated to the related missions of medical education, biomedical research, and excellence in patient care. PENN Medicine consists of the University of Pennsylvania School of Medicine (founded in 1765 as the nation's first medical school) and the University of Pennsylvania Health System. Penn's School of Medicine is currently ranked #4 in the nation in U.S.News & World Report's survey of top research-oriented medical schools; and, according to most recent data from the National Institutes of Health, received over $379 million in NIH research funds in the 2006 fiscal year. Supporting 1,700 fulltime faculty and 700 students, the School of Medicine is recognized worldwide for its superior education and training of the next generation of physician-scientists and leaders of academic medicine. The University of Pennsylvania Health System (UPHS) includes its flagship hospital, the Hospital of the University of Pennsylvania, rated one of the nation's top ten "Honor Roll" hospitals by U.S.News & World Report; Pennsylvania Hospital, the nation's first hospital; and PennPresbyterian Medical Center. In addition UPHS includes a primary-care provider network; a faculty practice plan; home care, hospice, and nursing home; three multispecialty satellite facilities; as well as the Penn Medicine at Rittenhouse campus, which offers comprehensive inpatient rehabilitation facilities and outpatient services in multiple specialties.

Hepatology

Keywords

Article Information

Contact Information

Source

How to Cite This Article

APA:
University of Pennsylvania School of Medicine. (2008, November 12). Stem cells with potential to regenerate injured liver tissue identified by Penn researchers. Brightsurf News. https://www.brightsurf.com/news/19V4VW08/stem-cells-with-potential-to-regenerate-injured-liver-tissue-identified-by-penn-researchers.html
MLA:
"Stem cells with potential to regenerate injured liver tissue identified by Penn researchers." Brightsurf News, Nov. 12 2008, https://www.brightsurf.com/news/19V4VW08/stem-cells-with-potential-to-regenerate-injured-liver-tissue-identified-by-penn-researchers.html.