Bluesky Facebook Reddit Email

NIH launches collaborative effort to find biomarkers for Parkinson's

01.15.13 | NIH/National Institute of Neurological Disorders and Stroke

Garmin GPSMAP 67i with inReach

Garmin GPSMAP 67i with inReach provides rugged GNSS navigation, satellite messaging, and SOS for backcountry geology and climate field teams.


A new initiative aims to accelerate the search for biomarkers – changes in the body that can be used to predict, diagnose or monitor a disease – in Parkinson's disease, in part by improving collaboration among researchers and helping patients get involved in clinical studies.

A lack of biomarkers for Parkinson's has been a major challenge for developing better treatments. The Parkinson's Disease Biomarkers Program (PDBP) supports efforts to invent new technologies and analysis tools for biomarker discovery, to identify and validate biomarkers in patients, and to share biomarker data and resources across the Parkinson's community. The program is being launched by the National Institute of Neurological Disorders and Stroke (NINDS), part of the National Institutes of Health.

Biomarkers can include changes in body chemistry or physiology, in genes and how they are regulated, and even subtle changes in a person's behavior. For example, certain antibodies in the blood can be biomarkers for different types of infection. For Parkinson's, there are no proven biomarkers.

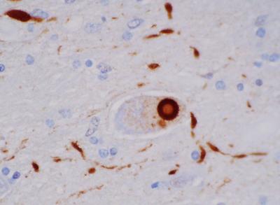
Parkinson's disease is a movement disorder that affects about 1 million people in the United States. Symptoms of the disease get worse over time, and include uncontrollable shaking, rigidity, slowed movements and impaired balance. Inside the brain, there is a progressive loss of cells in a motor control region called the substantia nigra, and an accumulation of protein-filled structures called Lewy bodies. Lewy bodies and other telltale signs cannot be observed until after death. Biomarkers could be used to detect and monitor the disease much earlier, perhaps even before symptoms appear. This could improve the success of existing therapies and help researchers test new ones in clinical trials.

The range of potential biomarkers for Parkinson's is vast, and there have been promising leads. Some researchers are investigating the use of non-invasive imaging to detect changes in brain function or biochemistry. Several studies have tentatively linked the disease with changes in proteins or other molecules in blood, urine, or in the cerebrospinal fluid (CSF) that bathes the brain and spinal cord. PDBP is an initiative to fund and coordinate multiple biomarker studies.

"Our goal is to accelerate progress toward a robust set of biomarkers for Parkinson's disease by supporting researchers who have strong leads or innovative approaches, bringing them together, and making it easier for them to share and analyze data across studies," said NINDS director Story Landis, Ph.D.

Nine research teams, listed below, have been funded through the program so far. Four of these projects are associated with the NINDS Udall Centers of Excellence for Parkinson's Disease Research (see projects marked by *).

F. Dubois Bowman, Ph.D., Emory University, Atlanta*
(Grant NS082143)

This group will develop statistical tools to analyze data from brain imaging, genetic, molecular and clinical tests, in order to discover biomarkers which, in combination, can better predict the course of Parkinson's disease than a single biomarker might be able to do.

Alice Chen-Plotkin, M.D., Ph.D., University of Pennsylvania, Philadelphia*
(Grant NS082134)

This team seeks to confirm several candidate biomarkers they have identified, and search for others by using a novel, broad-ranging approach to measure the levels of more than 400 proteins in blood.

Ted Dawson, M.D., Ph.D., Johns Hopkins University, Baltimore*
(Grant NS082133)

This team seeks to gain a clearer picture of the early clinical features of Parkinson's – including changes in cognition and sleep – and to correlate those changes with potential biomarkers in blood and CSF.

Dwight German, Ph.D., and Richard Dewey, Ph.D., University of Texas Southwestern Medical Center at Dallas
(Grant NS082148)

Based on evidence that immune responses play a role in Parkinson's, the researchers will investigate whether disease progression is related to changing levels of antibodies and other proteins in blood and CSF.

Xuemei Huang, M.D., Ph.D., Pennsylvania State University, University Park
(Grant NS082151)

This team will seek to determine whether state-of-the-art magnetic resonance imaging (MRI) scans can reveal subtle structural and chemical changes in the brain, including iron accumulation, during Parkinson's.

Vladislav Petyuk, Ph.D., Battelle Pacific Northwest Laboratories, Richland, Wash.
(Grant NS082140)

This group will seek to identify new components of the Lewy bodies that accumulate in the brain during Parkinson's, and then use ultra-sensitive methods to see if any of these proteins have leaked into CSF or blood.

Clemens Scherzer, M.D., Brigham and Women's Hospital, and Harvard University, Boston
(Grant NS082157)

This team will investigate whether Parkinson's is associated with changes in the activity of non-coding, "dark matter" genes (which do not make proteins) in brain tissue, blood and CSF. The team also will integrate the PDBP with a Parkinson's biomarkers study at the Harvard Neurodiscovery Center, which has already enrolled about 2,000 individuals.

Andrew West, Ph.D., University of Alabama at Birmingham
(Grant NS082132)

This team discovered that the Parkinson's-related protein LRRK2 and many other proteins can be detected in urine, within microscopic structures called exosomes; they will investigate whether exosome-related proteins can serve as biomarkers.

Jing Zhang, M.D., Ph.D., University of Washington, Seattle*
(Grant NS082137)

CSF appears to contain potential biomarkers, but blood is easier to obtain. Therefore, this group's strategy is to conduct an expanded search for biomarkers in CSF and then search again for the strongest candidates in blood.

To support collaboration across these projects and others, the PDBP is introducing a new online data sharing platform, the Data Management Resource (DMR), which was developed by the NIH Center for Information Technology. PDBP investigators are required to share data through the DMR. In the future, this requirement will also apply to investigators funded through the NINDS Udall Centers. Investigators not funded through these programs will be able to access the data and request biological samples, as well as encouraged to submit their own. Biological samples submitted through the PDBP will be banked by the NINDS Human Genetics Repository at the Coriell Institute for Medical Research.

"By giving researchers access to data and resources, we hope to stimulate biomarker discovery efforts across the Parkinson's research community," said Margaret Sutherland, Ph.D., a program director at NINDS.

The PDBP is committed to enhancing patient involvement and ensuring patient privacy. The DMR is password-protected and will contain only data and biological samples that have been stripped of any identifying information. The DMR will post updates about ongoing research, including notices about actively recruiting studies and results funded through the PDBP.

"This website is not just a database, but a way to communicate with the public and the research community about our progress," said Katrina Gwinn, M.D., Ph.D., also of NINDS. Drs. Sutherland and Gwinn are the lead scientific officers on several PDBP projects.

For more information about the Parkinson's Disease Biomarkers Program, please visit http://pdbp.ninds.nih.gov/ . For general information about Parkinson's disease, please visit http://www.ninds.nih.gov/PD .

NINDS is the nation's leading funder of research on the brain and nervous system. The NINDS mission is to reduce the burden of neurological disease – a burden borne by every age group, by every segment of society, by people all over the world.

About the National Institutes of Health (NIH):

NIH, the nation's medical research agency, includes 27 Institutes and Centers and is a component of the U.S. Department of Health and Human Services. NIH is the primary federal agency conducting and supporting basic, clinical, and translational medical research, and is investigating the causes, treatments, and cures for both common and rare diseases. For more information about NIH and its programs, visit http://www.nih.gov .

Keywords

Contact Information

How to Cite This Article

APA:
NIH/National Institute of Neurological Disorders and Stroke. (2013, January 15). NIH launches collaborative effort to find biomarkers for Parkinson's. Brightsurf News. https://www.brightsurf.com/news/19V7KY98/nih-launches-collaborative-effort-to-find-biomarkers-for-parkinsons.html
MLA:
"NIH launches collaborative effort to find biomarkers for Parkinson's." Brightsurf News, Jan. 15 2013, https://www.brightsurf.com/news/19V7KY98/nih-launches-collaborative-effort-to-find-biomarkers-for-parkinsons.html.